• Tel: 858.663.9055
  • SeparatorEmail: info@nsjbio.com
  • Tel: 858.663.9055
  • Email: info@nsjbio.com
Home >> Antibodies >> IDH3B Antibody / Isocitric dehydrogenase subunit beta

IDH3B Antibody / Isocitric dehydrogenase subunit beta (FY13009)

  Catalog No Formulation Size Price (USD)  
Image FY13009 Adding 0.2 ml of distilled water will yield a concentration of 500 ug/ml 100 ug 449
Bulk quote request
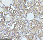
Immunohistochemical staining of IDH3B using anti-IDH3B antibody. IDH3B was detected in a paraffin-embedded section of follicles of human thyroid cancer tissue. Heat mediated antigen retrieval was performed in EDTA buffer (pH 8.0, epitope retrieval solution). The tissue section was blocked with 10% goat serum. The tissue section was then incubated with 2 ug/ml rabbit anti-IDH3B antibody overnight at 4oC. Peroxidase Conjugated Goat Anti-rabbit IgG was used as secondary antibody and incubated for 30 minutes at 37oC. The tissue section was developed using an HRP secondary and DAB substrate.
Western blot analysis of IDH3B using anti-IDH3B antibody. Lane 1: human LANAP whole cell lysates, Lane 2: human Jurkat whole cell lysates, Lane 3: human RT4 whole cell lysates, Lane 4: human U251 whole cell lysates, Lane 5: rat brain tissue lysates, Lane 6: rat heart tissue lysates, Lane 7: mouse brain tissue lysates, Lane 8: mouse heart tissue lysates. After electrophoresis, proteins were transferred to a nitrocellulose membrane at 150 mA for 50-90 minutes. Blocked the membrane with 5% non-fat milk/TBS for 1.5 hour at RT. The membrane was incubated with rabbit anti-IDH3B antibody at 0.25 ug/ml overnight at 4oC, then washed with TBS-0.1%Tween 3 times with 5 minutes each and probed with a goat anti-rabbit IgG-HRP secondary antibody at a dilution of 1:5000 for 1.5 hour at RT. The signal was developed using enhanced chemiluminescent. A specific band was detected for IDH3B at approximately 42 kDa. The expected molecular weight of IDH3B is ~42 kDa.
Immunohistochemical staining of IDH3B using anti-IDH3B antibody. IDH3B was detected in a paraffin-embedded section of follicles of human thyroid cancer tissue. Heat mediated antigen retrieval was performed in EDTA buffer (pH 8.0, epitope retrieval solution). The tissue section was blocked with 10% goat serum. The tissue section was then incubated with 2 ug/ml rabbit anti-IDH3B antibody overnight at 4oC. Peroxidase Conjugated Goat Anti-rabbit IgG was used as secondary antibody and incubated for 30 minutes at 37oC. The tissue section was developed using an HRP secondary and DAB substrate.
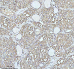
Immunohistochemical staining of IDH3B using anti-IDH3B antibody. IDH3B was detected in a paraffin-embedded section of follicles of human thyroid cancer tissue. Heat mediated antigen retrieval was performed in EDTA buffer (pH 8.0, epitope retrieval solution). The tissue section was blocked with 10% goat serum. The tissue section was then incubated with 2 ug/ml rabbit anti-IDH3B antibody overnight at 4oC. Peroxidase Conjugated Goat Anti-rabbit IgG was used as secondary antibody and incubated for 30 minutes at 37oC. The tissue section was developed using an HRP secondary and DAB substrate.
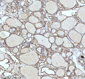
Immunohistochemical staining of IDH3B using anti-IDH3B antibody. IDH3B was detected in a paraffin-embedded section of follicles of human thyroid cancer tissue. Heat mediated antigen retrieval was performed in EDTA buffer (pH 8.0, epitope retrieval solution). The tissue section was blocked with 10% goat serum. The tissue section was then incubated with 2 ug/ml rabbit anti-IDH3B antibody overnight at 4oC. Peroxidase Conjugated Goat Anti-rabbit IgG was used as secondary antibody and incubated for 30 minutes at 37oC. The tissue section was developed using an HRP secondary and DAB substrate.
Flow Cytometry analysis of JK cells using anti-IDH3B antibody. Overlay histogram showing JK cells stained with (Blue line). To facilitate intracellular staining, cells were fixed with 4% paraformaldehyde and permeabilized with permeabilization buffer. The cells were blocked with 10% normal goat serum. And then incubated with rabbit anti-IDH3B antibody (1 ug/million cells) for 30 min at 20oC. DyLight 488 conjugated goat anti-rabbit IgG (5-10 ug/million cells) was used as secondary antibody for 30 minutes at 20oC. Isotype control antibody (Green line) was rabbit IgG (1 ug/million cells) used under the same conditions. Unlabelled sample (Red line) was also used as a control.
Immunoprecipitating IDH3B in U251 whole cell lysate. Western blot analysis of IDH3B using anti-IDH3B antibody. Lane 1: U251 whole cell lysates (30ug) Lane 2: Rabbit control IgG instead of anti-IDH3B antibody in U251 whole cell lysate. Lane 3: anti-IDH3B antibody (2ug) + U251 whole cell lysate (500ug) After electrophoresis, proteins were transferred to a membrane. Then the membrane was incubated with rabbit anti-IDH3B antibody at a dilution of 0.5 ug/ml and probed with a goat anti-rabbit IgG-HRP secondary antibody. The signal is developed using ECL Plus Western Blotting Substrate. A specific band was detected for IDH3B at approximately 42 kDa. The expected molecular weight of IDH3B is at 42 kDa.
Availability 1-2 days
Species Reactivity Human, Mouse, Rat
Format Lyophilized
Host Rabbit
Clonality Polyclonal (rabbit origin)
Isotype Rabbit IgG
Purity Immunogen affinity purified
Buffer Each vial contains 4 mg Trehalose, 0.9 mg NaCl, 0.2 mg Na2HPO4.
UniProt O43837
Localization Cytoplasm (Mitochondria)
Applications ELISA : 0.1-0.5ug/ml
Flow Cytometry : 1-3ug/million cells
Immunoprecipitation : 2-4ug/500ug of lysate
Immunohistochemistry : 2-5ug/ml
Western Blot : 0.25-0.5ug/ml
Limitations This IDH3B antibody is available for research use only.
Review this product on BioCompare and get a $20 Amazon gift card

