• Tel: 858.663.9055
  • SeparatorEmail: info@nsjbio.com
  • Tel: 858.663.9055
  • Email: info@nsjbio.com
Home >> Antibodies >> Inhibin alpha Antibody Mouse Monoclonal INHA/4265 / INHA Inhibin alpha Antibody

Inhibin alpha Antibody Mouse Monoclonal INHA/4265 / INHA Inhibin alpha Antibody [clone INHA/4265] (V8673)

  Catalog No Formulation Size Price (USD)  
Image V8673-100UG 0.2 mg/ml in 1X PBS with 0.1 mg/ml BSA (US sourced) and 0.05% sodium azide 100 ug 559
Image
V8673-20UG 0.2 mg/ml in 1X PBS with 0.1 mg/ml BSA (US sourced) and 0.05% sodium azide 20 ug 259
Image
V8673SAF-100UG 1 mg/ml in 1X PBS; BSA free, sodium azide free 100 ug 559
Bulk quote request
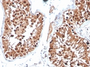
Inhibin alpha Antibody Mouse Monoclonal INHA/4265 IHC staining of human testis. Immunohistochemistry analysis of FFPE human testis tissue using Inhibin alpha Antibody Mouse Monoclonal INHA/4265 shows HRP-DAB brown cytoplasmic staining in cells within seminiferous tubules, consistent with Inhibin subunit alpha (INHA) expression in Sertoli cell populations, while surrounding stromal elements remain largely negative. HIER: tissue sections were boiled in pH 9 10mM Tris with 1mM EDTA for 20 minutes and allowed to cool before testing.
Inhibin alpha Antibody Mouse Monoclonal INHA/4265 IHC staining of human testis. Immunohistochemistry analysis of FFPE human testis tissue using Inhibin alpha Antibody Mouse Monoclonal INHA/4265 shows HRP-DAB brown cytoplasmic staining in cells within seminiferous tubules, consistent with Inhibin subunit alpha (INHA) expression in Sertoli cell populations, while surrounding stromal cells remain largely negative. HIER: tissue sections were boiled in pH 9 10mM Tris with 1mM EDTA for 20 minutes and allowed to cool before testing.
SDS-PAGE analysis of purified, BSA-free monoclonal Inhibin alpha antibody as confirmation of integrity and purity.
Availability 1-3 business days
Species Reactivity Human
Format Purified
Host Mouse
Clonality Monoclonal (mouse origin)
Isotype Mouse IgG2a
Clone Name INHA/4265
Purity Protein G affinity chromatography
UniProt P05111
Localization Nuclear & Cytoplasmic (secreted)
Applications Immunohistochemistry (FFPE) : 1-2ug/ml for 30 minutes at RT
Limitations This Inhibin alpha antibody is available for research use only.
Review this product on BioCompare and get a $20 Amazon gift card

Related Products

Description

Inhibin subunit alpha (INHA) is a secreted glycoprotein hormone component encoded by the INHA gene and produced primarily by granulosa cells of the ovary and Sertoli cells of the testis. The protein is commonly referred to as Inhibin alpha and forms part of the heterodimeric hormones inhibin A and inhibin B. Inhibin alpha Antibody Mouse Monoclonal INHA/4265 recognizes the INHA protein and enables detection of inhibin alpha expression in studies examining reproductive biology and endocrine related tumors.

Inhibins belong to the transforming growth factor beta (TGF beta) superfamily of signaling molecules. The inhibin alpha subunit associates with either the beta A or beta B subunit to generate inhibin A or inhibin B respectively. These hormones function as endocrine regulators that suppress secretion of follicle stimulating hormone (FSH) from the anterior pituitary gland, thereby participating in regulation of gonadal endocrine signaling and reproductive physiology.

In normal tissues, INHA expression is most prominent in ovarian granulosa cells and testicular Sertoli cells. The protein is synthesized as a precursor that undergoes proteolytic processing before secretion. Through its endocrine activity, inhibin alpha contributes to regulation of reproductive hormone feedback loops and plays an important role in follicular development and spermatogenesis.

Inhibin alpha expression has also been reported in several tumor types derived from steroidogenic or endocrine tissues. Expression of INHA has been described in ovarian granulosa cell tumors, other sex cord stromal tumors, and certain adrenal cortical tumors. Detection of inhibin alpha protein therefore supports research investigating endocrine tumor biology and the differentiation of steroid producing tissues.

Inhibin alpha Antibody Mouse Monoclonal INHA/4265 provides a reagent for detecting INHA protein in studies of gonadal biology, reproductive hormone signaling, and endocrine tumor research. Monoclonal antibodies recognize a defined epitope within the target antigen, enabling consistent antigen recognition and supporting investigation of inhibin alpha expression in molecular and cellular research systems.

Application Notes

Optimal dilution of the Inhibin alpha Antibody Mouse Monoclonal INHA/4265 should be determined by the researcher.

Immunogen

A portion of amino acids 73-96 from the huma protein was used as the immunogen for the Inhibin alpha antibody.

Storage

Store the Inhibin alpha antibody at 2-8oC (with azide) or aliquot and store at -20oC or colder (without azide).

Alternate Names

INHA antibody, Inhibin alpha antibody, Inhibin alpha subunit antibody, Inhibin A alpha antibody

Cross
Bulk Quote Request Form
Name*:
Organization*:
Email*:
Phone Number*:
Catalog No.*:
Comments and Specifics(amount, formulation, etc.)*:
Validation code: Captchapackage Image


Can't read the image? click here to refresh.
    *required field

Your bulk quote request has been submitted successfully!

Please contact us if you have any questions.