• Tel: 858.663.9055
  • SeparatorEmail: info@nsjbio.com
  • Tel: 858.663.9055
  • Email: info@nsjbio.com
Home >> Antibodies >> IMPA1 Antibody / Inositol monophosphatase 1

IMPA1 Antibody / Inositol monophosphatase 1 (FY13287)

  Catalog No Formulation Size Price (USD)  
Image FY13287 Adding 0.2 ml of distilled water will yield a concentration of 500 ug/ml 100 ug 449
Bulk quote request
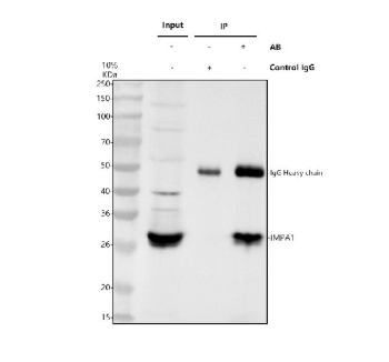
Immunoprecipitating IMPA1 in Jurkat whole cell lysate. Western blot analysis of IMPA1 using anti-IMPA1 antibody. Lane 1: Jurkat whole cell lysates (30ug), Lane 2: Rabbit control IgG instead of anti-IMPA1 antibody in Jurkat whole cell lysate, Lane 3: anti-IMPA1 antibody (2ug) + Jurkat whole cell lysate (500ug). After electrophoresis, proteins were transferred to a membrane. Then the membrane was incubated with rabbit anti-IMPA1 antibody at a dilution of 0.5 ug/ml and probed with a goat anti-rabbit IgG-HRP secondary antibody. The signal is developed using ECL Plus Western Blotting Substrate. A specific band was detected for IMPA1 at approximately 30 kDa. The expected molecular weight of IMPA1 is ~30 kDa.
Western blot analysis of IMPA1 using anti-IMPA1 antibody. Electrophoresis was performed on a 10% SDS-PAGE gel at 80V (Stacking gel) / 120V (Resolving gel) for 2 hours. Lane 1: human Jurkat whole cell lysates, Lane 2: rat kidney tissue lysates, Lane 3: rat brain tissue lysates, Lane 4: mouse kidney tissue lysates, Lane 5: mouse brain tissue lysates, Lane 6: mouse NIH/3T3 whole cell lysates. After electrophoresis, proteins were transferred to a nitrocellulose membrane at 150 mA for 50-90 minutes. Blocked the membrane with 5% non-fat milk/TBS for 1.5 hour at RT. The membrane was incubated with rabbit anti-IMPA1 antibody at 0.5 ug/ml overnight at 4oC, then washed with TBS-0.1%Tween 3 times with 5 minutes each and probed with a goat anti-rabbit IgG-HRP secondary antibody at a dilution of 1:5000 for 1.5 hour at RT. The signal was developed using an ECL Plus Western Blotting Substrate. A predominant band is detected at an approximately 30 kDa in all samples, consistent with the predicted size of monomeric IMPA1. Most samples also show a stronger band near 85 kDa, which likely represents an SDS resistant oligomeric or complex form of IMPA1 rather than a distinct isoform.
Flow Cytometry analysis of Jurkat cells using anti-IMPA1 antibody. Overlay histogram showing Jurkat cells stained with (Blue line). To facilitate intracellular staining, cells were fixed with 4% paraformaldehyde and permeabilized with permeabilization buffer. The cells were blocked with 10% normal goat serum. And then incubated with rabbit anti-IMPA1 antibody (1 ug/million cells) for 30 min at 20oC. DyLight 488 conjugated goat anti-rabbit IgG (5-10 ug/million cells) was used as secondary antibody for 30 minutes at 20oC. Isotype control antibody (Green line) was rabbit IgG (1 ug/million cells) used under the same conditions. Unlabelled sample without incubation with primary antibody and secondary antibody (Red line) was used as a blank control.
Availability 1-2 days
Species Reactivity Human, Mouse, Rat
Format Lyophilized
Host Rabbit
Clonality Polyclonal (rabbit origin)
Isotype Rabbit IgG
Purity Immunogen affinity purified
Buffer Each vial contains 4 mg Trehalose, 0.9 mg NaCl, 0.2 mg Na2HPO4.
UniProt P29218
Applications Western Blot : 0.25-0.5ug/ml
Immunoprecipitation : 2-4ug/500ug of lysate
Flow Cytometry : 1-3ug/million cells
ELISA : 0.1-0.5ug/ml
Limitations This IMPA1 antibody is available for research use only.
Review this product on BioCompare and get a $20 Amazon gift card

Description

IMPA1 antibody recognizes Inositol monophosphatase 1, a magnesium-dependent enzyme that catalyzes the dephosphorylation of inositol monophosphate to free inositol, a crucial step in the phosphatidylinositol signaling pathway. The IMPA1 gene encodes a cytosolic enzyme essential for recycling inositol phosphates derived from the hydrolysis of phosphatidylinositol 4,5-bisphosphate (PIP2). This reaction is critical for maintaining inositol supply for the synthesis of phosphoinositides, which regulate intracellular signaling, neurotransmission, and osmoregulation.

IMPA1 is expressed abundantly in brain, kidney, and liver, reflecting its central role in inositol metabolism. In neurons, IMPA1 supports the phosphoinositide cycle, enabling sustained neurotransmitter signaling via inositol trisphosphate and diacylglycerol pathways. Pharmacologically, IMPA1 is a well-known molecular target of lithium, a mood-stabilizing drug used in the treatment of bipolar disorder. Lithium inhibits IMPA1 activity, leading to inositol depletion and modulation of neuronal signaling, supporting the �inositol depletion hypothesis� for mood stabilization.

The human IMPA1 gene is located on chromosome 8q21.13 and encodes a 277-amino acid protein that functions as a homodimer. The enzyme binds magnesium ions within its active site to hydrolyze phosphate from a range of inositol monophosphate substrates. Structural studies have revealed conserved residues critical for catalysis and lithium binding. Genetic or functional alterations in IMPA1 have been associated with neurological disorders, cognitive deficits, and certain metabolic diseases. Experimental evidence also implicates IMPA1 in maintaining cellular osmotic balance, particularly in renal epithelial cells where inositol acts as a compatible osmolyte.

Immunohistochemical analysis using IMPA1 antibody shows strong cytoplasmic staining in neurons, glial cells, renal tubules, and hepatocytes. The antibody is useful for studying inositol phosphate metabolism, lithium pharmacology, and neuronal signaling pathways. IMPA1 antibody from NSJ Bioreagents supports research into inositol-dependent biochemical networks and the molecular mechanisms underlying psychiatric and neurological disease.

Application Notes

Optimal dilution of the IMPA1 antibody should be determined by the researcher.

Immunogen

E.coli-derived human IMPA1 recombinant protein (Position: M1-D277) was used as the immunogen for the IMPA1 antibody.

Storage

After reconstitution, the IMPA1 antibody can be stored for up to one month at 4oC. For long-term, aliquot and store at -20oC. Avoid repeated freezing and thawing.

Cross
Bulk Quote Request Form
Name*:
Organization*:
Email*:
Phone Number*:
Catalog No.*:
Comments and Specifics(amount, formulation, etc.)*:
Validation code: Captchapackage Image


Can't read the image? click here to refresh.
    *required field

Your bulk quote request has been submitted successfully!

Please contact us if you have any questions.