• Tel: 858.663.9055
  • SeparatorEmail: info@nsjbio.com
  • Tel: 858.663.9055
  • Email: info@nsjbio.com
Home >> Antibodies >> IgD Antibody Rabbit Monoclonal IGHD/8326R / Immunoglobulin D Antibody

IgD Antibody Rabbit Monoclonal IGHD/8326R / Immunoglobulin D Antibody [clone IGHD/8326R] (V4342)

  Catalog No Formulation Size Price (USD)  
Image V4342-100UG 0.2 mg/ml in 1X PBS with 0.1 mg/ml BSA (US sourced), 0.05% sodium azide 100 ug 559
Image
V4342-20UG 0.2 mg/ml in 1X PBS with 0.1 mg/ml BSA (US sourced), 0.05% sodium azide 20 ug 259
Image
V4342SAF-100UG 1 mg/ml in 1X PBS; BSA free, sodium azide free 100 ug 559
Microvalidated Recrabbitmono
Bulk quote request
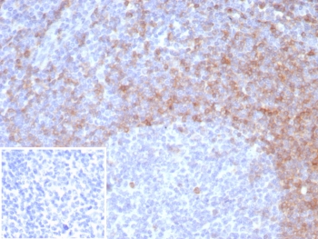
IgD Antibody Rabbit Monoclonal IGHD/8326R immunohistochemistry analysis of human tonsil tissue. Formalin-fixed paraffin-embedded human tonsil tissue stained with IgD Antibody Rabbit Monoclonal IGHD/8326R shows HRP-DAB brown chromogenic staining in B lymphocytes within lymphoid follicles, with strong membranous and cytoplasmic signal in mantle zone B cells surrounding germinal centers. Germinal center cells show reduced staining relative to the mantle zone population. The inset shows the negative control in which PBS was used in place of the primary antibody, demonstrating absence of specific staining. Heat induced epitope retrieval was performed by boiling tissue sections in pH 9 10mM Tris with 1mM EDTA for 20 minutes followed by cooling prior to antibody incubation.
SDS-PAGE analysis of purified, BSA-free IgD antibody (clone IGHD/8326R) as confirmation of integrity and purity.
Availability 1-3 business days
Species Reactivity Human
Format Purified
Host Rabbit
Clonality Recombinant Rabbit Monoclonal
Isotype Rabbit IgG, kappa
Clone Name IGHD/8326R
Purity Protein A/G affinity
UniProt P01880
Localization Cytoplasm
Applications Immunohistochemistry (FFPE) : 1-2ug/ml for 30 minutes at RT
Limitations This IgD antibody is available for research use only.
Review this product on BioCompare and get a $20 Amazon gift card

Related Products

Description

Immunoglobulin D (IgD) is an antibody isotype primarily expressed on the surface of mature naive B lymphocytes and plays an important role in B cell activation and immune regulation. IgD is encoded by the IGHD gene and forms part of the B cell receptor complex together with immunoglobulin light chains. IgD Antibody Rabbit Monoclonal IGHD/8326R recognizes Immunoglobulin D and enables detection of IgD-expressing B cells in research applications examining lymphoid tissues and immune responses.

IgD molecules consist of two delta heavy chains paired with two immunoglobulin light chains, forming a monomeric antibody structure typical of most immunoglobulins. Membrane-bound IgD functions alongside surface IgM as a receptor for antigen recognition on B lymphocytes. When antigens bind to the IgD-containing B cell receptor complex, signaling pathways are activated that regulate B cell proliferation, differentiation, and antibody production within the adaptive immune system.

In normal human tissues, IgD expression is predominantly found in B lymphocytes located within secondary lymphoid organs such as tonsil, spleen, and lymph node. Within lymphoid follicles, IgD-positive B cells are typically concentrated in the mantle zone surrounding germinal centers, reflecting the presence of mature naive B cells. This distribution pattern makes IgD immunohistochemical staining a useful method for identifying B cell subsets and evaluating lymphoid tissue architecture.

Detection of IgD can also be informative in studies of lymphoid neoplasms and immune-related diseases. In certain B cell lymphomas and plasma cell disorders, evaluation of immunoglobulin expression contributes to characterization of tumor lineage and differentiation state. Immunoglobulin markers including IgD are therefore commonly used in hematopathology research and diagnostic investigations of lymphoid malignancies.

A rabbit monoclonal IgD antibody such as clone IGHD/8326R provides a sensitive reagent for detecting IgD in research studies involving lymphoid tissues and B cell biology. Detection typically reveals membranous and cytoplasmic staining in B lymphocytes consistent with the localization of IgD as a component of the B cell receptor complex.

Application Notes

Optimal dilution of the IgD Antibody Rabbit Monoclonal IGHD/8326R should be determined by the researcher.

Immunogen

A recombinant partial protein sequence (within amino acids 1-200) from the human protein was used as the immunogen for the IgD antibody.

Storage

Aliquot the IgD antibody and store frozen at -20oC or colder. Avoid repeated freeze-thaw cycles.

Alternate Names

Immunoglobulin D antibody, IgD heavy chain antibody, IGHD antibody, Human IgD antibody

Cross
Bulk Quote Request Form
Name*:
Organization*:
Email*:
Phone Number*:
Catalog No.*:
Comments and Specifics(amount, formulation, etc.)*:
Validation code: Captchapackage Image


Can't read the image? click here to refresh.
    *required field

Your bulk quote request has been submitted successfully!

Please contact us if you have any questions.