• Tel: 858.663.9055
  • SeparatorEmail: info@nsjbio.com
  • Tel: 858.663.9055
  • Email: info@nsjbio.com
Home >> Antibodies >> IFT88 Antibody

IFT88 Antibody (R34499)

  Catalog No Formulation Size Price (USD)  
Image R34499-100UG 0.5 mg/ml in 1X TBS, pH7.3, with 0.5% BSA (US sourced) and 0.02% sodium azide 100 ug 475
Bulk quote request
Immunofluorescent staining of fixed and permeabilized human HepG2 cells with ITF88 antibody (green) at 10ug/ml and DAPI nuclear stain (blue).
Immunofluorescent staining of fixed and permeabilized human A549 cells with ITF88 antibody (green) at 10ug/ml and DAPI nuclear stain (blue).
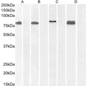
Western blot testing of A) human K562 cell lysate without and with blocking peptide, B) human ThP-1 cell lysate without and with blocking peptide, C) human U-251 cell lysate without and with blocking peptide and D) rat KNRK cell lysate without and with blocking peptide, with IFT88 antibody.
FACS testing of fixed and permeabilized human ThP1 cells with IFT88 antibody (blue) at 1ug/million cells/0.1ml and naive goat Ig (black).
Availability 1-3 business days
Species Reactivity Human, Rat
Format Antigen affinity purified
Host Goat
Clonality Polyclonal (goat origin)
Isotype Goat Ig
Purity Antigen affinity
Gene ID 8100
Localization Cytoplasmic, cytoskeleton
Applications Western Blot : 2-3ug/ml
Immunofluorescence : 10ug/ml
Flow Cytometry : 1ug/million cells in 0.1ml
ELISA (peptide) LOD : 1:8000
Limitations This IFT88 antibody is available for research use only.
Review this product on BioCompare and get a $20 Amazon gift card

Related Products

Description

Additional name(s) for this target protein: Intraflagellar transport 88, TTC10 antibody, tetratricopeptide repeat domain 10, Polaris

Application Notes

Optimal dilution of the IFT88 antibody should be determined by the researcher.

Immunogen

Amino acids KKRIDEDDFADEE were used as the immunogen for this IFT88 antibody.

Storage

Aliquot and store the IFT88 antibody at -20oC.

Cross
Bulk Quote Request Form
Name*:
Organization*:
Email*:
Phone Number*:
Catalog No.*:
Comments and Specifics(amount, formulation, etc.)*:
Validation code: Captchapackage Image


Can't read the image? click here to refresh.
    *required field

Your bulk quote request has been submitted successfully!

Please contact us if you have any questions.