• Tel: 858.663.9055
  • SeparatorEmail: info@nsjbio.com
  • Tel: 858.663.9055
  • Email: info@nsjbio.com
Home >> Antibodies >> IGHA1 Antibody

IGHA1 Antibody (F50424)

  Catalog No Formulation Size Price (USD)  
Image F50424-0.4ML In 1X PBS, pH 7.4, with 0.09% sodium azide 0.4 ml 439
Image
F50424-0.08ML In 1X PBS, pH 7.4, with 0.09% sodium azide 0.08 ml 205
Bulk quote request
Western blot analysis of IGHA1 antibody and CEM lysate.
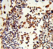
IHC analysis of FFPE human lymph tissue stained with IGHA1 antibody
Flow cytometric analysis of CEM cells using IGHA1 antibody (bottom histogram) compared to a negative control (top histogram). FITC-conjugated goat-anti-rabbit secondary Ab was used for the analysis.
Availability 1-3 business days
Species Reactivity Human
Format Purified
Host Rabbit
Clonality Polyclonal (rabbit origin)
Isotype Rabbit Ig
Purity Purified
UniProt P01876
Applications Western Blot : 1:1000
IHC (Paraffin) : 1:50-1:100
Flow Cytometry : 1:10-1:50
Limitations This IGHA1 antibody is available for research use only.
Review this product on BioCompare and get a $20 Amazon gift card

Description

Ig alpha is the major immunoglobulin class in body secretions. The protein may serve both to defend against local infection and to prevent access of foreign antigens to the general immunologic system.

Application Notes

Titration of the IGHA1 antibody may be required due to differences in protocols and secondary/substrate sensitivity.

Immunogen

A portion of amino acids 257-286 from the human protein was used as the immunogen for this IGHA1 antibody.

Storage

Aliquot the IGHA1 antibody and store frozen at -20oC or colder. Avoid repeated freeze-thaw cycles.

Cross
Bulk Quote Request Form
Name*:
Organization*:
Email*:
Phone Number*:
Catalog No.*:
Comments and Specifics(amount, formulation, etc.)*:
Validation code: Captchapackage Image


Can't read the image? click here to refresh.
    *required field

Your bulk quote request has been submitted successfully!

Please contact us if you have any questions.