• Tel: 858.663.9055
  • SeparatorEmail: info@nsjbio.com
  • Tel: 858.663.9055
  • Email: info@nsjbio.com
Home >> Antibodies >> IL12 p35 Antibody / IL12A

IL12 p35 Antibody / IL12A (RQ4058)

  Catalog No Formulation Size Price (USD)  
Image RQ4058 0.5mg/ml if reconstituted with 0.2ml sterile DI water 100 ug 449
Bulk quote request
Western blot testing of human 1) HeLa and 2) SW620 cell lysate with IL12 p35 antibody at 0.5ug/ml. Predicted molecular weight ~25 kDa (unmodified), ~35 kDa (glycosylated).
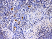
IHC testing of FFPE mouse spleen tissue with IL12 p35 antibody at 1ug/ml. Required HIER: steam section in pH6 citrate buffer for 20 min and allow to cool prior to testing.
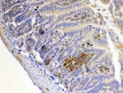
IHC testing of FFPE mouse small intestine tissue with IL12 p35 antibody at 1ug/ml. Required HIER: steam section in pH6 citrate buffer for 20 min and allow to cool prior to testing.
Availability 1-3 business days
Species Reactivity Human, Mouse, Rat
Format Antigen affinity purified
Host Rabbit
Clonality Polyclonal (rabbit origin)
Isotype Rabbit IgG
Purity Antigen affinity purified
Buffer Lyophilized from 1X PBS with 2% Trehalose
UniProt Q9R103
Localization Cytoplasmic, secreted
Applications Western Blot : 0.5-1ug/ml
Immunohistochemistry (FFPE) : 1-2ug/ml
Direct ELISA : 0.1-0.5ug/ml
Limitations This IL12 p35 antibody is available for research use only.
Review this product on BioCompare and get a $20 Amazon gift card

Related Products

  • Applications : FACS, WB, IHC, ELISA
    Reactivity : Human

Description

Interleukin-12 subunit alpha (IL-12 p35) is a protein that in humans is encoded by the IL12A gene. This gene encodes a subunit of a cytokine that acts on T and natural killer cells, and has a broad array of biological activities. The cytokine is a disulfide-linked heterodimer composed of the 35-kD subunit encoded by this gene, and a 40-kD subunit that is a member of the cytokine receptor family. This cytokine is required for the T-cell-independent induction of interferon (IFN)-gamma, and is important for the differentiation of both Th1 and Th2 cells. The responses of lymphocytes to this cytokine are mediated by the activator of transcription protein STAT4. Nitric oxide synthase 2A (NOS2A/NOS2) is found to be required for the signaling process of this cytokine in innate immunity.

Application Notes

Optimal dilution of the IL12 p35antibody should be determined by the researcher.

Immunogen

A recombinant rat partial protein corresponding to amino acids R23-S215 was used as the immunogen for the IL12 p35antibody.

Storage

After reconstitution, the IL12 p35 antibody can be stored for up to one month at 4oC. For long-term, aliquot and store at -20oC. Avoid repeated freezing and thawing.

Cross
Bulk Quote Request Form
Name*:
Organization*:
Email*:
Phone Number*:
Catalog No.*:
Comments and Specifics(amount, formulation, etc.)*:
Validation code: Captchapackage Image


Can't read the image? click here to refresh.
    *required field

Your bulk quote request has been submitted successfully!

Please contact us if you have any questions.