• Tel: 858.663.9055
  • SeparatorEmail: info@nsjbio.com
  • Tel: 858.663.9055
  • Email: info@nsjbio.com
Home >> Antibodies >> IGSF11 Antibody / Immunoglobulin superfamily member 11

IGSF11 Antibody / Immunoglobulin superfamily member 11 (FY12256)

  Catalog No Formulation Size Price (USD)  
Image FY12256 Adding 0.2 ml of distilled water will yield a concentration of 500 ug/ml 100 ug 449
Bulk quote request
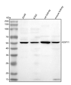
Western blot analysis of IGSF11 using anti-IGSF11 antibody. Lane 1: human whole cell lysates, Lane 2: human K562 whole cell lysates, Lane 3: rat kidney tissue lysates, Lane 4: mouse kidney tissue lysates. After electrophoresis, proteins were transferred to a nitrocellulose membrane at 150 mA for 50-90 minutes. Blocked the membrane with 5% non-fat milk/TBS for 1.5 hour at RT. The membrane was incubated with rabbit anti-IGSF11 antibody at 0.5 ug/ml overnight at 4oC, then washed with TBS-0.1%Tween 3 times with 5 minutes each and probed with a goat anti-rabbit IgG-HRP secondary antibody at a dilution of 1:5000 for 1.5 hour at RT. The signal was developed using enhanced chemiluminescent. A specific band was detected for IGSF11 at approximately 50 kDa. The expected band size for IGSF11 is at 46 kDa.
Availability 1-2 days
Species Reactivity Human, Mouse, Rat
Format Lyophilized
Host Rabbit
Clonality Polyclonal (rabbit origin)
Isotype Rabbit IgG
Purity Immunogen affinity purified
Buffer Each vial contains 4 mg Trehalose, 0.9 mg NaCl, 0.2 mg Na2HPO4.
UniProt Q5DX21
Applications Western Blot : 0.25-0.5ug/ml
ELISA : 0.1-0.5ug/ml
Limitations This IGSF11 antibody is available for research use only.
Review this product on BioCompare and get a $20 Amazon gift card

Description

IGSF11 antibody detects Immunoglobulin superfamily member 11, encoded by the IGSF11 gene on chromosome 3q13.33. IGSF11 antibody is commonly used in neuroscience, immunology, and cancer biology. IGSF11 is a cell adhesion molecule belonging to the immunoglobulin superfamily, characterized by extracellular Ig-like domains, a single transmembrane helix, and a short cytoplasmic tail. It is primarily expressed in brain and testis, with roles in synapse formation, neuronal communication, and cell adhesion in the reproductive system.

Structurally, IGSF11 is a ~55 kDa protein containing two extracellular Ig-like domains that mediate homophilic and heterophilic interactions. These domains enable IGSF11 to participate in cell-cell adhesion, particularly in neurons and germ cells. Alternative splicing generates isoforms with differences in extracellular and cytoplasmic domains, which may influence adhesion properties.

Functionally, IGSF11 contributes to excitatory synapse development in the brain. It interacts with postsynaptic scaffolding proteins, influencing AMPA receptor trafficking and synaptic plasticity. In testes, IGSF11 is expressed in Sertoli cells and germ cells, where it supports spermatogenesis by mediating cell adhesion. Researchers use IGSF11 antibody to study synapse biology, reproductive function, and immune cell adhesion.

Clinically, IGSF11 has been linked to neurological disorders, including autism spectrum disorders, due to its role in synaptic communication. It has also been implicated in cancer, where altered expression influences tumor progression and immune evasion. Because of its testis-enriched expression, IGSF11 has been considered a cancer-testis antigen with potential as an immunotherapy target. NSJ Bioreagents provides IGSF11 antibody for studies in neuroscience, fertility, and oncology.

Experimentally, IGSF11 antibody is applied in western blotting to detect the ~55 kDa protein, in immunohistochemistry to analyze expression in brain and testis, and in immunofluorescence microscopy to study synaptic localization. Co-immunoprecipitation with IGSF11 antibody helps identify interacting partners in synaptic complexes and adhesion pathways.

Application Notes

Optimal dilution of the IGSF11 antibody should be determined by the researcher.

Immunogen

E.coli-derived human IGSF11 recombinant protein (Position: Q69-R378) was used as the immunogen for the IGSF11 antibody.

Storage

After reconstitution, the IGSF11 antibody can be stored for up to one month at 4oC. For long-term, aliquot and store at -20oC. Avoid repeated freezing and thawing.

Cross
Bulk Quote Request Form
Name*:
Organization*:
Email*:
Phone Number*:
Catalog No.*:
Comments and Specifics(amount, formulation, etc.)*:
Validation code: Captchapackage Image


Can't read the image? click here to refresh.
    *required field

Your bulk quote request has been submitted successfully!

Please contact us if you have any questions.