• Tel: 858.663.9055
  • SeparatorEmail: info@nsjbio.com
  • Tel: 858.663.9055
  • Email: info@nsjbio.com
Home >> Antibodies >> IGF1 Receptor Antibody / IGF1R

IGF1 Receptor Antibody / IGF1R (F54940)

  Catalog No Formulation Size Price (USD)  
Image F54940-0.4ML In 1X PBS, pH 7.4, with 0.09% sodium azide 0.4 ml 439
Image
F54940-0.08ML In 1X PBS, pH 7.4, with 0.09% sodium azide 0.08 ml 205
Bulk quote request
Western blot testing of 1) human 293T, 2) human A431, 3) mouse C2C12, 4) rat C6, 5) human HeLa and 6) mouse NIH 3T3 cell lysate with IGF1 Receptor antibody. Expected molecular weight: ~69 kDa (unglycosylated beta chain) up to ~200 kDa (glycosylated pro-form).
Western blot testing of human SK-BR-3 cell lysate with IGF1 Receptor antibody. Expected molecular weight: ~69 kDa (unglycosylated beta chain) up to ~200 kDa (glycosylated pro-form).
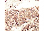
IHC testing of FFPE human cancer tissue with IGF1 Receptor antibody. HIER: steam section in pH6 citrate buffer for 20 min and allow to cool prior to staining.
Availability 1-3 business days
Species Reactivity Human, Mouse, Rat
Format Purified
Host Rabbit
Clonality Polyclonal (rabbit origin)
Isotype Rabbit Ig
Purity Purified
UniProt P08069
Applications Immunohistochemistry (FFPE) : 1:50-1:100
Western Blot : 1:500-1:1000
Limitations This IGF1 Receptor antibody is available for research use only.
Review this product on BioCompare and get a $20 Amazon gift card

Related Products

Description

The IGF1 receptor binds insulin-like growth factor with a high affinity and plays a critical role in transformation events. Cleavage of the precursor generates alpha and beta subunits. It is highly overexpressed in most malignant tissues where it functions as an anti-apoptotic agent by enhancing cell survival. The protein possess tyrosine kinase activity.

Application Notes

The stated application concentrations are suggested starting points. Titration of the IGF1 Receptor antibody may be required due to differences in protocols and secondary/substrate sensitivity.

Immunogen

A portion of amino acids 1335-1366 from the human protein was used as the immunogen for the IGF1 Receptor antibody.

Storage

Aliquot the IGF1 Receptor antibody and store frozen at -20oC or colder. Avoid repeated freeze-thaw cycles.

Cross
Bulk Quote Request Form
Name*:
Organization*:
Email*:
Phone Number*:
Catalog No.*:
Comments and Specifics(amount, formulation, etc.)*:
Validation code: Captchapackage Image


Can't read the image? click here to refresh.
    *required field

Your bulk quote request has been submitted successfully!

Please contact us if you have any questions.