• Tel: 858.663.9055
  • SeparatorEmail: info@nsjbio.com
  • Tel: 858.663.9055
  • Email: info@nsjbio.com
Home >> Antibodies >> IMMT Antibody / MIC60

IMMT Antibody / MIC60 (F54800)

  Catalog No Formulation Size Price (USD)  
Image F54800-0.4ML In 1X PBS, pH 7.4, with 0.09% sodium azide 0.4 ml 439
Image
F54800-0.08ML In 1X PBS, pH 7.4, with 0.09% sodium azide 0.08 ml 205
Bulk quote request
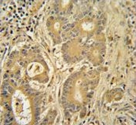
IHC testing of FFPE human colon carcinoma tissue with IMMT antibody. HIER: steam section in pH6 citrate buffer for 20 min and allow to cool prior to staining.
Western blot testing of 1) non-transfected and 2) transfected 293 cell lysate with IMMT antibody.
Western blot testing of human HeLa cell lysate with IMMT antibody. Predicted molecular weight ~84 kDa.
Flow cytometry testing of human HeLa cells with IMMT antibody; Blue=isotype control, Green= IMMT antibody.
Availability 1-3 business days
Species Reactivity Human
Format Purified
Host Rabbit
Clonality Polyclonal (rabbit origin)
Isotype Rabbit Ig
Purity Purified
UniProt Q16891
Localization Cytoplasmic
Applications Immunohistochemistry (FFPE) : 1:50-1:100
Flow Cytometry : 1:10-1:50 (1x10e6 cells)
Western Blot : 1:500-1:1000
Limitations This IMMT antibody is available for research use only.
Review this product on BioCompare and get a $20 Amazon gift card

Related Products

Description

Mitochondria are the center of cellular energy production and essential metabolic reactions. As double membrane-bound organelles, mitochondria from different species, tissues, and metabolic states are highly polymorphic in nature, yet exhibit common structural features. The ultrastructural variations in mitochondrial architecture occur mainly due to the differences in the amount and shape of cristae. Abundant cristae are found in mitochondria from tissues where energy demand is high. Analysis of the human heart mitochondrial proteome shows that mitofilin is one of the most abundant mitochondrial proteins. It appears to play an important role in the maintenance of cristae morphology.

Application Notes

The stated application concentrations are suggested starting points. Titration of the IMMT antibody may be required due to differences in protocols and secondary/substrate sensitivity.

Immunogen

A portion of amino acids 700-729 from the human protein was used as the immunogen for the IMMT antibody.

Storage

Aliquot the IMMT antibody and store frozen at -20oC or colder. Avoid repeated freeze-thaw cycles.

Cross
Bulk Quote Request Form
Name*:
Organization*:
Email*:
Phone Number*:
Catalog No.*:
Comments and Specifics(amount, formulation, etc.)*:
Validation code: Captchapackage Image


Can't read the image? click here to refresh.
    *required field

Your bulk quote request has been submitted successfully!

Please contact us if you have any questions.