• Tel: 858.663.9055
  • SeparatorEmail: info@nsjbio.com
  • Tel: 858.663.9055
  • Email: info@nsjbio.com
Home >> Antibodies >> Il33 Antibody

Il33 Antibody (R32998)

  Catalog No Formulation Size Price (USD)  
Image R32998 0.5mg/ml if reconstituted with 0.2ml sterile DI water 100 ug 449
Bulk quote request
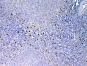
IHC testing of FFPE mouse spleen tissue with Il33 antibody at 1ug/ml. Required HIER: steam section in pH6 citrate buffer for 20 min and allow to cool prior to testing.
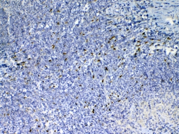
IHC testing of FFPE rat spleen tissue with Il33 antibody at 1ug/ml. Required HIER: steam section in pH6 citrate buffer for 20 min and allow to cool prior to testing.
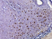
IHC testing of FFPE rat lymph tissue with Il33 antibody at 1ug/ml. Required HIER: steam section in pH6 citrate buffer for 20 min and allow to cool prior to testing.
Western blot testing of rat 1) spleen and 2) lung tissue lysate with Il33 antibody at 0.5ug/ml. Predicted molecular weight ~31 kDa.
Western blot testing of 1) rat lung, 2) mouse lung and 3) mouse RAW264.7 cell lysate with Il33 antibody at 0.5ug/ml. Predicted molecular weight ~31 kDa.
Availability 1-3 business days
Species Reactivity Mouse, Rat
Format Antigen affinity purified
Host Rabbit
Clonality Polyclonal (rabbit origin)
Isotype Rabbit IgG
Purity Antigen affinity purified
Buffer Lyophilized from 1X PBS with 2% Trehalose
UniProt Q66H70
Localization Nuclear, cytoplasmic, secreted
Applications Western Blot : 0.5-1ug/ml
Immunohistochemistry (FFPE) : 2-5ug/ml
ELISA (Capture) : 0.1-0.5ug/ml
Limitations This Il33 antibody is available for research use only.
Review this product on BioCompare and get a $20 Amazon gift card

Related Products

  • Applications : WB
    Reactivity : Mouse
    Recrabbitmono
  • Applications : WB, ELISA
    Reactivity : Human
  • Applications : WB, ELISA (peptide)
    Reactivity : Human
  • Applications : WB, IHC-P, ELISA (capture)
    Reactivity : Human
  • Applications : WB, IHC-P, ELISA (capture)
    Reactivity : Mouse, Rat

Description

Interleukin 33 (IL-33) is a protein that in humans is encoded by the IL33 gene. The protein encoded by this gene is a cytokine that binds to the IL1RL1/ST2 receptor. The encoded protein is involved in the maturation of Th2 cells and the activation of mast cells, basophils, eosinophils and natural killer cells. Several transcript variants encoding different isoforms have been found for this gene.

Application Notes

Optimal dilution of the Il33 antibody should be determined by the researcher.

Immunogen

A recombinant rat partial protein corresponding to amino acids A102-M264 was used as the immunogen for the Il33 antibody.

Storage

After reconstitution, the Il33 antibody can be stored for up to one month at 4oC. For long-term, aliquot and store at -20oC. Avoid repeated freezing and thawing.

Cross
Bulk Quote Request Form
Name*:
Organization*:
Email*:
Phone Number*:
Catalog No.*:
Comments and Specifics(amount, formulation, etc.)*:
Validation code: Captchapackage Image


Can't read the image? click here to refresh.
    *required field

Your bulk quote request has been submitted successfully!

Please contact us if you have any questions.