• Tel: 858.663.9055
  • SeparatorEmail: info@nsjbio.com
  • Tel: 858.663.9055
  • Email: info@nsjbio.com
Home >> Antibodies >> IL20R alpha Antibody / IL-20 receptor subunit alpha

IL20R alpha Antibody / IL-20 receptor subunit alpha [clone IL20RA/1752] (V5186)

  Catalog No Formulation Size Price (USD)  
Image V5186-100UG 0.2 mg/ml in 1X PBS with 0.1 mg/ml BSA (US sourced), 0.05% sodium azide 100 ug 559
Image
V5186-20UG 0.2 mg/ml in 1X PBS with 0.1 mg/ml BSA (US sourced), 0.05% sodium azide 20 ug 259
Image
V5186SAF-100UG 1 mg/ml in 1X PBS; BSA free, sodium azide free 100 ug 559
Bulk quote request
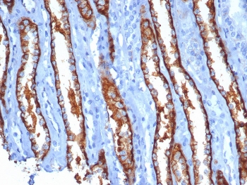
IHC staining of FFPE human kidney tissue with IL20R alpha antibody (clone IL20RA/1752). HIER: boil tissue sections in pH 9 10mM Tris with 1mM EDTA for 20 min and allow to cool before testing.
SDS-PAGE analysis of purified, BSA-free IL20R alpha antibody (clone IL20RA/1752) as confirmation of integrity and purity.
Availability 1-3 business days
Species Reactivity Human
Format Purified
Host Mouse
Clonality Monoclonal (mouse origin)
Isotype Mouse IgG2, kappa
Clone Name IL20RA/1752
Purity Protein A/G affinity
UniProt Q9UHF4
Localization Cell surface
Applications Immunohistochemistry (FFPE) : 1-2ug/ml for 30 min at RT
Limitations This IL20R alpha antibody is available for research use only.
Review this product on BioCompare and get a $20 Amazon gift card

Related Products

Description

The class II cytokine receptor family includes 12 members, 11 of which combine as various heterodimers to transduce signals across the cellular membrane for 27 cytokines. These cytokines are divided into four structurally related groups: six cytokines of the IL-10 family, 17 type I IFNs, one type II IFN and three IFN-l. IL-20 is a member of the IL-10 family of cytokines that has been shown to be upregulated in psoriatic skin. The receptor for IL-20 (IL-20R) exists as a dimer consisting of IL-20Ra and IL-20Rb. IL-20R also functions as a receptor for IL-19, IL-24 and IL-26. It is highly expressed in skin, brain and testis. IL-20, IL-20Ra and IL-20Rb all have higher expression levels in psoriatic lesional (LS) skin than in nonlesional (NL) skin, suggesting a role for these proteins as potential therapeutic targets. IL-20 can induce signal transducer and activator of transcription (Stat) activation through IL-20R.

Application Notes

Optimal dilution of the IL20R alpha antibody should be determined by the researcher.

Immunogen

A recombinant partial protein sequence (within amino acids 1-200) from the human protein was used as the immunogen for the IL20R alpha antibody.

Storage

Aliquot the IL20R alpha antibody and store frozen at -20oC or colder. Avoid repeated freeze-thaw cycles.

Cross
Bulk Quote Request Form
Name*:
Organization*:
Email*:
Phone Number*:
Catalog No.*:
Comments and Specifics(amount, formulation, etc.)*:
Validation code: Captchapackage Image


Can't read the image? click here to refresh.
    *required field

Your bulk quote request has been submitted successfully!

Please contact us if you have any questions.