• Tel: 858.663.9055
  • SeparatorEmail: info@nsjbio.com
  • Tel: 858.663.9055
  • Email: info@nsjbio.com
Home >> Antibodies >> IL18R1 Antibody / Interleukin 18 receptor alpha

IL18R1 Antibody / Interleukin 18 receptor alpha [clone IL18R1/7591] (V4902)

  Catalog No Formulation Size Price (USD)  
Image V4902-100UG 0.2 mg/ml in 1X PBS with 0.1 mg/ml BSA (US sourced), 0.05% sodium azide 100 ug 559
Image
V4902-20UG 0.2 mg/ml in 1X PBS with 0.1 mg/ml BSA (US sourced), 0.05% sodium azide 20 ug 259
Image
V4902SAF-100UG 1 mg/ml in 1X PBS; BSA free, sodium azide free 100 ug 559
Bulk quote request
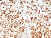
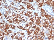
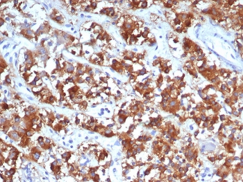
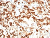
IHC staining of FFPE human adrenal gland tissue with IL18R1 antibody (clone IL18R1/7591). HIER: boil tissue sections in pH 9 10mM Tris with 1mM EDTA for 20 min and allow to cool before testing.
SDS-PAGE analysis of purified, BSA-free IL18R1 antibody (clone IL18R1/7591) as confirmation of integrity and purity.
Availability 1-3 business days
Species Reactivity Human
Format Purified
Host Mouse
Clonality Monoclonal (mouse origin)
Isotype Mouse IgG1, kappa
Clone Name IL18R1/7591
Purity Protein A/G affinity
UniProt Q13478
Localization Membrane
Applications Immunohistochemistry (FFPE) : 1-2ug/ml for 30 min at RT
Limitations This IL18R1 antibody is available for research use only.
Review this product on BioCompare and get a $20 Amazon gift card

Related Products

Description

Interleukin-18 (IL-18) has been identified as a molecule that induces IFN-Gamma production and enhances NK cell cytotoxicity. IL-18 receptor (IL-18R) is a type I membrane protein present in lung, leukocytes, spleen, liver, thymus, prostate, small intestine, colon, placenta and heart, and absent from brain, skeletal muscle, pancreas and kidney. IL-18R is present in Hodgkin s disease cell lines, and does not bind IL-1Alpha or IL-1beta. The association of IL-18 to IL-18R leads to activation of NFkB. At present two subunits of IL-18R have been characterized: IL-18RAlpha and IL-18Rbeta. IL-18RAlpha has been described as the ligand-binding chain and IL-18Rbeta as the signal-transduction chain.

Application Notes

Optimal dilution of the IL18R1 antibody should be determined by the researcher.

Immunogen

A recombinant partial protein sequence (within amino acids 1-200) from the human protein was used as the immunogen for the IL18R1 antibody.

Storage

Aliquot the IL18R1 antibody and store frozen at -20oC or colder. Avoid repeated freeze-thaw cycles.

Cross
Bulk Quote Request Form
Name*:
Organization*:
Email*:
Phone Number*:
Catalog No.*:
Comments and Specifics(amount, formulation, etc.)*:
Validation code: Captchapackage Image


Can't read the image? click here to refresh.
    *required field

Your bulk quote request has been submitted successfully!

Please contact us if you have any questions.