• Tel: 858.663.9055
  • SeparatorEmail: info@nsjbio.com
  • Tel: 858.663.9055
  • Email: info@nsjbio.com
Home >> Antibodies >> IHH Antibody / Indian hedgehog protein

IHH Antibody / Indian hedgehog protein (FY13441)

  Catalog No Formulation Size Price (USD)  
Image FY13441 Adding 0.2 ml of distilled water will yield a concentration of 500 ug/ml 100 ug 449
Bulk quote request
Immunofluorescence analysis of Indian hedgehog protein using IHH antibody. Indian hedgehog protein expression was examined in a paraffin-embedded section of human liver cancer tissue. Heat-mediated antigen retrieval was performed using EDTA buffer (pH 8.0). Tissue sections were blocked with normal goat serum and incubated with IHH antibody overnight at 4°C. Detection was performed using a Cy3-conjugated secondary antibody, and nuclei were counterstained with DAPI. Fluorescent images were acquired using appropriate filter sets.
Immunohistochemistry analysis of Indian hedgehog protein using IHH antibody. Indian hedgehog protein expression was examined in a paraffin-embedded section of human liver cancer tissue. Heat-mediated antigen retrieval was performed using EDTA buffer (pH 8.0). Tissue sections were blocked with normal goat serum and incubated with IHH antibody overnight at 4°C. Signal was detected using an HRP-based detection system with DAB chromogen, followed by hematoxylin counterstaining.
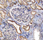
Immunohistochemistry analysis of Indian hedgehog protein using IHH antibody. Indian hedgehog protein expression was examined in a paraffin-embedded section of human kidney tissue. Heat-mediated antigen retrieval was performed using EDTA buffer (pH 8.0). Tissue sections were blocked with normal goat serum and incubated with IHH antibody overnight at 4°C. Immunoreactivity was visualized using an HRP-based detection system with DAB chromogen, followed by hematoxylin counterstaining.
Western blot analysis of Indian hedgehog protein using IHH antibody. Lane 1: human Caco-2 whole cell lysates; Lane 2: human HepG2 whole cell lysates; Lane 3: human SiHa whole cell lysates; Lane 4: rat kidney tissue lysates; Lane 5: mouse small intestine tissue lysates; Lane 6: mouse kidney tissue lysates. A primary band is detected at approximately 45 kDa, consistent with the predicted molecular weight of full-length Indian hedgehog protein. Additional weaker bands observed between 45-50 kDa and at approximately 70 kDa may represent alternative processing states, post-translationally modified forms, or higher-order species commonly reported for hedgehog family proteins. The overall banding pattern is consistent with detection of IHH in human and rodent samples.
Flow cytometry analysis of fixed human RT4 cells with IHH antibody at 1ug/million cells (blocked with goat sera); Red=cells alone, Green=isotype control, Blue= IHH antibody.
Availability 1-2 days
Species Reactivity Human, Mouse, Rat
Format Lyophilized
Host Rabbit
Clonality Polyclonal (rabbit origin)
Isotype Rabbit IgG
Purity Immunogen affinity purified
Buffer Each vial contains 4 mg Trehalose, 0.9 mg NaCl and 0.2 mg Na2HPO4.
UniProt Q14623
Localization Cell membrane, cytoplasm
Applications Western Blot : 0.25-0.5ug/ml
ELISA : 0.1-0.5ug/ml
Immunohistochemistry : 2-5ug/ml
Immunofluorescence : 5ug/ml
Flow Cytometry : 1-3ug/million cells
Limitations This IHH antibody is available for research use only.
Review this product on BioCompare and get a $20 Amazon gift card

Related Products

Description

IHH antibody targets Indian hedgehog protein, encoded by the IHH gene. Indian hedgehog protein is a secreted signaling molecule belonging to the hedgehog family and plays a central role in embryonic development and tissue patterning. IHH is synthesized as a precursor protein that undergoes autocatalytic cleavage to generate an active N-terminal signaling fragment responsible for pathway activation.

Functionally, Indian hedgehog protein regulates cell proliferation and differentiation through activation of the hedgehog signaling pathway. By interacting with Patched receptors and modulating downstream Gli transcription factors, IHH coordinates communication between neighboring cell populations. An IHH antibody supports studies focused on morphogen signaling and developmental regulation.

IHH expression is especially prominent in skeletal tissues, where it is produced by prehypertrophic chondrocytes during bone development. In this context, Indian hedgehog protein governs the balance between cartilage growth and maturation by coordinating feedback signaling with surrounding perichondrial cells. This spatially restricted expression highlights its importance in endochondral ossification.

From a disease-relevance perspective, dysregulation of Indian hedgehog protein signaling has been linked to skeletal abnormalities and growth plate disorders. Aberrant IHH pathway activity has also been examined in cancer and fibrotic disease, where reactivation of developmental signaling contributes to pathological tissue remodeling.

At the molecular level, Indian hedgehog protein undergoes lipid modification that influences secretion, signaling range, and gradient formation. These processing events can affect its apparent behavior in biochemical assays without altering the primary sequence. IHH antibody reagents support research applications focused on developmental biology and hedgehog pathway signaling, with NSJ Bioreagents providing reagents intended for research use.

Application Notes

Optimal dilution of the IHH antibody should be determined by the researcher.

Immunogen

E.coli-derived human Indian hedgehog protein recombinant protein (amino acids D227-A360) was used as the immunogen for the IHH antibody.

Storage

After reconstitution, the IHH antibody can be stored for up to one month at 4oC. For long-term, aliquot and store at -20oC. Avoid repeated freezing and thawing.

Cross
Bulk Quote Request Form
Name*:
Organization*:
Email*:
Phone Number*:
Catalog No.*:
Comments and Specifics(amount, formulation, etc.)*:
Validation code: Captchapackage Image


Can't read the image? click here to refresh.
    *required field

Your bulk quote request has been submitted successfully!

Please contact us if you have any questions.