• Tel: 858.663.9055
  • SeparatorEmail: info@nsjbio.com
  • Tel: 858.663.9055
  • Email: info@nsjbio.com
Home >> Antibodies >> IFI44L Antibody / Interferon-induced protein 44-like

IFI44L Antibody / Interferon-induced protein 44-like (FY12668)

  Catalog No Formulation Size Price (USD)  
Image FY12668 Adding 0.2 ml of distilled water will yield a concentration of 500 ug/ml 100 ug 449
Bulk quote request
Immunofluorescent staining of IFI44L using anti-IFI44L antibody (green). IFI44L was detected in an immunocytochemical section of SiHa cells. Enzyme antigen retrieval was performed using IHC enzyme antigen retrieval reagent for 15 mins. The cells were blocked with 10% goat serum. And then incubated with 5 ug/ml rabbit anti-IFI44L antibody overnight at 4oC. DyLight 488 Conjugated Goat Anti-Rabbit IgG was used as secondary antibody at 1:500 dilution and incubated for 30 minutes at 37oC. The section was counterstained with DAPI nuclear stain (blue). Visualize using a fluorescence microscope and filter sets appropriate for the label used.
Western blot analysis of IFI44L using anti-IFI44L antibody. Lane 1: human SiHa whole cell lysates, Lane 2: human PC-3 whole cell lysates, Lane 3: human Hela whole cell lysates, Lane 4: monkey COS-7 whole cell lysates, Lane 5: mouse NRK whole cell lysates. After electrophoresis, proteins were transferred to a nitrocellulose membrane at 150 mA for 50-90 minutes. Blocked the membrane with 5% non-fat milk/TBS for 1.5 hour at RT. The membrane was incubated with rabbit anti-IFI44L antibody at 0.5 ug/ml overnight at 4oC, then washed with TBS-0.1%Tween 3 times with 5 minutes each and probed with a goat anti-rabbit IgG-HRP secondary antibody at a dilution of 1:5000 for 1.5 hour at RT. The signal was developed using enhanced chemiluminescent. A specific band was detected for IFI44L at approximately 51 kDa. The expected molecular weight of IFI44L is ~51 kDa.
Immunohistochemical staining of IFI44L using anti-IFI44L antibody. IFI44L was detected in a paraffin-embedded section of human stomach cancer tissue. Heat mediated antigen retrieval was performed in EDTA buffer (pH 8.0, epitope retrieval solution). The tissue section was blocked with 10% goat serum. The tissue section was then incubated with 2 ug/ml rabbit anti-IFI44L antibody overnight at 4oC. Peroxidase Conjugated Goat Anti-rabbit IgG was used as secondary antibody and incubated for 30 minutes at 37oC. The tissue section was developed using an HRP secondary and DAB substrate.
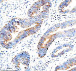
Immunohistochemical staining of IFI44L using anti-IFI44L antibody. IFI44L was detected in a paraffin-embedded section of human non-small cell lung cancer tissue. Heat mediated antigen retrieval was performed in EDTA buffer (pH 8.0, epitope retrieval solution). The tissue section was blocked with 10% goat serum. The tissue section was then incubated with 2 ug/ml rabbit anti-IFI44L antibody overnight at 4oC. Peroxidase Conjugated Goat Anti-rabbit IgG was used as secondary antibody and incubated for 30 minutes at 37oC. The tissue section was developed using an HRP secondary and DAB substrate.
Flow Cytometry analysis of SiHa cells using anti-IFI44L antibody. Overlay histogram showing SiHa cells stained with (Blue line). To facilitate intracellular staining, cells were fixed with 4% paraformaldehyde and permeabilized with permeabilization buffer. The cells were blocked with 10% normal goat serum. And then incubated with rabbit anti-IFI44L antibody (1 ug/million cells) for 30 min at 20oC. DyLight 488 conjugated goat anti-rabbit IgG (5-10 ug/million cells) was used as secondary antibody for 30 minutes at 20oC. Isotype control antibody (Green line) was rabbit IgG (1 ug/million cells) used under the same conditions. Unlabelled sample without incubation with primary antibody and secondary antibody (Red line) was used as a blank control.
Availability 1-2 days
Species Reactivity Human, Monkey, Mouse, Rat
Format Lyophilized
Host Rabbit
Clonality Polyclonal (rabbit origin)
Isotype Rabbit IgG
Purity Immunogen affinity purified
Buffer Each vial contains 4 mg Trehalose, 0.9 mg NaCl, 0.2 mg Na2HPO4.
UniProt Q53G44
Localization Cytoplasm
Applications Western Blot : 0.25-0.5ug/ml
Immunohistochemistry : 2-5ug/ml
Immunocytochemistry/Immunofluorescence : 5ug/ml
Flow Cytometry : 1-3ug/million cells
ELISA : 0.1-0.5ug/ml
Limitations This IFI44L antibody is available for research use only.
Review this product on BioCompare and get a $20 Amazon gift card

Description

IFI44L antibody detects Interferon-induced protein 44-like, an interferon-stimulated gene product that mediates antiviral defense and immune regulation. IFI44L is strongly induced by type I interferons and viral infection and contributes to suppression of viral replication and modulation of innate immune signaling. The IFI44L antibody is widely used in immunology and virology research to study interferon responses and antiviral mechanisms.

IFI44L is encoded by the IFI44L gene on human chromosome 1p31.1. The protein is approximately 444 amino acids in length and localizes primarily in the cytoplasm, with some nuclear presence following interferon stimulation. Although its exact biochemical function remains under investigation, IFI44L is known to interact with cytoskeletal and RNA-binding proteins, influencing viral RNA recognition and replication.

The IFI44L antibody detects a 49 kilodalton protein by western blot and shows diffuse cytoplasmic staining under immunofluorescence microscopy. IFI44L expression is tightly correlated with type I interferon activity, serving as a biomarker for systemic lupus erythematosus and other interferonopathies. It enhances the antiviral state by restricting replication of RNA viruses such as influenza, hepatitis C, and coronaviruses through modulation of double-stranded RNA signaling and translation inhibition.

In addition to antiviral roles, IFI44L modulates immune cell differentiation and inflammation. Elevated IFI44L levels contribute to interferon signature profiles observed in autoimmune diseases, whereas reduced expression can impair viral clearance. Epigenetic regulation of the IFI44L promoter influences susceptibility to immune dysregulation and chronic infection.

Because IFI44L serves as a downstream effector of interferon signaling, it provides a useful marker for evaluating innate immune activation and viral suppression. NSJ Bioreagents provides a validated IFI44L antibody optimized for its applications, supporting research into antiviral defense, immune regulation, and interferon-stimulated gene expression.

Application Notes

Optimal dilution of the IFI44L antibody should be determined by the researcher.

Immunogen

E.coli-derived human IFI44L recombinant protein (Position: R16-I452) was used as the immunogen for the IFI44L antibody.

Storage

After reconstitution, the IFI44L antibody can be stored for up to one month at 4oC. For long-term, aliquot and store at -20oC. Avoid repeated freezing and thawing.

Cross
Bulk Quote Request Form
Name*:
Organization*:
Email*:
Phone Number*:
Catalog No.*:
Comments and Specifics(amount, formulation, etc.)*:
Validation code: Captchapackage Image


Can't read the image? click here to refresh.
    *required field

Your bulk quote request has been submitted successfully!

Please contact us if you have any questions.