• Tel: 858.663.9055
  • SeparatorEmail: info@nsjbio.com
  • Tel: 858.663.9055
  • Email: info@nsjbio.com
Home >> Antibodies >> Inhibin alpha Antibody / INHA

Inhibin alpha Antibody / INHA (F54878)

  Catalog No Formulation Size Price (USD)  
Image F54878-0.4ML In 1X PBS, pH 7.4, with 0.09% sodium azide 0.4 ml 439
Image
F54878-0.08ML In 1X PBS, pH 7.4, with 0.09% sodium azide 0.08 ml 205
Bulk quote request
Flow cytometry testing of human HEK293 cells with Inhibin alpha antibody; Blue=isotype control, Green= Inhibin alpha antibody.
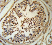
IHC testing of FFPE human testis tissue with Inhibin alpha antibody. HIER: steam section in pH6 citrate buffer for 20 min and allow to cool prior to staining.
Immunofluorescent staining of human HeLa cells with Inhibin alpha antibody (green) and DAPI nuclear stain (blue).
Western blot testing of 1) human SK-BR-3 and 2) mouse ovary lysate with Inhibin alpha antibody. Predicted molecular weight ~40 kDa.
Availability 1-3 business days
Species Reactivity Human, Mouse
Format Purified
Host Rabbit
Clonality Polyclonal (rabbit origin)
Isotype Rabbit Ig
Purity Antigen affinity purified
UniProt P05111
Localization Nuclear and Cytoplasmic (secreted)
Applications Western Blot : 1:500-1:1000
Flow Cytometry : 1:10-1:50 (1x10e6 cells)
Immunohistochemistry (FFPE) : 1:10-1:50
Immunofluorescence : 1:10-1:50
Limitations This Inhibin alpha antibody is available for research use only.
Review this product on BioCompare and get a $20 Amazon gift card

Related Products

Description

The inhibin alpha subunit joins either the beta A or beta B subunit to form a pituitary FSH secretion inhibitor. Inhibin has been shown to regulate gonadal stromal cell proliferation negatively and to have tumour-suppressor activity. In addition, serum levels of inhibin have been shown to reflect the size of granulosa-cell tumors and can therefore be used as a marker for primary as well as recurrent disease. However, in prostate cancer, expression of the inhibin alpha-subunit gene was suppressed and was not detectable in poorly differentiated tumor cells. Furthermore, because expression in gonadal and various extragonadal tissues may vary severalfold in a tissue-specific fashion, it is proposed that inhibin may be both a growth/differentiation factor and a hormone.

Application Notes

The stated application concentrations are suggested starting points. Titration of the Inhibin alpha antibody may be required due to differences in protocols and secondary/substrate sensitivity.

Immunogen

A portion of amino acids 79-108 from the human protein was used as the immunogen for the Inhibin alpha antibody.

Storage

Aliquot the Inhibin alpha antibody and store frozen at -20oC or colder. Avoid repeated freeze-thaw cycles.

Cross
Bulk Quote Request Form
Name*:
Organization*:
Email*:
Phone Number*:
Catalog No.*:
Comments and Specifics(amount, formulation, etc.)*:
Validation code: Captchapackage Image


Can't read the image? click here to refresh.
    *required field

Your bulk quote request has been submitted successfully!

Please contact us if you have any questions.