• Tel: 858.663.9055
  • SeparatorEmail: info@nsjbio.com
  • Tel: 858.663.9055
  • Email: info@nsjbio.com
Home >> Antibodies >> IL2 Antibody / Interleukin 2

IL2 Antibody / Interleukin 2 (FY12557)

  Catalog No Formulation Size Price (USD)  
Image FY12557 Adding 0.2 ml of distilled water will yield a concentration of 500 ug/ml 100 ug 449
Bulk quote request
Flow Cytometry analysis of JK cells using anti-IL2 antibody. Overlay histogram showing JK cells stained with (Blue line). The cells were fixed with 4% paraformaldehyde and blocked with 10% normal goat serum. And then incubated with rabbit anti-IL2 antibody (1 ug/million cells) for 30 min at 20oC. DyLight 488 conjugated goat anti-rabbit IgG (5-10 ug/million cells) was used as secondary antibody for 30 minutes at 20oC. Isotype control antibody (Green line) was rabbit IgG (1 ug/million cells) used under the same conditions. Unlabelled sample without incubation with primary antibody and secondary antibody (Red line) was used as a blank control.
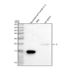
Western blot analysis of IL2 using anti-IL2 antibody. Lane 1: recombinant human IL-2 protein 10 ng, Lane 2: rat spleen tissue lysates. After electrophoresis, proteins were transferred to a nitrocellulose membrane at 150 mA for 50-90 minutes. Blocked the membrane with 5% non-fat milk/TBS for 1.5 hour at RT. The membrane was incubated with rabbit anti-IL2 antibody at 0.5 ug/ml overnight at 4oC, then washed with TBS-0.1%Tween 3 times with 5 minutes each and probed with a goat anti-rabbit IgG-HRP secondary antibody at a dilution of 1:5000 for 1.5 hour at RT. The signal was developed using enhanced chemiluminescent. A specific band was detected for IL2 at approximately 18 kDa. The expected molecular weight of IL2 is ~18 kDa.
Flow Cytometry analysis of MOLT-4 cells using anti-IL2 antibody. Overlay histogram showing MOLT-4 cells stained with (Blue line). The cells were fixed with 4% paraformaldehyde and blocked with 10% normal goat serum. And then incubated with rabbit anti-IL2 antibody (1 ug/million cells) for 30 min at 20oC. DyLight 488 conjugated goat anti-rabbit IgG (5-10 ug/million cells) was used as secondary antibody for 30 minutes at 20oC. Isotype control antibody (Green line) was rabbit IgG (1 ug/million cells) used under the same conditions. Unlabelled sample without incubation with primary antibody and secondary antibody (Red line) was used as a blank control.
Availability 1-2 days
Species Reactivity Human, Rat
Format Lyophilized
Host Rabbit
Clonality Polyclonal (rabbit origin)
Isotype Rabbit IgG
Purity Immunogen affinity purified
Buffer Each vial contains 4 mg Trehalose, 0.9 mg NaCl, 0.2 mg Na2HPO4.
UniProt P60568
Applications Western Blot : 0.25-0.5ug/ml
ELISA : 0.1-0.5ug/ml
FLow Cytometry : 1-3ug/million cells
Limitations This IL2 antibody is available for research use only.
Review this product on BioCompare and get a $20 Amazon gift card

Description

IL2 antibody detects Interleukin-2, a cytokine essential for lymphocyte proliferation, immune tolerance, and cytotoxic activation. IL2 was one of the first cytokines to be molecularly cloned and remains a central molecule in immunology due to its dual role in promoting effector responses and maintaining regulatory T cell (Treg) homeostasis. The IL2 antibody is widely used in immunology and cancer research to investigate T-cell activation, cytokine signaling, and immune regulation.

IL2 is encoded by the IL2 gene on human chromosome 4q27. The protein is produced primarily by activated CD4+ T cells as a 153-amino acid precursor, which is processed to a 15.5 kilodalton mature secreted cytokine. IL2 binds with high affinity to the heterotrimeric IL2 receptor complex (IL2Ralpha/CD25, IL2Rbeta/CD122, and gammac/CD132), triggering JAK1/3-mediated phosphorylation of STAT5 and subsequent transcription of proliferation and survival genes.

The IL2 antibody detects secreted and intracellular IL2 by western blot or immunoassay, and shows cytoplasmic and perinuclear staining in activated lymphocytes. IL2 drives clonal expansion of T and NK cells, enhances cytotoxicity, and induces differentiation of regulatory T cells to maintain immune balance. Dysregulation of IL2 signaling leads to immune deficiency or autoimmunity, depending on whether its production or receptor function is impaired.

Clinically, IL2 forms the basis for several immunotherapeutic strategies, including recombinant IL2 (aldesleukin) for metastatic melanoma and renal carcinoma. It also serves as a biomarker for T-cell activation in immunomonitoring assays. Genetic polymorphisms in IL2 or its receptor subunits have been associated with autoimmune diseases such as type 1 diabetes, rheumatoid arthritis, and multiple sclerosis.

As a key cytokine in immune communication, IL2 bridges innate and adaptive responses, coordinating activation, tolerance, and memory formation. NSJ Bioreagents provides a validated IL2 antibody optimized for ELISA, western blot, and flow cytometry, supporting research into cytokine signaling, immune activation, and therapeutic development.

Application Notes

Optimal dilution of the IL2 antibody should be determined by the researcher.

Immunogen

E.coli-derived human IL2 recombinant protein (Position: M1-T153) was used as the immunogen for the IL2 antibody.

Storage

After reconstitution, the IL2 antibody can be stored for up to one month at 4oC. For long-term, aliquot and store at -20oC. Avoid repeated freezing and thawing.

Cross
Bulk Quote Request Form
Name*:
Organization*:
Email*:
Phone Number*:
Catalog No.*:
Comments and Specifics(amount, formulation, etc.)*:
Validation code: Captchapackage Image


Can't read the image? click here to refresh.
    *required field

Your bulk quote request has been submitted successfully!

Please contact us if you have any questions.