• Tel: 858.663.9055
  • SeparatorEmail: info@nsjbio.com
  • Tel: 858.663.9055
  • Email: info@nsjbio.com
Home >> Antibodies >> Inhibin alpha Antibody / INHA antibody

Inhibin alpha Antibody / INHA antibody [clone INHA/4266] (V8674)

  Catalog No Formulation Size Price (USD)  
Image V8674-100UG 0.2 mg/ml in 1X PBS with 0.1 mg/ml BSA (US sourced) and 0.05% sodium azide 100 ug 559
Image
V8674-20UG 0.2 mg/ml in 1X PBS with 0.1 mg/ml BSA (US sourced) and 0.05% sodium azide 20 ug 259
Image
V8674SAF-100UG 1 mg/ml in 1X PBS; BSA free, sodium azide free 100 ug 559
Bulk quote request
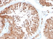
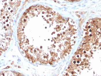
IHC staining of FFPE human testis with Inhibin alpha antibody (clone INHA/4266). HIER: boil tissue sections in pH 9 10mM Tris with 1mM EDTA for 20 min and allow to cool before testing.
IHC staining of FFPE human testis with Inhibin alpha antibody (clone INHA/4266). HIER: boil tissue sections in pH 9 10mM Tris with 1mM EDTA for 20 min and allow to cool before testing.
SDS-PAGE analysis of purified, BSA-free Inhibin alpha antibody as confirmation of integrity and purity.
Availability 1-3 business days
Species Reactivity Human
Format Purified
Host Mouse
Clonality Monoclonal (mouse origin)
Isotype Mouse IgG2a
Clone Name INHA/4266
Purity Protein G affinity chromatography
UniProt P05111
Localization Nuclear and Cytoplasmic (secreted)
Applications Immunohistochemistry (FFPE) : 1-2ug/ml for 30 minutes at RT
Limitations This Inhibin alpha antibody is available for research use only.
Review this product on BioCompare and get a $20 Amazon gift card

Related Products

Description

It recognizes a 47kDa protein, which is identified as alpha sub-unit of Inhibin. It is a gonadal protein that preferentially suppresses the secretion of pituitary follicle-stimulating hormone (FSH). Inhibin comprises two subunits, Inhibin A and Inhibin B. Each subunit consists of the same ) superfamily. Antibodies against Inhibin are useful in making a differentiation between adrenal cortical tumors and renal cell carcinoma. Sex cord stromal tumors of the ovary as well as trophoblastic tumors also demonstrate cytoplasmic positivity. Inhibin antibody is also used to make the differential diagnosis of intra-uterine vs. ectopic pregnancy in endometrial curetting.

Application Notes

Optimal dilution of the Inhibin alpha antibody should be determined by the researcher.

Immunogen

A portion of amino acids 73-96 from the huma protein was used as the immunogen for the Inhibin alpha antibody.

Storage

Store the Inhibin alpha antibody at 2-8oC (with azide) or aliquot and store at -20oC or colder (without azide).

Cross
Bulk Quote Request Form
Name*:
Organization*:
Email*:
Phone Number*:
Catalog No.*:
Comments and Specifics(amount, formulation, etc.)*:
Validation code: Captchapackage Image


Can't read the image? click here to refresh.
    *required field

Your bulk quote request has been submitted successfully!

Please contact us if you have any questions.