• Tel: 858.663.9055
  • SeparatorEmail: info@nsjbio.com
  • Tel: 858.663.9055
  • Email: info@nsjbio.com
Home >> Antibodies >> IDH3G Antibody

IDH3G Antibody (R33469)

  Catalog No Formulation Size Price (USD)  
Image R33469-100UG 0.5 mg/ml in 1X TBS, pH7.3, with 0.5% BSA (US sourced) and 0.02% sodium azide 100 ug 475
Bulk quote request
Western blot testing of MCF7 lysate with IDH3G antibody at 0.5ug/ml. Predicted molecular weight: ~41kDa.
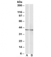
Western blot of rat (A) and pig (B) heart lysate with IDH3G antibody at 1ug/ml. Predicted molecular weight: ~41kDa.
Availability 1-3 business days
Species Reactivity Human, Mouse, Rat, Pig
Predicted Reactivity Cow, Dog
Format Antigen affinity purified
Host Goat
Clonality Polyclonal (goat origin)
Isotype Goat Ig
Purity Antigen affinity
Gene ID 3421
Applications Western Blot : 0.5-2ug/ml
ELISA (peptide) LOD : 1:16000
Limitations This IDH3G antibody is available for research use only.
Review this product on BioCompare and get a $20 Amazon gift card

Related Products

Description

Additional name(s) for this target protein: Isocitrate dehydrogenase 3 (NAD+) gamma

Application Notes

Optimal dilution of the IDH3G antibody should be determined by the researcher.

Immunogen

Amino acids DHLKLHSYATSIRK were used as the immunogen for this IDH3G antibody.

Storage

Aliquot and store the IDH3G antibody at -20oC.

Cross
Bulk Quote Request Form
Name*:
Organization*:
Email*:
Phone Number*:
Catalog No.*:
Comments and Specifics(amount, formulation, etc.)*:
Validation code: Captchapackage Image


Can't read the image? click here to refresh.
    *required field

Your bulk quote request has been submitted successfully!

Please contact us if you have any questions.