• Tel: 858.663.9055
  • SeparatorEmail: info@nsjbio.com
  • Tel: 858.663.9055
  • Email: info@nsjbio.com
Home >> Antibodies >> IGHG4 Antibody / Immunoglobulin heavy constant gamma 4

IGHG4 Antibody / Immunoglobulin heavy constant gamma 4 [clone IGHG4/13367R] (V5918)

  Catalog No Formulation Size Price (USD)  
Image V5918-100UG 0.2 mg/ml in 1X PBS with 0.05% BSA, 0.05% sodium azide 100 ug 559
Image
V5918-20UG 0.2 mg/ml in 1X PBS with 0.05% BSA, 0.05% sodium azide 20 ug 259
Image
V5918SAF-100UG 1 mg/ml in 1X PBS; BSA free, sodium azide free 100 ug 559
Microvalidated Recrabbitmono
Bulk quote request
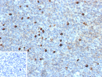
Formalin-fixed, paraffin-embedded human tonsil stained with recombinant IGHG4/Immunoglobulin heavy constant gamma 4 antibody (clone IGHG4/13367R). Scattered plasma cells within the tonsillar tissue show cytoplasmic brown chromogenic staining consistent with Immunoglobulin heavy constant gamma 4 expression, while surrounding lymphoid cells are largely negative. Nuclei are counterstained blue. Inset shows a PBS-only negative control processed without primary antibody, demonstrating minimal non-specific background staining.
Species Reactivity Human
Format Purified
Host Rabbit
Clonality Recombinant Rabbit Monoclonal
Isotype Rabbit IgG, kappa
Clone Name IGHG4/13367R
UniProt P01861
Localization Cell membrane, Secreted
Applications Immunohistochemistry (FFPE) : 1-2ug/ml
Western Blot : 2-4ug/ml
Limitations This recombinant IGHG4/Immunoglobulin heavy constant gamma 4 antibody is available for research use only.
Review this product on BioCompare and get a $20 Amazon gift card

Related Products

Description

IGHG4 antibody targets Immunoglobulin heavy constant gamma 4, the constant region of the gamma 4 heavy chain that defines immunoglobulin G4 (IgG4). The IGHG4 gene encodes the Fc portion of IgG4 antibodies, which display distinct structural and functional properties compared with other IgG subclasses. Immunoglobulin heavy constant gamma 4 is produced by B cells and plasma cells that have undergone class switch recombination toward the IgG4 isotype, most often in the setting of chronic antigen exposure. An IGHG4 antibody is therefore widely used in immunology and pathology research focused on IgG subclass biology and immune regulation.

Immunoglobulin heavy constant gamma 4 is characterized by reduced ability to activate complement and weaker interactions with Fc gamma receptors, conferring anti-inflammatory or immunomodulatory properties. IgG4 antibodies are functionally monovalent due to Fab arm exchange, a unique feature that limits immune complex formation. Detection of Immunoglobulin heavy constant gamma 4 using an IGHG4 antibody supports investigation of antibody structure-function relationships and Fc-mediated signaling differences among IgG subclasses.

Expression of Immunoglobulin heavy constant gamma 4 is closely associated with chronic immune stimulation and tolerance-related immune responses. Elevated numbers of IgG4-producing plasma cells are a defining feature of IgG4-related disease, a fibroinflammatory condition affecting multiple organs. Increased IGHG4 expression has also been reported in certain autoimmune disorders, allergic conditions, and chronic infections. An IGHG4 antibody enables identification and localization of IgG4-expressing cells in lymphoid and tissue samples, supporting studies of immune dysregulation and disease mechanisms.

In hematopathology, Immunoglobulin heavy constant gamma 4 has diagnostic relevance in plasma cell neoplasms and monoclonal gammopathies where IgG4-restricted clones may be present. Antibody-based detection of IGHG4 assists in characterization of immunoglobulin class switching, plasma cell differentiation, and clonal immunoglobulin expression patterns in research settings.

Immunoglobulin heavy constant gamma 4 is a member of the immunoglobulin heavy chain constant region family and contains conserved domains responsible for Fc structure and effector interactions. Because IGHG4 expression reflects IgG4 isotype commitment rather than antigen specificity, detection with an IGHG4 antibody provides a direct readout of IgG4-associated immune activity. Clone IGHG4/13367R is designed to recognize Immunoglobulin heavy constant gamma 4 and supports detection of IGHG4 expression in relevant research applications. NSJ Bioreagents offers this IGHG4 antibody to support studies of immune regulation, chronic inflammation, and IgG4-related disease biology.

Application Notes

1. Optimal dilution of the recombinant IGHG4/Immunoglobulin heavy constant gamma 4 antibody should be determined by the researcher.

2. This recombinant IGHG4/Immunoglobulin heavy constant gamma 4 antibody is recombinantly produced by expression in CHO cells.

Immunogen

A recombinant fragment (around amino acids 1-200) of human IGHG4 protein (exact sequence is proprietary) was used as the immunogen for the recombinant IGHG4/Immunoglobulin heavy constant gamma 4 antibody.

Storage

Recombinant IGHG4/Immunoglobulin heavy constant gamma 4 antibody with sodium azide - store at 2 to 8oC; antibody without sodium azide - store at -20 to -80oC.

Cross
Bulk Quote Request Form
Name*:
Organization*:
Email*:
Phone Number*:
Catalog No.*:
Comments and Specifics(amount, formulation, etc.)*:
Validation code: Captchapackage Image


Can't read the image? click here to refresh.
    *required field

Your bulk quote request has been submitted successfully!

Please contact us if you have any questions.