• Tel: 858.663.9055
  • SeparatorEmail: info@nsjbio.com
  • Tel: 858.663.9055
  • Email: info@nsjbio.com
Home >> Antibodies >> IER3 Antibody / Immediate early response gene 3

IER3 Antibody / Immediate early response gene 3 (FY12932)

  Catalog No Formulation Size Price (USD)  
Image FY12932 Adding 0.2 ml of distilled water will yield a concentration of 500 ug/ml 100 ug 449
Bulk quote request
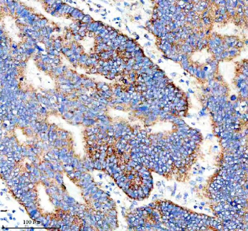
Immunohistochemical staining of IER3 using anti-IER3 antibody. IER3 was detected in a paraffin-embedded section of human stomach cancer tissue. Heat mediated antigen retrieval was performed in EDTA buffer (pH 8.0, epitope retrieval solution). The tissue section was blocked with 10% goat serum. The tissue section was then incubated with 2 ug/ml rabbit anti-IER3 antibody overnight at 4oC. Peroxidase Conjugated Goat Anti-rabbit IgG was used as secondary antibody and incubated for 30 minutes at 37oC. The tissue section was developed using an HRP secondary and DAB substrate.
Western blot analysis of IER3 using anti-IER3 antibody. Electrophoresis was performed on a 12% SDS-PAGE gel at 80V (Stacking gel) / 120V (Resolving gel) for 2 hours. Lane 1: human RT4 whole cell lysates, Lane 2: human 293T whole cell lysates, Lane 3: human Jurkat whole cell lysates. After electrophoresis, proteins were transferred to a nitrocellulose membrane at 150 mA for 50-90 minutes. Blocked the membrane with 5% non-fat milk/TBS for 1.5 hour at RT. The membrane was incubated with rabbit anti-IER3 antibody at 0.5 ug/ml overnight at 4oC, then washed with TBS-0.1%Tween 3 times with 5 minutes each and probed with a goat anti-rabbit IgG-HRP secondary antibody at a dilution of 1:5000 for 1.5 hour at RT. The signal was developed using an ECL Plus Western Blotting Substrate. A band at ~23 kDa is detected across samples, running higher than the ~17 kDa prediction. The upward shift is consistent with the known anomalous migration of the acidic, serine-rich IER3 protein and phosphorylation-dependent mobility differences reported in cell stress conditions.
Flow Cytometry analysis of Jurkat cells using anti-IER3 antibody. Overlay histogram showing Jurkat cells stained with (Blue line). The cells were fixed with 4% paraformaldehyde and blocked with 10% normal goat serum. And then incubated with rabbit anti-IER3 antibody (1 ug/million cells) for 30 min at 20oC. DyLight 488 conjugated goat anti-rabbit IgG (5-10 ug/million cells) was used as secondary antibody for 30 minutes at 20oC. Isotype control antibody (Green line) was rabbit IgG (1 ug/million cells) used under the same conditions. Unlabelled sample without incubation with primary antibody and secondary antibody (Red line) was used as a blank control.
Availability 1-2 days
Species Reactivity Human
Format Lyophilized
Host Rabbit
Clonality Polyclonal (rabbit origin)
Isotype Rabbit IgG
Purity Immunogen affinity purified
Buffer Each vial contains 4 mg Trehalose, 0.9 mg NaCl, 0.2 mg Na2HPO4.
UniProt P46695
Applications Western Blot : 0.25-0.5ug/ml
Immunohistochemistry : 2-5ug/ml
Flow Cytometry : 1-3ug/million cells
Limitations This IER3 antibody is available for research use only.
Review this product on BioCompare and get a $20 Amazon gift card

Description

IER3 antibody detects Immediate early response gene 3 protein, a stress-inducible regulator of apoptosis and cell survival pathways. The UniProt recommended name is Immediate early response 3 (IER3), also known as IEX-1, DIF-2, gly96, and radiation-inducible protein. IER3 acts as a rapid responder to stress, mitogenic, and inflammatory signals, mediating downstream responses to NF-kappaB, p53, and MAPK pathways. Its expression is transiently induced by stimuli such as UV radiation, cytokines (TNF-alpha, IL-1), and growth factors, reflecting its role in adaptive cell signaling.

Functionally, IER3 antibody targets a multifunctional protein that modulates apoptosis by interacting with BCL2 family members and regulating mitochondrial membrane potential. It can act as either pro- or anti-apoptotic depending on cell context and stimulus. IER3 has been implicated in cell cycle control, stress tolerance, and immune regulation, with overexpression protecting cells from TNF-induced apoptosis via suppression of caspase-3 activation. Conversely, downregulation promotes sensitivity to radiation and chemotherapeutic stress, linking IER3 to cancer therapy resistance mechanisms.

IER3 localizes mainly to the cytoplasm but can also translocate to the nucleus in certain stress conditions. The IER3 antibody is valuable for monitoring expression patterns across tissues, including spleen, thymus, and epithelial cells, and in cancers such as leukemia, breast, and colon carcinoma. The IER3 gene is located on chromosome 6p21.33, close to the major histocompatibility complex (MHC) region, encoding a 156-amino acid protein. Its promoter contains NF-kappaB binding sites, allowing rapid induction following stress or infection. IER3 acts as a negative feedback regulator in immune responses, balancing cytokine signaling and cellular resilience.

IER3 also regulates ERK and AKT phosphorylation states, controlling cellular energy metabolism and proliferation. Its modulation of mitochondrial ATP synthase interaction contributes to ROS balance. NSJ Bioreagents provides IER3 antibody reagents optimized for detecting both native and induced protein forms across species for use in multiple applications.

Through its unique duality in regulating cell survival, IER3 remains a critical molecular switch in stress adaptation, immune tolerance, and oncogenesis.

Application Notes

Optimal dilution of the IER3 antibody should be determined by the researcher.

Immunogen

A synthetic peptide corresponding to a sequence at the C-terminus of human IER3 was used as the immunogen for the IER3 antibody.

Storage

After reconstitution, the IER3 antibody can be stored for up to one month at 4oC. For long-term, aliquot and store at -20oC. Avoid repeated freezing and thawing.

Cross
Bulk Quote Request Form
Name*:
Organization*:
Email*:
Phone Number*:
Catalog No.*:
Comments and Specifics(amount, formulation, etc.)*:
Validation code: Captchapackage Image


Can't read the image? click here to refresh.
    *required field

Your bulk quote request has been submitted successfully!

Please contact us if you have any questions.