• Tel: 858.663.9055
  • SeparatorEmail: info@nsjbio.com
  • Tel: 858.663.9055
  • Email: info@nsjbio.com
Home >> Antibodies >> IGFL3 Antibody / IGF-like family member 3

IGFL3 Antibody / IGF-like family member 3 (FY12248)

  Catalog No Formulation Size Price (USD)  
Image FY12248 Adding 0.2 ml of distilled water will yield a concentration of 500 ug/ml 100 ug 449
Bulk quote request
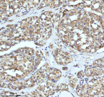
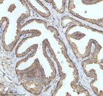
Immunohistochemical staining of IGFL3 using anti-IGFL3 antibody. IGFL3 was detected in a paraffin-embedded section of human prostate cancer tissue. Heat mediated antigen retrieval was performed in EDTA buffer (pH 8.0, epitope retrieval solution). The tissue section was blocked with 10% goat serum. The tissue section was then incubated with 2 ug/ml rabbit anti-IGFL3 antibody overnight at 4oC. Peroxidase Conjugated Goat Anti-rabbit IgG was used as secondary antibody and incubated for 30 minutes at 37oC. The tissue section was developed using an HRP secondary and DAB substrate.
Western blot analysis of IGFL3 using anti-IGFL3 antibody. Lane 1: human placenta tissue lysates. After electrophoresis, proteins were transferred to a nitrocellulose membrane at 150 mA for 50-90 minutes. Blocked the membrane with 5% non-fat milk/TBS for 1.5 hour at RT. The membrane was incubated with rabbit anti-IGFL3 antibody at 0.5 ug/ml overnight at 4oC, then washed with TBS-0.1%Tween 3 times with 5 minutes each and probed with a goat anti-rabbit IgG-HRP secondary antibody at a dilution of 1:5000 for 1.5 hour at RT. The signal was developed using enhanced chemiluminescent. The expected band size for IGFL3 is at ~14 kDa.
Immunohistochemical staining of IGFL3 using anti-IGFL3 antibody. IGFL3 was detected in a paraffin-embedded section of human prostate cancer tissue. Heat mediated antigen retrieval was performed in EDTA buffer (pH 8.0, epitope retrieval solution). The tissue section was blocked with 10% goat serum. The tissue section was then incubated with 2 ug/ml rabbit anti-IGFL3 antibody overnight at 4oC. Peroxidase Conjugated Goat Anti-rabbit IgG was used as secondary antibody and incubated for 30 minutes at 37oC. The tissue section was developed using an HRP secondary and DAB substrate.
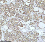
Immunohistochemical staining of IGFL3 using anti-IGFL3 antibody. IGFL3 was detected in a paraffin-embedded section of human thyroid cancer tissue. Heat mediated antigen retrieval was performed in EDTA buffer (pH 8.0, epitope retrieval solution). The tissue section was blocked with 10% goat serum. The tissue section was then incubated with 2 ug/ml rabbit anti-IGFL3 antibody overnight at 4oC. Peroxidase Conjugated Goat Anti-rabbit IgG was used as secondary antibody and incubated for 30 minutes at 37oC. The tissue section was developed using an HRP secondary and DAB substrate.
Immunohistochemical staining of IGFL3 using anti-IGFL3 antibody. IGFL3 was detected in a paraffin-embedded section of human thyroid cancer tissue. Heat mediated antigen retrieval was performed in EDTA buffer (pH 8.0, epitope retrieval solution). The tissue section was blocked with 10% goat serum. The tissue section was then incubated with 2 ug/ml rabbit anti-IGFL3 antibody overnight at 4oC. Peroxidase Conjugated Goat Anti-rabbit IgG was used as secondary antibody and incubated for 30 minutes at 37oC. The tissue section was developed using an HRP secondary and DAB substrate.
Availability 1-2 days
Species Reactivity Human
Format Lyophilized
Host Rabbit
Clonality Polyclonal (rabbit origin)
Isotype Rabbit IgG
Purity Immunogen affinity purified
Buffer Each vial contains 4 mg Trehalose, 0.9 mg NaCl, 0.2 mg Na2HPO4.
UniProt Q6UXB1
Applications Western Blot : 0.25-0.5ug/ml
Immunohistochemistry : 2-5ug/ml
ELISA : 0.1-0.5ug/ml
Limitations This IGFL3 antibody is available for research use only.
Review this product on BioCompare and get a $20 Amazon gift card

Description

IGFL3 antibody detects IGF-like family member 3, encoded by the IGFL3 gene on chromosome 19q13.32. IGFL3 antibody is commonly used in research on growth factor biology, signaling, and development. IGFL3 belongs to the IGF-like family of secreted proteins, which share structural features with insulin-like growth factors but often have distinct biological activities. IGFL3 is expressed primarily in skin, immune tissues, and reproductive organs, with potential roles in growth regulation, immune modulation, and epithelial differentiation.

Structurally, IGFL3 is a secreted protein containing conserved cysteine residues that form disulfide bonds, stabilizing the IGF-like fold. It contains signal peptides directing secretion and motifs related to IGF binding proteins. Unlike classical IGFs, IGFL3 has limited affinity for IGF receptors, suggesting unique receptor interactions. Alternative isoforms expand potential tissue-specific functions.

Functionally, IGFL3 acts as a signaling ligand influencing epithelial proliferation, immune responses, and reproductive biology. It has been shown to modulate keratinocyte growth and survival, supporting roles in skin homeostasis. In immune tissues, IGFL3 may influence T-cell differentiation and cytokine responses. Although mechanistic pathways remain incompletely understood, IGFL3 is considered a growth and differentiation factor with specialized activity. Researchers use IGFL3 antibody to explore growth factor biology, immune regulation, and tissue development.

Clinically, IGFL3 has been linked to psoriasis and autoimmune conditions, where dysregulated expression affects skin and immune homeostasis. It may also play roles in fertility and embryonic development. Studies continue to investigate whether IGFL3 participates in cancer progression by promoting epithelial proliferation. NSJ Bioreagents supplies IGFL3 antibody to support investigations into growth factor signaling, skin biology, and immunology.

Experimentally, IGFL3 antibody is applied in western blotting to detect secreted and intracellular forms, in immunohistochemistry to study tissue distribution, and in ELISA to quantify secreted protein in serum or conditioned media. Co-immunoprecipitation with IGFL3 antibody helps identify receptor interactions and signaling partners.

Application Notes

Optimal dilution of the IGFL3 antibody should be determined by the researcher.

Immunogen

E.coli-derived human IGFL3 recombinant protein (Position: T25-P125) was used as the immunogen for the IGFL3 antibody.

Storage

After reconstitution, the IGFL3 antibody can be stored for up to one month at 4oC. For long-term, aliquot and store at -20oC. Avoid repeated freezing and thawing.

Cross
Bulk Quote Request Form
Name*:
Organization*:
Email*:
Phone Number*:
Catalog No.*:
Comments and Specifics(amount, formulation, etc.)*:
Validation code: Captchapackage Image


Can't read the image? click here to refresh.
    *required field

Your bulk quote request has been submitted successfully!

Please contact us if you have any questions.