• Tel: 858.663.9055
  • SeparatorEmail: info@nsjbio.com
  • Tel: 858.663.9055
  • Email: info@nsjbio.com
Home >> Antibodies >> IFNAR2 Antibody

IFNAR2 Antibody (RQ5502)

  Catalog No Formulation Size Price (USD)  
Image RQ5502 0.5mg/ml if reconstituted with 0.2ml sterile DI water 100 ug 449
Bulk quote request
Western blot testing of human 1) K562, 2) Caco-2, 3) HepG2 and 4) U-87 MG cell lysate with IFNAR2 antibody. Expected molecular weight: 58-65 kDa.
Immunofluorescent staining of FFPE human A431 with IFNAR2 antibody (green) and DAPI (blue). HIER: boil tissue sections in pH6, 10mM citrate buffer, for 20 min and allow to cool before testing.
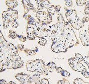
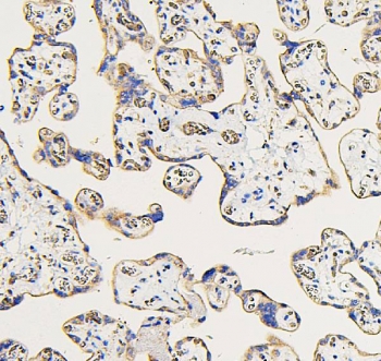
IHC staining of FFPE human placenta with IFNAR2 antibody. HIER: boil tissue sections in pH6, 10mM citrate buffer, for 20 min and allow to cool before testing.
IHC staining of FFPE mouse liver with IFNAR2 antibody. HIER: boil tissue sections in pH6, 10mM citrate buffer, for 20 min and allow to cool before testing.
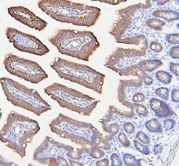
IHC staining of FFPE mouse intestine with IFNAR2 antibody. HIER: boil tissue sections in pH6, 10mM citrate buffer, for 20 min and allow to cool before testing.
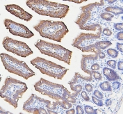
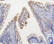
IHC staining of FFPE rat intestine with IFNAR2 antibody. HIER: boil tissue sections in pH6, 10mM citrate buffer, for 20 min and allow to cool before testing.
Flow cytometry testing of human A549 cells with IFNAR2 antibody at 1ug/million cells (blocked with goat sera); Red=cells alone, Green=isotype control, Blue= IFNAR2 antibody.
Availability 1-3 business days
Species Reactivity Human, Mouse, Rat
Format Antigen affinity purified
Host Rabbit
Clonality Polyclonal (rabbit origin)
Isotype Rabbit IgG
Purity Affinity purified
Buffer Lyophilized from 1X PBS with 2% Trehalose and 0.025% sodium azide
UniProt P48551
Applications Western Blot : 0.25-0.5ug/ml
Immunohistochemistry (FFPE) : 1-2ug/ml
Immunofluorescence : 2-4ug/ml
Flow Cytometry : 1-3ug/million cells
Direct ELISA : 0.1-0.5ug/ml
Limitations This IFNAR2 antibody is available for research use only.
Review this product on BioCompare and get a $20 Amazon gift card

Description

Interferon-alpha/beta receptor beta chain is a protein that in humans is encoded by the IFNAR2 gene. It is mapped to 21q22.11. The protein encoded by this gene is a type I membrane protein that forms one of the two chains of a receptor for interferons alpha and beta. Binding and activation of the receptor stimulates Janus protein kinases, which in turn phosphorylate several proteins, including STAT1 and STAT2. Multiple transcript variants encoding at least two different isoforms have been found for this gene.

Application Notes

Optimal dilution of the IFNAR2 antibody should be determined by the researcher.

Immunogen

A human recombinant protein (amino acids D33-Q466) was used as the immunogen for the IFNAR2 antibody.

Storage

After reconstitution, the IFNAR2 antibody can be stored for up to one month at 4oC. For long-term, aliquot and store at -20oC. Avoid repeated freezing and thawing.

Cross
Bulk Quote Request Form
Name*:
Organization*:
Email*:
Phone Number*:
Catalog No.*:
Comments and Specifics(amount, formulation, etc.)*:
Validation code: Captchapackage Image


Can't read the image? click here to refresh.
    *required field

Your bulk quote request has been submitted successfully!

Please contact us if you have any questions.