- Tel: 858.663.9055
- 
									 Email: info@nsjbio.com Email: info@nsjbio.com
- Tel: 858.663.9055
- Email: info@nsjbio.com
 Email: info@nsjbio.com
Email: info@nsjbio.com
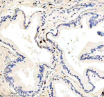
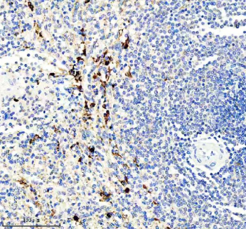
								IL21R antibody detects Interleukin-21 receptor, a type I cytokine receptor that mediates signaling of interleukin-21, a key regulator of immune cell proliferation and differentiation. The UniProt recommended name is Interleukin-21 receptor (IL21R). This transmembrane receptor pairs with the common gamma chain (IL2RG) to form a heterodimeric signaling complex that activates the JAK/STAT pathway in lymphoid cells.
Functionally, IL21R antibody identifies a 538-amino-acid receptor composed of an extracellular cytokine-binding domain, a single transmembrane segment, and a cytoplasmic tail containing Box1 and Box2 motifs that recruit Janus kinases (JAK1 and JAK3). IL21R engagement by IL21 triggers STAT1 and STAT3 phosphorylation, promoting differentiation of B cells, T follicular helper cells, and cytotoxic CD8+ T cells.
The IL21R gene is located on chromosome 16p11.2 and is expressed primarily in lymphocytes, including B cells, natural killer cells, and T cells. Through IL21 signaling, IL21R regulates immunoglobulin production, cytotoxicity, and inflammatory cytokine release. It plays a key role in maintaining immune homeostasis and supporting antibody-mediated immunity.
Pathologically, mutations or altered expression of IL21R are associated with primary immunodeficiency, autoimmune diseases, and lymphoproliferative disorders. Loss of IL21R function impairs B and T cell responses, while overactivation contributes to chronic inflammation. Research using IL21R antibody supports studies in immunology, cytokine signaling, and immune regulation.
IL21R antibody is validated for use in western blotting, flow cytometry, and immunohistochemistry to detect receptor expression and signaling status. NSJ Bioreagents provides high-quality IL21R antibody reagents optimized for cytokine signaling, immunotherapy, and immune cell differentiation research.
Structurally, Interleukin-21 receptor shares homology with other gamma-chain cytokine receptors, featuring fibronectin type III-like domains for ligand binding. This antibody enables detailed analysis of IL21Rs function in immune communication and adaptive responses.
Optimal dilution of the IL21R antibody should be determined by the researcher.
A synthetic peptide corresponding to a sequence in the middle region of human IL21R was used as the immunogen for the IL21R antibody.
After reconstitution, the IL21R antibody can be stored for up to one month at 4oC. For long-term, aliquot and store at -20oC. Avoid repeated freezing and thawing.
 
Your bulk quote request has been submitted successfully!
Please contact us if you have any questions.