• Tel: 858.663.9055
  • SeparatorEmail: info@nsjbio.com
  • Tel: 858.663.9055
  • Email: info@nsjbio.com
Home >> Antibodies >> IFT20 Antibody / Intraflagellar transport protein 20 homolog

IFT20 Antibody / Intraflagellar transport protein 20 homolog (FY13244)

  Catalog No Formulation Size Price (USD)  
Image FY13244 Adding 0.2 ml of distilled water will yield a concentration of 500 ug/ml 100 ug 439
Bulk quote request
Immunohistochemical staining of IFT20 using anti-IFT20 antibody. IFT20 was detected in a paraffin-embedded section of human colon cancer tissue. Heat mediated antigen retrieval was performed in EDTA buffer (pH 8.0, epitope retrieval solution). The tissue section was blocked with 10% goat serum. The tissue section was then incubated with 2 ug/ml rabbit anti-IFT20 antibody overnight at 4oC. Peroxidase Conjugated Goat Anti-rabbit IgG was used as secondary antibody and incubated for 30 minutes at 37oC. The tissue section was developed using an HRP secondary and DAB substrate.
Western blot analysis of IFT20 using anti-IFT20 antibody. Electrophoresis was performed on a 12% SDS-PAGE gel at 80V (Stacking gel) / 120V (Resolving gel) for 2 hours. Lane 1: rat testis tissue lysates, Lane 2: mouse testis tissue lysates. After electrophoresis, proteins were transferred to a nitrocellulose membrane at 150 mA for 50-90 minutes. Blocked the membrane with 5% non-fat milk/TBS for 1.5 hour at RT. The membrane was incubated with rabbit anti-IFT20 antibody at 0.5 ug/ml overnight at 4oC, then washed with TBS-0.1%Tween 3 times with 5 minutes each and probed with a goat anti-rabbit IgG-HRP secondary antibody at a dilution of 1:5000 for 1.5 hour at RT. The signal was developed using an ECL Plus Western Blotting Substrate. Western blot detection of IFT20 shows a major band at ~15 kDa and a weaker band near ~20 kDa in rat and mouse testis lysates. The higher-migrating species likely represents a post-translationally modified or extended isoform of IFT20, which has been reported in ciliated and testicular tissues.
Immunohistochemical staining of IFT20 using anti-IFT20 antibody. IFT20 was detected in a paraffin-embedded section of human colon cancer tissue. Heat mediated antigen retrieval was performed in EDTA buffer (pH 8.0, epitope retrieval solution). The tissue section was blocked with 10% goat serum. The tissue section was then incubated with 2 ug/ml rabbit anti-IFT20 antibody overnight at 4oC. Peroxidase Conjugated Goat Anti-rabbit IgG was used as secondary antibody and incubated for 30 minutes at 37oC. The tissue section was developed using an HRP secondary and DAB substrate.
Immunohistochemical staining of IFT20 using anti-IFT20 antibody. IFT20 was detected in a paraffin-embedded section of human testis cancer tissue. Heat mediated antigen retrieval was performed in EDTA buffer (pH 8.0, epitope retrieval solution). The tissue section was blocked with 10% goat serum. The tissue section was then incubated with 2 ug/ml rabbit anti-IFT20 antibody overnight at 4oC. Peroxidase Conjugated Goat Anti-rabbit IgG was used as secondary antibody and incubated for 30 minutes at 37oC. The tissue section was developed using an HRP secondary and DAB substrate.
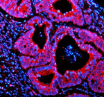
Immunofluorescent staining of IFT20 using anti-IFT20 antibody (red). IFT20 was detected in a paraffin-embedded section of human colon cancer tissue. Heat mediated antigen retrieval was performed in EDTA buffer (pH 8.0, epitope retrieval solution). The tissue section was blocked with 10% goat serum. The tissue section was then incubated with 5 ug/ml rabbit anti-IFT20 antibody overnight at 4oC. Cy3 Conjugated Goat Anti-Rabbit IgG was used as secondary antibody at 1:500 dilution and incubated for 30 minutes at 37oC. The section was counterstained with DAPI nuclear stain (blue). Visualize using a fluorescence microscope and filter sets appropriate for the label used.
Flow Cytometry analysis of 293T cells using anti-IFT20 antibody. Overlay histogram showing 293T cells stained with (Blue line). To facilitate intracellular staining, cells were fixed with 4% paraformaldehyde and permeabilized with permeabilization buffer. The cells were blocked with 10% normal goat serum. And then incubated with rabbit anti-IFT20 antibody (1 ug/million cells) for 30 min at 20oC. DyLight 488 conjugated goat anti-rabbit IgG (5-10 ug/million cells) was used as secondary antibody for 30 minutes at 20oC. Isotype control antibody (Green line) was rabbit IgG (1 ug/million cells) used under the same conditions. Unlabelled sample without incubation with primary antibody and secondary antibody (Red line) was used as a blank control.
Availability 1-2 days
Species Reactivity Human, Mouse, Rat
Format Lyophilized
Clonality Polyclonal (rabbit origin)
Isotype Rabbit IgG
Purity Immunogen affinity purified
Buffer Each vial contains 4 mg Trehalose, 0.9 mg NaCl, 0.2 mg Na2HPO4.
UniProt Q8IY31
Localization Cytoplasm
Applications Western Blot : 0.25-0.5ug/ml
Immunohistochemistry : 2-5ug/ml
Immunofluorescence : 5ug/ml
Flow Cytometry : 1-3ug/million cells
ELISA : 0.1-0.5ug/ml
Limitations This IFT20 antibody is available for research use only.
Review this product on BioCompare and get a $20 Amazon gift card

