• Tel: 858.663.9055
  • SeparatorEmail: info@nsjbio.com
  • Tel: 858.663.9055
  • Email: info@nsjbio.com
Home >> Antibodies >> IL-18 Antibody

IL-18 Antibody (R31447)

  Catalog No Formulation Size Price (USD)  
Image R31447 0.5mg/ml if reconstituted with 0.2ml sterile DI water 100 ug 449
Bulk quote request
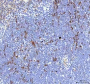
IHC staining of FFPE rat spleen tissue with IL-18 antibody. HIER: boil tissue sections in pH8 EDTA for 20 min and allow to cool before testing.
IHC staining of FFPE mouse spleen tissue with IL-18 antibody. HIER: boil tissue sections in pH8 EDTA for 20 min and allow to cool before testing.
Western blot testing of mouse spleen tissue lysate with IL-18 antibody. Predicted molecular weight: 17~24 kDa.
Western blot testing of 1) recombinant mouse IL-18 protein, 2) rat PC-12, 3) rat C6, 4) mouse RAW264.7, 5) mouse ANA-1, 6) mouse J774.1 and 7) mouse ID8 cell lysate using IL-18 antibody. Predicted molecular weight is ~22 kDa. A predominant band is observed at ~20 kDa, consistent with mature IL-18 generated by proteolytic processing, with a faint slightly lower band present in some samples that may reflect additional processing heterogeneity.
IHC staining of FFPE mouse lung tissue with IL-18 antibody. HIER: boil tissue sections in pH8 EDTA for 20 min and allow to cool before testing.
Availability 1-3 business days
Species Reactivity Rat, Mouse
Format Antigen affinity purified
Host Rabbit
Clonality Polyclonal (rabbit origin)
Isotype Rabbit IgG
Purity Antigen affinity
Buffer Lyophilized from 1X PBS with 2% Trehalose and 0.005% sodium azide
Gene ID 29197
Applications Western Blot : 0.5-1ug/ml
Immunohistochemistry (FFPE) : 2-5ug/ml
Limitations This IL-18 antibody is available for research use only.
Review this product on BioCompare and get a $20 Amazon gift card

Related Products

Description

IL-18 antibody targets Interleukin 18, encoded by the IL18 gene. Interleukin 18 is a pro-inflammatory cytokine that belongs to the IL-1 family and plays a key role in coordinating innate and adaptive immune responses. IL-18 is produced by a variety of cell types, including macrophages, dendritic cells, epithelial cells, and endothelial cells, and is synthesized as an inactive precursor that requires proteolytic processing for full activity. It is primarily localized in the cytoplasm prior to activation and release, positioning it as a tightly regulated mediator of immune signaling.

Functionally, Interleukin 18 is best known for its ability to induce interferon gamma production, particularly in natural killer cells and T lymphocytes. Through this activity, IL-18 promotes type 1 immune responses and enhances cytotoxic immune functions. IL-18 acts synergistically with other cytokines, such as IL-12 and IL-15, to amplify inflammatory signaling and immune cell activation. An IL-18 antibody supports studies focused on cytokine-driven immune regulation and inflammatory pathway interactions.

IL18 expression is constitutive in many tissues but is functionally controlled through post-translational processing. The inactive pro-IL-18 precursor is cleaved by caspase-1 following inflammasome activation, generating the mature, biologically active cytokine. This mechanism links IL-18 activity to innate immune sensing of infection, cellular stress, and tissue damage. As a result, IL-18 serves as an important downstream effector of inflammasome signaling pathways.

From a disease-relevance perspective, dysregulated IL-18 signaling has been implicated in a wide range of inflammatory and immune-mediated disorders. Elevated IL-18 levels have been associated with autoimmune diseases, chronic inflammatory conditions, metabolic disorders, and cardiovascular disease. IL-18 has also been studied in infectious disease and cancer, where it can influence immune surveillance, inflammation, and tissue remodeling. These diverse roles make IL-18 a molecule of interest in studies of immune imbalance and inflammation-associated pathology.

At the molecular level, Interleukin 18 is synthesized as a precursor protein of approximately 24 kDa, while the mature active form migrates at approximately 18-20 kDa following proteolytic processing. IL-18 lacks a classical secretion signal peptide and is released through non-conventional pathways associated with inflammasome activation. An IL-18 antibody supports research applications focused on innate immunity, cytokine signaling, and inflammatory disease research, with NSJ Bioreagents providing reagents intended for research use.

Application Notes

The stated application concentrations are suggested starting amounts. Titration of the IL-18 antibody may be required due to differences in protocols and secondary/substrate sensitivity.

Immunogen

Rat partial recombinant protein (AA 37-194) was used as the immunogen for this IL-18 antibody.

Storage

After reconstitution, the IL-18 antibody can be stored for up to one month at 4oC. For long-term, aliquot and store at -20oC. Avoid repeated freezing and thawing.

Cross
Bulk Quote Request Form
Name*:
Organization*:
Email*:
Phone Number*:
Catalog No.*:
Comments and Specifics(amount, formulation, etc.)*:
Validation code: Captchapackage Image


Can't read the image? click here to refresh.
    *required field

Your bulk quote request has been submitted successfully!

Please contact us if you have any questions.