• Tel: 858.663.9055
  • SeparatorEmail: info@nsjbio.com
  • Tel: 858.663.9055
  • Email: info@nsjbio.com
Home >> Antibodies >> IMPDH1 Antibody / IMP dehydrogenase 1

IMPDH1 Antibody / IMP dehydrogenase 1 (RQ6881)

  Catalog No Formulation Size Price (USD)  
Image RQ6881 0.5mg/ml if reconstituted with 0.2ml sterile DI water 100 ug 449
Bulk quote request
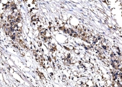
IHC staining of FFPE human renal cell carcinoma tissue with IMPDH1 antibody. HIER: boil tissue sections in pH8 EDTA for 20 min and allow to cool before testing.
IHC staining of FFPE human splenic rupture tissue with IMPDH1 antibody. HIER: boil tissue sections in pH8 EDTA for 20 min and allow to cool before testing.
IHC staining of FFPE human breast cancer tissue with IMPDH1 antibody. HIER: boil tissue sections in pH8 EDTA for 20 min and allow to cool before testing.
IHC staining of FFPE human lymphoma tissue with IMPDH1 antibody. HIER: boil tissue sections in pH8 EDTA for 20 min and allow to cool before testing.
IHC staining of FFPE human colon adenocarcinoma tissue with IMPDH1 antibody. HIER: boil tissue sections in pH8 EDTA for 20 min and allow to cool before testing.
Immunofluorescent staining of FFPE human PC-3 cells with IMPDH1 antibody (green) and DAPI nuclear stain (blue). HIER: steam section in pH6 citrate buffer for 20 min.
Western blot testing of 1) human HeLa, 2) human 293T, 3) human K562 and 4) mouse ANA-1 cell lysate with IMPDH1 antibody. Predicted molecular weight ~55 kDa.
Flow cytometry testing of human ThP-1 cells with IMPDH1 antibody at 1ug/million cells (blocked with goat sera); Red=cells alone, Green=isotype control, Blue= IMPDH1 antibody.
Availability 1-3 business days
Species Reactivity Human, Mouse
Format Antigen affinity purified
Host Rabbit
Clonality Polyclonal (rabbit origin)
Isotype Rabbit IgG
Purity Antigen affinity purified
Buffer Lyophilized from 1X PBS with 2% Trehalose
UniProt P20839
Localization Nuclear, cytoplasmic
Applications Western Blot : 1-2ug/ml
Immunohistochemistry (FFPE) : 2-5ug/ml
Immunofluorescence (FFPE) : 5ug/ml
Flow Cytometry : 1-3ug/million cells
Direct ELISA : 0.1-0.5ug/ml
Limitations This IMPDH1 antibody is available for research use only.
Review this product on BioCompare and get a $20 Amazon gift card

Description

Inosine-5'-monophosphate dehydrogenase 1, also known as IMP dehydrogenase 1, is an enzyme that in humans is encoded by the IMPDH1 gene. The protein encoded by this gene acts as a homotetramer to regulate cell growth. The encoded protein is an enzyme that catalyzes the synthesis of xanthine monophosphate (XMP) from inosine-5'-monophosphate (IMP). This is the rate-limiting step in the de novo synthesis of guanine nucleotides. Defects in this gene are a cause of retinitis pigmentosa type 10 (RP10). Several transcript variants encoding different isoforms have been found for this gene.

Application Notes

Optimal dilution of the IMPDH1 antibody should be determined by the researcher.

Immunogen

Recombinant human protein (amino acids P123-E500) was used as the immunogen for the IMPDH1 antibody.

Storage

After reconstitution, the IMPDH1 antibody can be stored for up to one month at 4oC. For long-term, aliquot and store at -20oC. Avoid repeated freezing and thawing.

Cross
Bulk Quote Request Form
Name*:
Organization*:
Email*:
Phone Number*:
Catalog No.*:
Comments and Specifics(amount, formulation, etc.)*:
Validation code: Captchapackage Image


Can't read the image? click here to refresh.
    *required field

Your bulk quote request has been submitted successfully!

Please contact us if you have any questions.