• Tel: 858.663.9055
  • SeparatorEmail: info@nsjbio.com
  • Tel: 858.663.9055
  • Email: info@nsjbio.com
Home >> Antibodies >> IMP4 Antibody / U3 small nucleolar ribonucleoprotein protein IMP4

IMP4 Antibody / U3 small nucleolar ribonucleoprotein protein IMP4 (RQ8593)

  Catalog No Formulation Size Price (USD)  
Image RQ8593 0.5mg/ml if reconstituted with 0.2ml sterile DI water 100 ug 449
Bulk quote request
Immunofluorescent staining of FFPE human HeLa cells with IMP4 antibody (green), Beta Tubulin mAb (red) and DAPI nuclear stain (blue). HIER: steam section in pH6 citrate buffer for 20 min.
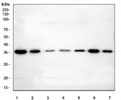
Western blot testing of 1) human HepG2, 2) human MCF7, 3) rat PC-12, 4) mouse thymus, 5) mouse RAW264.7, 6) mouse EL-4 and 7) mouse ANA-1 cell lysate with IMP4 antibody. Predicted molecular weight ~34 kDa.
Flow cytometry testing of fixed and permeabilized human HepG2 cells with IMP4 antibody at 1ug/million cells (blocked with goat sera); Red=cells alone, Green=isotype control, Blue= IMP4 antibody.
Availability 1-3 days
Species Reactivity Human, Mouse, Rat
Format Antigen affinity purified
Host Rabbit
Clonality Polyclonal (rabbit origin)
Isotype Rabbit IgG
Purity Antigen affinity purified
Buffer Lyophilized from 1X PBS with 2% Trehalose
UniProt Q96G21
Localization Nucleolus
Applications Western Blot : 0.5-1ug/ml
Immunofluorescence : 5ug/ml
Flow Cytometry : 1-3ug/million cells
ELISA : 0.1-0.5ug/ml
Limitations This IMP4 antibody is available for research use only.
Review this product on BioCompare and get a $20 Amazon gift card

Description

U3 small nucleolar ribonucleoprotein protein IMP4 is a protein that in humans is encoded by the IMP4 gene. The protein encoded by this gene, along with IMP3 and MPP10, is part of the 60-80S U3 small nucleolar ribonucleoprotein (U3 snoRNP) complex. This complex is necessary for the early cleavage steps of pre-18S ribosomal RNA processing. Several transcript variants encoding different isoforms have been found for this gene.

Application Notes

Optimal dilution of the IMP4 antibody should be determined by the researcher.

Immunogen

An E.coli-derived human recombinant protein (amino acids L2-K236) was used as the immunogen for the IMP4 antibody.

Storage

After reconstitution, the IMP4 antibody can be stored for up to one month at 4oC. For long-term, aliquot and store at -20oC. Avoid repeated freezing and thawing.

Cross
Bulk Quote Request Form
Name*:
Organization*:
Email*:
Phone Number*:
Catalog No.*:
Comments and Specifics(amount, formulation, etc.)*:
Validation code: Captchapackage Image


Can't read the image? click here to refresh.
    *required field

Your bulk quote request has been submitted successfully!

Please contact us if you have any questions.