• Tel: 858.663.9055
  • SeparatorEmail: info@nsjbio.com
  • Tel: 858.663.9055
  • Email: info@nsjbio.com
Home >> Antibodies >> IL-18 Antibody

IL-18 Antibody [clone IL18/4626] (V4199)

  Catalog No Formulation Size Price (USD)  
Image V4199-100UG 0.2 mg/ml in 1X PBS with 0.1 mg/ml BSA (US sourced), 0.05% sodium azide 100 ug 539
Image
V4199-20UG 0.2 mg/ml in 1X PBS with 0.1 mg/ml BSA (US sourced), 0.05% sodium azide 20 ug 249
Image
V4199SAF-100UG 1 mg/ml in 1X PBS; BSA free, sodium azide free 100 ug 539
Microvalidated
Bulk quote request
Analysis of a HuProt(TM) microarray containing more than 19,000 full-length human proteins using IL-18 antibody (clone IL18/4626). Z- and S- Score: The Z-score represents the strength of a signal that a monoclonal antibody (in combination with a fluorescently-tagged anti-IgG secondary antibody) produces when binding to a particular protein on the HuProt(TM) array. Z-scores are described in units of standard deviations (SD's) above the mean value of all signals generated on that array. If targets on HuProt(TM) are arranged in descending order of the Z-score, the S-score is the difference (also in units of SD's) between the Z-score. S-score therefore represents the relative target specificity of a mAb to its intended target. A mAb is considered to specific to its intended target, if the mAb has an S-score of at least 2.5. For example, if a mAb binds to protein X with a Z-score of 43 and to protein Y with a Z-score of 14, then the S-score for the binding of that mAb to protein X is equal to 29.
SDS-PAGE analysis of purified, BSA-free IL-18 antibody (clone IL18/4626) as confirmation of integrity and purity.
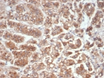
IHC staining of FFPE human adrenal gland tissue with IL-18 antibody (clone IL18/4626). HIER: boil tissue sections in pH 9 10mM Tris with 1mM EDTA for 20 min and allow to cool before testing.
Western blot testing of human A549 cell lysate with IL-18 antibody. Predicted molecular weight ~22 kDa.
Availability 1-3 business days
Species Reactivity Human
Format Purified
Clonality Monoclonal (mouse origin)
Isotype Mouse IgG2, kappa
Clone Name IL18/4626
Purity Protein A/G affinity
UniProt Q14116
Localization Secreted
Applications Immunohistochemistry (FFPE) : 1-2ug/ml for 30 minutes at RT
Western Blot : 2-4ug/ml
Limitations This IL-18 antibody is available for research use only.
Review this product on BioCompare and get a $20 Amazon gift card

Related Products

  • Applications : IHC-P, WB
    Reactivity : Human
    Microvalidated
  • Applications : IHC-P
    Reactivity : Human
    Microvalidated
  • Applications : IHC-P, WB
    Reactivity : Human
    Microvalidated
  • Applications : IHC-P, WB
    Reactivity : Human
  • Applications : IHC-P
    Reactivity : Human
  • Applications : WB, IHC-P, ELISA (protein)
    Reactivity : Mouse
  • Applications : WB
    Reactivity : Human
  • Applications : WB, IHC-P
    Reactivity : Human
  • Applications : WB, FACS, IHC-P
    Reactivity : Rat, Mouse
  • Applications : WB
    Reactivity : Mouse
  • Applications : WB, ELISA (peptide)
    Reactivity : Human

Description

Four structurally related IL-1 receptor ligands have been described. These include three agonists designated IL-1Alpha, IL-1beta and IL-1gamma/IL-18 and a specific receptor antagonist, IL-1RAlpha. IL-1Alpha and IL-1beta play critical roles in the regulation of the immune response and inflammation, serving as activators of T and B lymphocytes and NK (natural killer) cells. IL-18 (also referred to as IL-1gamma) has been shown to augment the secretion of IFN-gamma from T lymphocytes and increase NK cell activity in spleen cells. IL-18 exhibits 19% and 12% identity with IL-1Alpha and IL-1beta respectively over the 12 beta-strands of the beta-trefoil fold domain, which is a signature feature of the IL-1 family. The unusual leader sequence of IL-18 may be analogous to the IL-1beta pro-domain which must be cleaved by the serine protease ICE for optimal secretion and biological activity. Originally described as IGIF (IFN-gamma-inducing factor), IL-18 is induced by mouse liver subsequent to challenge with lipopolysaccharide (LPS).

Application Notes

Optimal dilution of the IL-18 antibody should be determined by the researcher.

Immunogen

A recombinant partial protein (within amino acids 1-193) from the human protein was used as the immunogen for the IL-18 antibody.

Storage

Aliquot the IL-18 antibody and store frozen at -20oC or colder. Avoid repeated freeze-thaw cycles.

Cross
Bulk Quote Request Form
Name*:
Organization*:
Email*:
Phone Number*:
Catalog No.*:
Comments and Specifics(amount, formulation, etc.)*:
Validation code: Captchapackage Image


Can't read the image? click here to refresh.
    *required field

Your bulk quote request has been submitted successfully!

Please contact us if you have any questions.