• Tel: 858.663.9055
  • SeparatorEmail: info@nsjbio.com
  • Tel: 858.663.9055
  • Email: info@nsjbio.com
Home >> Antibodies >> IgJ Antibody / Immunoglobulin J Chain and B Cell Differentiation Marker Antibody

IgJ Antibody / Immunoglobulin J Chain and B Cell Differentiation Marker Antibody (F55098)

  Catalog No Formulation Size Price (USD)  
Image F55098-0.4ML In 1X PBS, pH 7.4, with 0.09% sodium azide 0.4 ml 439
Image
F55098-0.08ML In 1X PBS, pH 7.4, with 0.09% sodium azide 0.08 ml 205
Bulk quote request
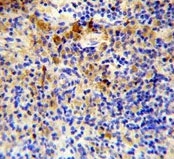
IgJ Antibody Mouse Spleen IHC. Immunohistochemistry of FFPE mouse spleen tissue using IgJ antibody demonstrates focal HRP-DAB brown cytoplasmic staining in scattered lymphoid-associated immune cells, consistent with JCHAIN / IGJ expression in plasma cell and antibody-secreting B cell populations involved in immunoglobulin production and immune differentiation. HIER: steam sections in pH6 citrate buffer for 20 min and allow to cool prior to staining.
IgJ Antibody Mouse Spleen WB. Western blot analysis of mouse spleen tissue lysate using IgJ antibody detects a band near approximately 18 kDa, consistent with the predicted molecular weight of JCHAIN / IGJ, an immunoglobulin-associated protein involved in plasma cell differentiation and polymeric antibody assembly.
IgJ Antibody HL60 FACS. Flow cytometry analysis of fixed and permeabilized human HL60 cells using IgJ antibody demonstrates a clear rightward shift in fluorescence intensity relative to the isotype control, consistent with intracellular detection of JCHAIN / IGJ, an immunoglobulin-associated protein linked to plasma cell differentiation and antibody secretion pathways; blue histogram represents isotype control and green histogram represents IgJ antibody staining.
Availability 1-3 business days
Species Reactivity Human, Mouse
Format Purified
Host Rabbit
Clonality Polyclonal (rabbit origin)
Isotype Rabbit Ig
UniProt P01591
Applications Western Blot : 1:500-1:1000
Immunohistochemistry (FFPE) : 1:50-1:100
Flow Cytometry : 1:10-1:50 per million cells in 0.1ml
Limitations This IgJ Antibody / Immunoglobulin J Chain and B Cell Differentiation Marker Antibody is available for research use only.
Review this product on BioCompare and get a $20 Amazon gift card

Related Products

Description

IgJ, encoded by the JCHAIN gene, is an immunoglobulin-associated polypeptide involved in the assembly of polymeric IgA and pentameric IgM complexes. IgJ functions as a joining component that links immunoglobulin subunits during antibody multimerization and supports secretion of polymeric antibodies across mucosal surfaces. Through these activities, IgJ contributes to antibody-mediated immune defense and mucosal immune protection.

IgJ antibody, also referred to as JCHAIN antibody and Immunoglobulin J chain antibody in the literature, recognizes a protein primarily expressed in plasma cells and terminally differentiated antibody-secreting B lineage cells. Expression of IgJ is closely associated with active immunoglobulin synthesis and plasma cell maturation, making it a useful marker for evaluating secretory immune cell populations and B cell differentiation states.

This IgJ Antibody / Immunoglobulin J Chain and B Cell Differentiation Marker Antibody is uniquely positioned for studies of plasma cell maturation and antibody-producing immune populations. IgJ-positive cells are commonly detected in lymphoid tissues and mucosal-associated immune compartments where active antibody secretion occurs. In tissue-based analyses, IgJ expression is typically observed as cytoplasmic staining within plasma cells engaged in immunoglobulin production.

Expression of IgJ is closely associated with terminal differentiation of antibody-secreting B cells and development of mature plasma cell phenotypes. Increased JCHAIN expression accompanies activation of immunoglobulin synthesis pathways and secretory antibody production within lymphoid and mucosal immune tissues. Because IgJ expression is linked to active antibody secretion, it is frequently used as a marker for identifying plasma cell-enriched immune populations and evaluating B cell maturation states within inflammatory and lymphoid-associated tissue environments.

IgJ-positive plasma cells are commonly detected in mucosal-associated lymphoid tissues where secretory IgA production contributes to barrier immune defense. Altered IgJ expression has also been investigated in plasma cell neoplasms, lymphoid malignancies, and immune-associated inflammatory disorders involving dysregulated antibody production and plasma cell expansion.

IgJ-mediated assembly of polymeric immunoglobulins is required for efficient transport of secretory IgA and IgM through epithelial barriers. These pathways support mucosal immune defense and coordination of adaptive immune responses within barrier-associated tissues. Altered IgJ expression has also been investigated in plasma cell neoplasms, immune dysregulation, and lymphoid-associated disease processes involving antibody-producing cell populations.

An IgJ antibody is suitable for detecting JCHAIN / IGJ expression in studies of plasma cell differentiation, secretory immunoglobulin assembly, mucosal immunity, and antibody-producing immune cell populations.

For comprehensive detection of JCHAIN in plasma cell and secretory immunoglobulin studies, see our J Chain antibody.

Application Notes

The stated application concentrations are suggested starting points. Titration of the IgJ Antibody / Immunoglobulin J Chain and B Cell Differentiation Marker Antibody may be required due to differences in protocols and secondary/substrate sensitivity.

Immunogen

A portion of amino acids 32-61 from the human protein was used as the immunogen for the IgJ antibody.

Storage

Aliquot the IgJ antibody and store frozen at -20oC or colder. Avoid repeated freeze-thaw cycles.

Alternate Names

IGJ antibody, JCHAIN antibody, J Chain antibody, Immunoglobulin J chain antibody, Joining chain antibody

Cross
Bulk Quote Request Form
Name*:
Organization*:
Email*:
Phone Number*:
Catalog No.*:
Comments and Specifics(amount, formulation, etc.)*:
Validation code: Captchapackage Image


Can't read the image? click here to refresh.
    *required field

Your bulk quote request has been submitted successfully!

Please contact us if you have any questions.