• Tel: 858.663.9055
  • SeparatorEmail: info@nsjbio.com
  • Tel: 858.663.9055
  • Email: info@nsjbio.com
Home >> Antibodies >> IL-33 Antibody / Interleukin 33

IL-33 Antibody / Interleukin 33 (R32819)

  Catalog No Formulation Size Price (USD)  
Image R32819 0.5mg/ml if reconstituted with 0.2ml sterile DI water 100 ug 449
Bulk quote request
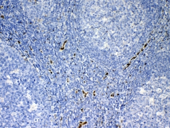
Immunohistochemical staining of human tonsil tissue using IL-33 antibody. Staining was performed with an HRP-conjugated secondary antibody and DAB substrate, with hematoxylin counterstaining. Staining is observed in scattered cells within lymphoid regions. Required HIER: steam section in pH6 citrate buffer for 20 min and allow to cool prior to testing.
Western blot testing of recombinant human partial protein with IL-33 antibody at 0.5ug/ml.
Availability 1-3 business days
Species Reactivity Human
Format Antigen affinity purified
Host Rabbit
Clonality Polyclonal (rabbit origin)
Isotype Rabbit IgG
Purity Antigen affinity
Buffer Lyophilized from 1X PBS with 2.5% BSA, 0.025% sodium azide
UniProt O95760
Applications Western Blot : 0.5-1ug/ml
IHC (FFPE) : 1-2ug/ml
ELISA (Capture; Recombinant Human Protein) : 0.1-0.5ug/ml (BSA-free formulation available)
Limitations This IL-33 antibody is available for research use only.
Review this product on BioCompare and get a $20 Amazon gift card

Related Products

  • Applications : WB
    Reactivity : Mouse
    Recrabbitmono
  • Applications : WB, ELISA
    Reactivity : Human
  • Applications : WB, ELISA (peptide)
    Reactivity : Human
  • Applications : WB, IHC-P, ELISA (capture)
    Reactivity : Mouse, Rat
  • Applications : WB, IHC-P, ELISA
    Reactivity : Mouse, Rat

Description

IL-33 antibody targets Interleukin 33, encoded by the IL33 gene. Interleukin 33 is a cytokine of the IL-1 family with distinctive biological behavior that bridges immune signaling and tissue homeostasis. Unlike many inducible cytokines, IL-33 is constitutively expressed in the nuclei of non-hematopoietic cells, particularly epithelial and endothelial cells, where it associates with chromatin under resting conditions. This nuclear localization reflects a regulatory role in maintaining tissue integrity and preventing inappropriate immune activation in the absence of damage.

Functionally, Interleukin 33 acts as a damage-associated molecular pattern that is released following cellular injury, necrosis, or mechanical stress. Once liberated into the extracellular space, IL-33 binds to its cognate receptor ST2 in combination with the IL-1 receptor accessory protein, initiating downstream signaling cascades that activate NF-kappaB and MAPK pathways. This signaling promotes rapid immune activation, particularly in innate immune cells, linking tissue disruption to inflammatory and repair responses. An IL-33 antibody supports research focused on alarmin signaling and early immune activation mechanisms.

IL33 expression is prominent at barrier surfaces such as the gastrointestinal tract, respiratory epithelium, and skin, where tissues are frequently exposed to environmental stressors. In these locations, IL-33 functions as an early warning molecule that rapidly mobilizes immune cells upon injury or infection. Stromal cells, fibroblasts, and vascular endothelial cells are major sources of IL-33, highlighting its role in coordinating communication between structural tissues and the immune system. This strategic expression pattern allows IL-33 to regulate immune responses at sites most vulnerable to damage.

From a disease-relevance perspective, Interleukin 33 has been implicated in a broad range of inflammatory and immune-mediated conditions. Enhanced IL-33 signaling has been associated with allergic inflammation, asthma, inflammatory bowel disease, and fibrotic disorders, reflecting its ability to amplify type 2 immune pathways. IL-33 has also been studied in cardiovascular disease, neuroinflammation, and cancer, where it may influence immune cell recruitment and tissue remodeling within affected microenvironments. These diverse roles have positioned IL-33 as a key molecule in studies of inflammation-driven pathology and tissue repair dynamics.

At the molecular level, IL-33 is produced as a protein of approximately 30 to 33 kDa and lacks a conventional signal peptide, consistent with its release through non-classical secretion pathways. Full-length IL-33 is biologically active, and proteolytic processing by extracellular enzymes can generate shorter fragments with altered potency. These features distinguish IL-33 from many other cytokines within the IL-1 family. An IL-33 antibody supports research applications focused on inflammation, tissue injury responses, and immune regulation, with NSJ Bioreagents providing reagents intended for research use.

Application Notes

Optimal dilution of the IL-33 antibody should be determined by the researcher.

Immunogen

A recombinant human protein corresponding to amino acids A95-T270 was used as the immunogen for the IL-33 antibody.

Storage

After reconstitution, the IL-33 antibody can be stored for up to one month at 4oC. For long-term, aliquot and store at -20oC. Avoid repeated freezing and thawing.

Cross
Bulk Quote Request Form
Name*:
Organization*:
Email*:
Phone Number*:
Catalog No.*:
Comments and Specifics(amount, formulation, etc.)*:
Validation code: Captchapackage Image


Can't read the image? click here to refresh.
    *required field

Your bulk quote request has been submitted successfully!

Please contact us if you have any questions.