• Tel: 858.663.9055
  • SeparatorEmail: info@nsjbio.com
  • Tel: 858.663.9055
  • Email: info@nsjbio.com
Home >> Antibodies >> IL-1 beta Antibody / IL1B

IL-1 beta Antibody / IL1B [clone IL1B/4649] (V4915)

  Catalog No Formulation Size Price (USD)  
Image V4915-100UG 0.2 mg/ml in 1X PBS with 0.1 mg/ml BSA (US sourced), 0.05% sodium azide 100 ug 559
Image
V4915-20UG 0.2 mg/ml in 1X PBS with 0.1 mg/ml BSA (US sourced), 0.05% sodium azide 20 ug 259
Image
V4915SAF-100UG 1 mg/ml in 1X PBS; BSA free, sodium azide free 100 ug 559
Bulk quote request
Analysis of a HuProt(TM) microarray containing more than 19,000 full-length human proteins using Interleukin-1 beta antibody (clone IL1B/4649). Z- and S- Score: The Z-score represents the strength of a signal that a monoclonal antibody (in combination with a fluorescently-tagged anti-IgG secondary antibody) produces when binding to a particular protein on the HuProt(TM) array. Z-scores are described in units of standard deviations (SD's) above the mean value of all signals generated on that array. If targets on HuProt(TM) are arranged in descending order of the Z-score, the S-score is the difference (also in units of SD's) between the Z-score. S-score therefore represents the relative target specificity of a mAb to its intended target. A mAb is considered to specific to its intended target, if the mAb has an S-score of at least 2.5. For example, if a mAb binds to protein X with a Z-score of 43 and to protein Y with a Z-score of 14, then the S-score for the binding of that mAb to protein X is equal to 29.
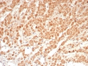
IHC staining of FFPE human adrenal gland tissue with Interleukin-1 Beta (IL-1B) antibody (clone IL1B/4649). HIER: boil tissue sections in pH 9 10mM Tris with 1mM EDTA for 20 min and allow to cool before testing.
SDS-PAGE analysis of purified, BSA-free Interleukin-1 Beta (IL-1B) antibody (clone IL1B/4649) as confirmation of integrity and purity.
Availability 1-3 business days
Species Reactivity Human
Format Purified
Host Mouse
Clonality Monoclonal (mouse origin)
Isotype Mouse IgG2, kappa
Clone Name IL1B/4649
Purity Protein A/G affinity
UniProt P01584
Localization Cytoplasm, Extracellular (secreted)
Applications ELISA (Order BSA-free Format For Coating) :
Immunohistochemistry (FFPE) : 1-2ug/ml for 30 min at RT
Limitations This IL1B antibody is available for research use only.
Review this product on BioCompare and get a $20 Amazon gift card

Related Products

Description

Recognizes a protein of 17-31kDa, identified as interleukin 1beta. It shows no cross-reaction with interleukin 1alpha. Epitopes of mAb IL1B/463 and IL1B/4649 are different and provide a good pair for developing an ELISA. This cytokine is produced by activated macrophages as a proprotein, which is proteolytically processed to its active form by caspase 1 (CASP1/ICE). This cytokine is an important mediator of the inflammatory response, and is involved in a variety of cellular activities, including cell proliferation, differentiation, and apoptosis. The induction of cyclooxygenase-2 (PTGS2/COX2) by this cytokine in the central nervous system (CNS) is found to contribute to inflammatory pain hypersensitivity. This gene and eight other interleukin 1 family genes form a cytokine gene cluster on chromosome 2.

Application Notes

Optimal dilution of the IL1B antibody should be determined by the researcher.

Immunogen

A recombinant partial protein sequence (within amino acids 100-269) from the human protein was used as the immunogen for the IL1B antibody.

Storage

Aliquot the IL1B antibody and store frozen at -20oC or colder. Avoid repeated freeze-thaw cycles.

Cross
Bulk Quote Request Form
Name*:
Organization*:
Email*:
Phone Number*:
Catalog No.*:
Comments and Specifics(amount, formulation, etc.)*:
Validation code: Captchapackage Image


Can't read the image? click here to refresh.
    *required field

Your bulk quote request has been submitted successfully!

Please contact us if you have any questions.