• Tel: 858.663.9055
  • SeparatorEmail: info@nsjbio.com
  • Tel: 858.663.9055
  • Email: info@nsjbio.com
Home >> Antibodies >> IL-1 Antibody / IL1A / Interleukin 1 alpha

IL-1 Antibody / IL1A / Interleukin 1 alpha (F49920)

  Catalog No Formulation Size Price (USD)  
Image F49920-0.4ML In 1X PBS, pH 7.4, with 0.09% sodium azide 0.4 ml 439
Image
F49920-0.08ML In 1X PBS, pH 7.4, with 0.09% sodium azide 0.08 ml 205
Bulk quote request
IL-1 antibody flow cytometry analysis of NCI-H460 cells (bottom histogram) compared to a negative control (top histogram). FITC-conjugated goat-anti-rabbit secondary Ab was used for the analysis.
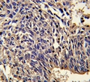
IHC analysis of FFPE human lung carcinoma stained with IL-1 antibody
Western blot analysis of IL-1 antibody and HepG2 lysate. Predicted molecular weight of IL1A: 31 kDa precursor and 17 kDa mature.
Availability 1-3 business days
Species Reactivity Human
Format Antigen affinity purified
Host Rabbit
Clonality Polyclonal (rabbit origin)
Isotype Rabbit Ig
Purity Antigen affinity
UniProt P01583
Applications Western Blot : 1:1000
IHC (Paraffin) : 1:50-1:100
Flow Cytometry : 1:10-1:50
Limitations This IL-1 antibody is available for research use only.
Review this product on BioCompare and get a $20 Amazon gift card

Related Products

Description

Interleukin-1 antibody (IL1A) detects Interleukin-1 alpha, the UniProt recommended name for this proinflammatory cytokine, also known as IL-1, IL-1A, or hematopoietin 1. Interleukin-1 alpha belongs to the IL-1 family of cytokines, a group of secreted and membrane-associated proteins that serve as central regulators of immune activation, inflammation, and tissue remodeling. IL1A is synthesized as a 31 kDa precursor that contains both a propiece and a mature cytokine domain. Unlike several other cytokines, IL1A can function in multiple forms, including its precursor, its membrane-associated form, and its fully processed mature form. These characteristics allow IL1A to act as an early alarm signal during cellular injury, infection, or stress.

IL1A is encoded by the IL1A gene located on chromosome 2q14 within a cytokine cluster that includes IL1B and IL1RN. Its expression is strongly induced by pathogen-associated or damage-associated molecular patterns, transcriptionally regulated by NF-kB, AP-1, and diverse stress-responsive pathways. IL1A can be rapidly released following necrosis, functioning as an alarmin that alerts surrounding cells to tissue disruption. In contrast, during apoptosis, IL1A is typically retained within the dying cell, highlighting the evolutionary distinction between immunologically silent cell death and inflammatory cell death. This difference contributes to the innate immune system's ability to discriminate between physiologic and pathologic forms of cell turnover.

At the cellular level, IL1A is produced by a broad range of cell types, including epithelial cells, keratinocytes, fibroblasts, endothelial cells, macrophages, and stromal cells. Its distribution underscores its role as a first-line initiator of local inflammatory responses. The pro-cytokine can localize to the nucleus, cytoplasm, or plasma membrane, with each compartment contributing to distinct biological effects. Nuclear localization may influence transcriptional programs, while membrane-associated IL1A can stimulate cells in direct contact. Mature IL1A released extracellularly binds to the interleukin-1 receptor type 1 (IL-1R1), forming a receptor complex that activates downstream signaling pathways such as MyD88, IRAK kinases, MAPKs, and NF-kB. These pathways coordinate the expression of adhesion molecules, chemokines, cytokines, and enzymes that amplify inflammatory cascades.

IL1A has well-established roles in fever generation, vasodilation, leukocyte recruitment, and acute-phase signaling. It influences stromal cell activation, myeloid differentiation, tissue regeneration, and extracellular matrix remodeling. In chronic disease settings, IL1A contributes to persistent inflammation, fibrosis, and metabolic disruption. Research has linked IL1A activity to conditions such as rheumatoid arthritis, inflammatory bowel disease, atherosclerosis, diabetes, and tumor-associated inflammation. In cancer biology, IL1A can function in both pro-tumor and anti-tumor contexts, shaping immune infiltration, angiogenesis, and interactions between malignant cells and their microenvironment.

The ability to detect IL1A in tissue or cell preparations supports investigations into inflammation, immune signaling, cytokine biology, and stress responses. An antibody targeting Interleukin-1 alpha can be used in immunohistochemistry, western blot, or other research assays to examine cytokine localization, induction patterns, or regulation under experimental conditions. These general applications are widely used to study pathways governing innate immunity, cell stress adaptation, and host defense. Detecting IL1A provides insight into where inflammatory signals originate and how they propagate through tissue systems.

IL1A biology also intersects with epithelial barrier function and tissue repair. Keratinocytes produce abundant IL1A following ultraviolet exposure or physical injury, initiating cascades that recruit immune cells, promote angiogenesis, and coordinate wound healing. In fibroblasts and endothelial cells, IL1A influences proliferation, adhesion, and extracellular matrix deposition. Because of its involvement in these diverse processes, IL1A is a frequent marker in studies examining the interface between immunity and tissue architecture.

Interleukin-1 antibody (IL1A) supports research into inflammatory signaling, cytokine regulation, and cell type-specific responses to injury or stress. NSJ Bioreagents provides IL-1 antibody validated for use in relevant research applications supporting studies in immune activation, inflammation, and cytokine-driven tissue remodeling.

Application Notes

The stated application concentrations are suggested starting amounts. Titration of the IL-1 antibody may be required due to differences in protocols and secondary/substrate sensitivity.

Immunogen

A portion of amino acids 177-206 from human IL1A was used as the immunogen for this IL-1 antibody.

Storage

Store at 4oC for up to one month. For long term, aliquot the IL-1 antibody and store frozen at -20oC or colder. Avoid repeated freeze-thaw cycles.

Cross
Bulk Quote Request Form
Name*:
Organization*:
Email*:
Phone Number*:
Catalog No.*:
Comments and Specifics(amount, formulation, etc.)*:
Validation code: Captchapackage Image


Can't read the image? click here to refresh.
    *required field

Your bulk quote request has been submitted successfully!

Please contact us if you have any questions.