• Tel: 858.663.9055
  • SeparatorEmail: info@nsjbio.com
  • Tel: 858.663.9055
  • Email: info@nsjbio.com
Home >> Antibodies >> IL2RA Antibody / Interleukin-2 receptor subunit alpha / CD25

IL2RA Antibody / Interleukin-2 receptor subunit alpha / CD25 [clone rIL2RA/12624] (V5919)

  Catalog No Formulation Size Price (USD)  
Image V5919-100UG 0.2 mg/ml in 1X PBS with 0.05% BSA, 0.05% sodium azide 100 ug 559
Image
V5919-20UG 0.2 mg/ml in 1X PBS with 0.05% BSA, 0.05% sodium azide 20 ug 259
Image
V5919SAF-100UG 1 mg/ml in 1X PBS; BSA free, sodium azide free 100 ug 559
Microvalidated Recmousemono
Bulk quote request
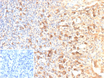
Immunohistochemistry analysis of CD25 / IL2RA antibody (clone rIL2RA/12624) in human tonsil. Formalin-fixed, paraffin-embedded human tonsil tissue shows membranous and cytoplasmic brown chromogenic staining in scattered lymphoid cells, consistent with IL2RA-positive immune cell populations. Inset shows a PBS-only negative control processed without primary antibody, demonstrating minimal non-specific background staining.
Species Reactivity Human
Format Purified
Host Mouse
Clonality Recombinant Mouse Monoclonal
Isotype Mouse IgG2b, kappa
Clone Name rIL2RA/12624
UniProt P01589
Localization Cell membrane, Cytoplasm
Applications Immunohistochemistry (FFPE) : 1-2ug/ml
Limitations This IL2RA/Interleukin-2 receptor subunit alpha antibody is available for research use only.
Review this product on BioCompare and get a $20 Amazon gift card

Related Products

Description

IL2RA antibody targets Interleukin-2 receptor subunit alpha, a cell surface cytokine receptor component encoded by the IL2RA gene. Interleukin-2 receptor subunit alpha is also widely known as CD25 and represents the high-affinity binding subunit of the interleukin-2 receptor complex. This protein is primarily localized to the plasma membrane and is expressed at low levels on resting T cells but is rapidly upregulated following immune activation. Because of its central role in IL-2 signaling, an IL2RA antibody is extensively used in immunology research focused on T cell activation and immune regulation.

Interleukin-2 receptor subunit alpha forms a heterotrimeric receptor complex together with the beta (IL2RB) and gamma (common gamma chain, IL2RG) subunits. While IL2RA itself does not possess intrinsic signaling capability, its expression dramatically increases the affinity of the receptor complex for interleukin-2, enabling efficient downstream signaling through JAK-STAT pathways. This mechanism is essential for clonal expansion of activated T cells and maintenance of immune responses. Use of an IL2RA antibody enables investigation of IL-2 receptor assembly, signaling dynamics, and cytokine responsiveness.

CD25 expression is a defining feature of regulatory T cells, which constitutively express high levels of Interleukin-2 receptor subunit alpha to support immune tolerance and suppression of excessive immune activation. Because of this characteristic expression pattern, IL2RA antibody reagents are widely applied as markers for regulatory T cell identification and functional studies. CD25 is also transiently expressed on activated conventional T cells, B cells, and certain innate immune cell populations, reflecting its broader role in immune activation.

Interleukin-2 receptor subunit alpha has significant relevance in autoimmune disease, transplantation, and cancer immunology. Dysregulated IL2RA expression or IL-2 signaling contributes to autoimmune pathogenesis, while therapeutic targeting of CD25 has been explored for immune modulation in transplantation and immune-mediated disease. In oncology research, IL2RA expression on activated lymphocytes and tumor-infiltrating immune cells provides insight into immune status within the tumor microenvironment. An IL2RA antibody therefore supports studies of immune dysregulation, tolerance mechanisms, and therapeutic immune modulation.

Structurally, Interleukin-2 receptor subunit alpha is a type I transmembrane glycoprotein with an extracellular cytokine-binding domain and a short cytoplasmic tail. Its expression is tightly regulated at the transcriptional and post-translational levels in response to immune stimuli. Because IL2RA expression reflects immune activation state and regulatory function, antibody-based detection of this protein is central to studies of adaptive immunity and immune homeostasis.

Clone rIL2RA/12624 is designed to recognize Interleukin-2 receptor subunit alpha and supports detection of IL2RA expression in research applications. NSJ Bioreagents offers this IL2RA antibody to support investigations into T cell biology, regulatory T cell function, cytokine signaling, and immune regulation.

Application Notes

Optimal dilution of the IL2RA/Interleukin-2 receptor subunit alpha antibody should be determined by the researcher.

Immunogen

Recombinant human fragment corresponding to the external domain of the IL2RA protein (exact sequence is proprietary) was used as the immunogen for the IL2RA/Interleukin-2 receptor subunit alpha antibody.

Storage

IL2RA/Interleukin-2 receptor subunit alpha antibody with sodium azide - store at 2 to 8oC; antibody without sodium azide - store at -20 to -80oC.

Cross
Bulk Quote Request Form
Name*:
Organization*:
Email*:
Phone Number*:
Catalog No.*:
Comments and Specifics(amount, formulation, etc.)*:
Validation code: Captchapackage Image


Can't read the image? click here to refresh.
    *required field

Your bulk quote request has been submitted successfully!

Please contact us if you have any questions.