Description

IFT20 antibody detects Intraflagellar transport protein 20 homolog, a component of the intraflagellar transport (IFT) complex required for cilium assembly, maintenance, and cargo trafficking. The UniProt recommended name is Intraflagellar transport protein 20 homolog (IFT20). This small protein serves as a crucial adaptor that links vesicular trafficking machinery to the IFT complex, ensuring proper delivery of membrane and signaling components to the cilium.

Functionally, IFT20 antibody identifies a 132-amino-acid protein localized to the Golgi apparatus and the base of cilia. IFT20 associates with the IFT-B complex and interacts with proteins such as IFT57, IFT88, and GMAP210 to coordinate transport of ciliary cargo from the Golgi to the basal body. It plays essential roles in ciliogenesis, ciliary membrane protein sorting, and Hedgehog signaling. IFT20 functions both in ciliated cells, such as renal epithelial cells and photoreceptors, and in non-ciliated cells, where it contributes to vesicle trafficking and immune synapse formation.

The IFT20 gene is located on chromosome 17q25.3 and is ubiquitously expressed in tissues with active ciliary assembly, including kidney, lung, retina, and brain. Expression is dynamically regulated during cell cycle progression and development, reflecting its importance in signaling and organelle biogenesis.

Pathologically, mutations or loss of IFT20 disrupt cilium formation and function, leading to a spectrum of ciliopathies such as polycystic kidney disease, retinal degeneration, and developmental disorders. Altered expression may also affect immune function, as IFT20 participates in T-cell receptor recycling. Research using IFT20 antibody supports studies in cilia biology, vesicular trafficking, and developmental signaling pathways.

IFT20 antibody is validated for western blotting, immunofluorescence, and immunohistochemistry to detect ciliary transport proteins. NSJ Bioreagents provides IFT20 antibody reagents optimized for studies in ciliogenesis, Golgi-cilium communication, and membrane trafficking.

Structurally, Intraflagellar transport protein 20 homolog is a small coiled-coil protein that integrates into the IFT-B complex. Its N-terminal region anchors it to the Golgi, while the C-terminal region mediates interactions with IFT components. This structural configuration enables IFT20 to couple vesicular transport and ciliary assembly. This antibody aids in investigating IFT20's role in cellular signaling, ciliogenesis, and trafficking fidelity.

Application Notes

Optimal dilution of the IFT20 antibody should be determined by the researcher.

Immunogen

E.coli-derived human IFT20 recombinant protein (Position: M1-K132) was used as the immunogen for the IFT20 antibody.

Storage

After reconstitution, the IFT20 antibody can be stored for up to one month at 4oC. For long-term, aliquot and store at -20oC. Avoid repeated freezing and thawing.

Cross
Bulk Quote Request Form
Name*:
Organization*:
Email*:
Phone Number*:
Catalog No.*:
Comments and Specifics(amount, formulation, etc.)*:
Validation code: Captchapackage Image


Can't read the image? click here to refresh.
    *required field

Your bulk quote request has been submitted successfully!

Please contact us if you have any questions.