• Tel: 858.663.9055
  • SeparatorEmail: info@nsjbio.com
  • Tel: 858.663.9055
  • Email: info@nsjbio.com
Home >> Antibodies >> IL-18 Antibody

IL-18 Antibody [clone IL18/7781] (V4196)

  Catalog No Formulation Size Price (USD)  
Image V4196-100UG 0.2 mg/ml in 1X PBS with 0.1 mg/ml BSA (US sourced), 0.05% sodium azide 100 ug 539
Image
V4196-20UG 0.2 mg/ml in 1X PBS with 0.1 mg/ml BSA (US sourced), 0.05% sodium azide 20 ug 249
Image
V4196SAF-100UG 1 mg/ml in 1X PBS; BSA free, sodium azide free 100 ug 539
Bulk quote request
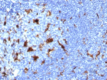
IHC staining of FFPE human lymph node tissue with IL-18 antibody (clone IL18/7781) at 2ug/ml. HIER: boil tissue sections in pH 9 10mM Tris with 1mM EDTA for 20 min and allow to cool before testing.
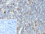
IHC staining of FFPE human tonsil tissue with IL-18 antibody (clone IL18/7781) at 2ug/ml. Inset: PBS used in place of primary Ab (secondary Ab negative control). HIER: boil tissue sections in pH 9 10mM Tris with 1mM EDTA for 20 min and allow to cool before testing.
Western blot testing of human A549 cell lysate with IL-18 antibody. Predicted molecular weight ~22 kDa.
Availability 1-3 business days
Species Reactivity Human
Format Purified
Clonality Monoclonal (mouse origin)
Isotype Mouse IgG2, kappa
Clone Name IL18/7781
Purity Protein A/G affinity
UniProt Q14116
Localization Secreted
Applications Immunohistochemistry (FFPE) : 1-2ug/ml for 30 min at RT
Western Blot : 2-4ug/ml
Limitations This IL-18 antibody is available for research use only.
Review this product on BioCompare and get a $20 Amazon gift card

Related Products

  • Applications : IHC-P, WB
    Reactivity : Human
    Microvalidated
  • Applications : IHC-P
    Reactivity : Human
    Microvalidated
  • Applications : IHC-P, WB
    Reactivity : Human
    Microvalidated
  • Applications : IHC-P, WB
    Reactivity : Human
    Microvalidated
  • Applications : IHC-P
    Reactivity : Human
  • Applications : WB, IHC-P, ELISA (protein)
    Reactivity : Mouse
  • Applications : WB
    Reactivity : Human
  • Applications : WB, IHC-P
    Reactivity : Human
  • Applications : WB, FACS, IHC-P
    Reactivity : Rat, Mouse
  • Applications : WB
    Reactivity : Mouse
  • Applications : WB, ELISA (peptide)
    Reactivity : Human

Description

Four structurally related IL-1 receptor ligands have been described. These include three agonists designated IL-1Alpha, IL-1beta and IL-1gamma/IL-18 and a specific receptor antagonist, IL-1RAlpha. IL-1Alpha and IL-1beta play critical roles in the regulation of the immune response and inflammation, serving as activators of T and B lymphocytes and NK (natural killer) cells. IL-18 (also referred to as IL-1gamma) has been shown to augment the secretion of IFN-gamma from T lymphocytes and increase NK cell activity in spleen cells. IL-18 exhibits 19% and 12% identity with IL-1Alpha and IL-1beta respectively over the 12 beta-strands of the beta-trefoil fold domain, which is a signature feature of the IL-1 family. The unusual leader sequence of IL-18 may be analogous to the IL-1beta pro-domain which must be cleaved by the serine protease ICE for optimal secretion and biological activity. Originally described as IGIF (IFN-gamma-inducing factor), IL-18 is induced by mouse liver subsequent to challenge with lipopolysaccharide (LPS).

Application Notes

Optimal dilution of the IL-18 antibody should be determined by the researcher.

Immunogen

A recombinant partial protein (within amino acids 1-193) from the human protein was used as the immunogen for the IL-18 antibody.

Storage

Aliquot the IL-18 antibody and store frozen at -20oC or colder. Avoid repeated freeze-thaw cycles.

Cross
Bulk Quote Request Form
Name*:
Organization*:
Email*:
Phone Number*:
Catalog No.*:
Comments and Specifics(amount, formulation, etc.)*:
Validation code: Captchapackage Image


Can't read the image? click here to refresh.
    *required field

Your bulk quote request has been submitted successfully!

Please contact us if you have any questions.