• Tel: 858.663.9055
  • SeparatorEmail: info@nsjbio.com
  • Tel: 858.663.9055
  • Email: info@nsjbio.com
Home >> Antibodies >> IgD Heavy Chain Antibody Mouse Monoclonal IGHD/4967 / Immunoglobulin D Heavy Chain Antibody

IgD Heavy Chain Antibody Mouse Monoclonal IGHD/4967 / Immunoglobulin D Heavy Chain Antibody [clone IGHD/4967] (V4337)

  Catalog No Formulation Size Price (USD)  
Image V4337-100UG 0.2 mg/ml in 1X PBS with 0.1 mg/ml BSA (US sourced), 0.05% sodium azide 100 ug 559
Image
V4337-20UG 0.2 mg/ml in 1X PBS with 0.1 mg/ml BSA (US sourced), 0.05% sodium azide 20 ug 259
Image
V4337SAF-100UG 1 mg/ml in 1X PBS; BSA free, sodium azide free 100 ug 559
Bulk quote request
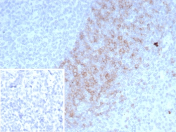
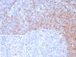
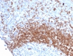
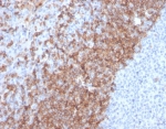
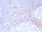
IgD Heavy Chain Antibody Mouse Monoclonal IGHD/4967 immunohistochemistry analysis of human lymph node tissue. Formalin-fixed paraffin-embedded human lymph node tissue stained with IgD Heavy Chain Antibody Mouse Monoclonal IGHD/4967 shows HRP-DAB brown chromogenic staining in B lymphocytes within lymphoid follicles, with positive cells predominantly localized in mantle zone regions surrounding germinal centers. Staining is observed along the cell membrane and within the cytoplasm of IgD-positive B cells consistent with expression of Immunoglobulin D in mature naive B lymphocytes. The inset shows the negative control in which PBS was used in place of the primary antibody, demonstrating absence of specific staining. Heat induced epitope retrieval was performed by boiling tissue sections in pH 9 10mM Tris with 1mM EDTA for 20 minutes followed by cooling prior to antibody incubation.
SDS-PAGE analysis of purified, BSA-free mouse monoclonal IgD Heavy Chain antibody (clone IGHD/4967) as confirmation of integrity and purity.
Availability 1-3 business days
Species Reactivity Human
Format Purified
Host Mouse
Clonality Monoclonal (mouse origin)
Isotype Mouse IgG2a, kappa
Clone Name IGHD/4967
Purity Protein A/G affinity
UniProt P01880
Localization Cytoplasm
Applications Immunohistochemistry (FFPE) : 1-2ug/ml for 30 minutes at RT
Limitations This IgD Heavy Chain antibody is available for research use only.
Review this product on BioCompare and get a $20 Amazon gift card

Related Products

Description

Immunoglobulin D (IgD) is an antibody isotype primarily expressed on the surface of mature naive B lymphocytes and functions as part of the B cell receptor complex involved in antigen recognition and immune activation. The IgD heavy chain is encoded by the IGHD gene and pairs with immunoglobulin light chains to form the antigen-binding receptor expressed on B cells. IgD Heavy Chain Antibody Mouse Monoclonal IGHD/4967 recognizes the delta heavy chain of IgD and enables detection of IgD-expressing B lymphocytes in studies examining lymphoid tissues and immune responses.

IgD belongs to the immunoglobulin superfamily and consists of two delta heavy chains paired with two light chains, forming a monomeric immunoglobulin molecule typical of antibody isotypes. On mature B lymphocytes, membrane-bound IgD is usually co-expressed with surface IgM and participates in antigen receptor signaling. Engagement of the IgD-containing receptor complex activates intracellular signaling pathways that regulate B cell activation, survival, and differentiation during adaptive immune responses.

In normal human tissues, IgD expression is most prominent in B lymphocytes located in secondary lymphoid organs such as tonsil, lymph node, and spleen. Within lymphoid follicles, IgD-positive B cells are typically enriched in mantle zone regions surrounding germinal centers, reflecting the presence of mature naive B cells that have not yet undergone class-switch recombination. This distribution pattern makes IgD immunostaining useful for identifying B cell subsets and evaluating lymphoid tissue organization.

Detection of IgD heavy chain expression can also contribute to studies of lymphoid malignancies and immune-related diseases. Immunoglobulin expression patterns are frequently used to characterize B cell lineage and differentiation stage in lymphoid neoplasms and plasma cell disorders. IgD heavy chain detection therefore provides insight into B cell biology and immune cell composition in both normal and disease-associated tissues.

A mouse monoclonal IgD Heavy Chain Antibody such as clone IGHD/4967 provides a reliable reagent for detecting IgD-expressing B lymphocytes in research applications involving lymphoid tissues and immune system studies. Detection typically reveals membranous and cytoplasmic staining patterns in B cells consistent with the localization of IgD as a component of the B cell receptor complex.

Application Notes

Optimal dilution of the IgD Heavy Chain Antibody Mouse Monoclonal IGHD/4967 should be determined by the researcher.

Immunogen

Full-length human IGHD protein was used as the immunogen for the IgD Heavy Chain antibody.

Storage

Aliquot the IgD Heavy Chain antibody and store frozen at -20oC or colder. Avoid repeated freeze-thaw cycles.

Alternate Names

Immunoglobulin D heavy chain antibody, IgD antibody, IGHD antibody, Delta heavy chain antibody

Cross
Bulk Quote Request Form
Name*:
Organization*:
Email*:
Phone Number*:
Catalog No.*:
Comments and Specifics(amount, formulation, etc.)*:
Validation code: Captchapackage Image


Can't read the image? click here to refresh.
    *required field

Your bulk quote request has been submitted successfully!

Please contact us if you have any questions.