• Tel: 858.663.9055
  • SeparatorEmail: info@nsjbio.com
  • Tel: 858.663.9055
  • Email: info@nsjbio.com
Home >> Antibodies >> IFITM5 Antibody

IFITM5 Antibody (F54346)

  Catalog No Formulation Size Price (USD)  
Image F54346-0.4ML In 1X PBS, pH 7.4, with 0.09% sodium azide 0.4 ml 439
Image
F54346-0.08ML In 1X PBS, pH 7.4, with 0.09% sodium azide 0.08 ml 205
Bulk quote request
Western blot testing of human 1) T-47D, 2) PC3, 3) SW480, 4) HT-29 and 5) PANC-1 cell lysate with IFITM5 antibody. Predicted molecular weight: ~14 kDa.
Western blot testing of human 1) PC3, 2) SW480, 3) HT-29 and 4) mouse spleen lysate with IFITM5 antibody. Predicted molecular weight: ~14 kDa.
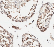
IHC testing of FFPE human testis tissue with IFITM5 antibody. HIER: steam section in pH6 citrate buffer for 20 min and allow to cool prior to staining.
Flow cytometry testing of fixed and permeabilized human A431 cells with IFITM5 antibody; Blue=isotype control, Green= IFITM5 antibody.
Availability 1-3 business days
Species Reactivity Human, Mouse
Format Purified
Host Rabbit
Clonality Polyclonal (rabbit origin)
Isotype Rabbit IgG
Purity Antigen affinity purified
UniProt A6NNB3
Localization Cell membrane
Applications Western Blot : 1:500-1:2000
Flow Cytometry : 1:25 (1x10e6 cells)
Immunohistochemistry (FFPE) : 1:25
Limitations This IFITM5 antibody is available for research use only.
Review this product on BioCompare and get a $20 Amazon gift card

Description

Interferon-induced transmembrane protein 5 is required for normal bone mineralization. [UniProt]

Application Notes

The stated application concentrations are suggested starting points. Titration of the IFITM5 antibody may be required due to differences in protocols and secondary/substrate sensitivity.

Immunogen

A portion of amino acids 55-83 from the human protein was used as the immunogen for the IFITM5 antibody.

Storage

Aliquot the IFITM5 antibody and store frozen at -20oC or colder. Avoid repeated freeze-thaw cycles.

Cross
Bulk Quote Request Form
Name*:
Organization*:
Email*:
Phone Number*:
Catalog No.*:
Comments and Specifics(amount, formulation, etc.)*:
Validation code: Captchapackage Image


Can't read the image? click here to refresh.
    *required field

Your bulk quote request has been submitted successfully!

Please contact us if you have any questions.