• Tel: 858.663.9055
  • SeparatorEmail: info@nsjbio.com
  • Tel: 858.663.9055
  • Email: info@nsjbio.com
Home >> Antibodies >> IL12RB2 Antibody

IL12RB2 Antibody (F54552)

  Catalog No Formulation Size Price (USD)  
Image F54552-0.4ML In 1X PBS, pH 7.4, with 0.09% sodium azide 0.4 ml 439
Image
F54552-0.08ML In 1X PBS, pH 7.4, with 0.09% sodium azide 0.08 ml 205
Bulk quote request
Western blot testing of human MDA-MB-435 cell lysate with IL12RB2 antibody. Predicted molecular weight ~97 kDa.
Western blot testing of human 1) ThP-1, 2) A431, 3) Jurkat and 4) MOLT4 cell lysate with IL12RB2 antibody. Predicted molecular weight ~97 kDa.
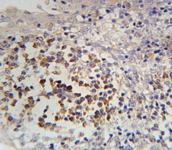
IHC testing of FFPE human tonsil tissue with IL12RB2 antibody. HIER: steam section in pH6 citrate buffer for 20 min and allow to cool prior to staining.
Flow cytometry testing of fixed and permeabilized human A431 cells with IL12RB2 antibody; Blue=isotype control, Green= IL12RB2 antibody.
Availability 1-3 business days
Species Reactivity Human
Format Purified
Host Rabbit
Clonality Polyclonal (rabbit origin)
Isotype Rabbit Ig
Purity Antigen affinity purified
UniProt Q99665
Applications Immunohistochemistry (FFPE) : 1:25
Western Blot : 1:500-1:2000
Flow Cytometry : 1:25 (1x10e6 cells)
Limitations This IL12RB2 antibody is available for research use only.
Review this product on BioCompare and get a $20 Amazon gift card

Description

The protein encoded by this gene is a type I transmembrane protein identified as a subunit of the interleukin 12 receptor complex. The coexpression of this and IL12RB1 proteins was shown to lead to the formation of high-affinity IL12 binding sites and reconstitution of IL12 dependent signaling. The expression of this gene is up-regulated by interferon gamma in Th1 cells, and plays a role in Th1 cell differentiation. The up-regulation of this gene is found to be associated with a number of infectious diseases, such as Crohn's disease and leprosy, which is thought to contribute to the inflammatory response and host defense.

Application Notes

The stated application concentrations are suggested starting points. Titration of the IL12RB2 antibody may be required due to differences in protocols and secondary/substrate sensitivity.

Immunogen

A portion of amino acids 756-783 from the human protein was used as the immunogen for the IL12RB2 antibody.

Storage

Aliquot the IL12RB2 antibody and store frozen at -20oC or colder. Avoid repeated freeze-thaw cycles.

Cross
Bulk Quote Request Form
Name*:
Organization*:
Email*:
Phone Number*:
Catalog No.*:
Comments and Specifics(amount, formulation, etc.)*:
Validation code: Captchapackage Image


Can't read the image? click here to refresh.
    *required field

Your bulk quote request has been submitted successfully!

Please contact us if you have any questions.