• Tel: 858.663.9055
  • SeparatorEmail: info@nsjbio.com
  • Tel: 858.663.9055
  • Email: info@nsjbio.com
Home >> Antibodies >> INHA Antibody

INHA Antibody [clone R1] (V8391)

  Catalog No Formulation Size Price (USD)  
Image V8391-100UG 0.2 mg/ml in 1X PBS with 0.1 mg/ml BSA (US sourced) and 0.05% sodium azide 100 ug 559
Image
V8391-20UG 0.2 mg/ml in 1X PBS with 0.1 mg/ml BSA (US sourced) and 0.05% sodium azide 20 ug 259
Image
V8391SAF-100UG 1 mg/ml in 1X PBS; BSA free, sodium azide free 100 ug 559
Bulk quote request
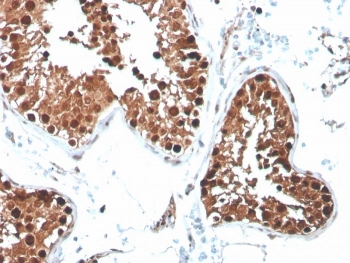
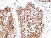
IHC staining of FFPE human testicular carcinoma with INHA antibody (clone R1). HIER: boil tissue sections in pH 9 10mM Tris with 1mM EDTA for 20 min and allow to cool before testing.
IHC staining of FFPE human testicular carcinoma with INHA antibody (clone R1). HIER: boil tissue sections in pH 9 10mM Tris with 1mM EDTA for 20 min and allow to cool before testing.
Availability 1-3 business days
Species Reactivity Human
Format Purified
Host Mouse
Clonality Monoclonal (mouse origin)
Isotype Mouse IgG2a, kappa
Clone Name R1
Purity Protein G affinity chromatography
UniProt P05111
Localization Cytoplasmic (secreted) and Nuclear
Applications Immunohistochemistry (FFPE) : 1-2ug/ml for 30 minutes at RT
Limitations This INHA antibody is available for research use only.
Review this product on BioCompare and get a $20 Amazon gift card

Related Products

Description

It recognizes a 47kDa protein, which is identified as alpha sub-unit of Inhibin. It is a gonadal protein that preferentially suppresses the secretion of pituitary follicle-stimulating hormone (FSH). Inhibin comprises two subunits, Inhibin A and Inhibin B. Each subunit consists of the same ) superfamily. Antibodies against Inhibin are useful in making a differentiation between adrenal cortical tumors and renal cell carcinoma. Sex cord stromal tumors of the ovary as well as trophoblastic tumors also demonstrate cytoplasmic positivity. Inhibin antibody is also used to make the differential diagnosis of intra-uterine vs. ectopic pregnancy in endometrial curetting.

Application Notes

Optimal dilution of the INHA antibody should be determined by the researcher.

Immunogen

Amino acids 233-264, corresponding to the N-terminus of the mature region of the human inhibin alpha subunit, were used as the immunogen for the INHA antibody.

Storage

Store the INHA antibody at 2-8oC (with azide) or aliquot and store at -20oC or colder (without azide).

Cross
Bulk Quote Request Form
Name*:
Organization*:
Email*:
Phone Number*:
Catalog No.*:
Comments and Specifics(amount, formulation, etc.)*:
Validation code: Captchapackage Image


Can't read the image? click here to refresh.
    *required field

Your bulk quote request has been submitted successfully!

Please contact us if you have any questions.