Related Products

  • Applications : WB, ELISA (peptide)
    Reactivity : Human, Mouse, Rat, Pig
    Pred. Reactivity : Dog
  • Applications : WB, ELISA (peptide)
    Reactivity : Human, Mouse, Rat
    Pred. Reactivity : Cow, Dog, Pig
  • Applications : IHC-P
    Reactivity : Zebrafish

Description

IDH3B antibody detects Isocitrate dehydrogenase [NAD]-subunit beta, a mitochondrial enzyme subunit that participates in the tricarboxylic acid (TCA) cycle. The UniProt recommended name is Isocitrate dehydrogenase [NAD] subunit beta, mitochondrial (IDH3B). This enzyme catalyzes the oxidative decarboxylation of isocitrate to alpha-ketoglutarate, producing NADH that fuels ATP synthesis through oxidative phosphorylation.

Functionally, IDH3B antibody identifies a 389-amino-acid mitochondrial matrix protein that forms part of the heterotetrameric IDH3 enzyme complex, along with alpha and gamma subunits (IDH3A and IDH3G). IDH3B provides structural stability and catalytic support, maintaining proper enzyme kinetics and cofactor affinity. This enzyme's reaction is irreversible under physiological conditions and represents a key regulatory step in the TCA cycle, linking carbohydrate, lipid, and amino acid metabolism.

The IDH3B gene is located on chromosome 20p13 and encodes a protein expressed in energy-demanding tissues such as heart, skeletal muscle, and brain. IDH3B ensures efficient NADH production for ATP generation and contributes to metabolic integration between glycolysis and mitochondrial respiration. Its expression adapts to cellular energy status and oxygen availability, aligning mitochondrial metabolism with energy demand.

Mutations or reduced expression of IDH3B can impair mitochondrial respiration, resulting in metabolic dysfunction and neurodegenerative phenotypes. In contrast to NADP+-dependent IDH1 and IDH2, IDH3B is strictly NAD+-dependent and operates exclusively within mitochondria. Dysregulation of IDH3B expression has been observed in cancers and inherited mitochondrial disorders, where altered TCA cycle flux influences redox homeostasis and biosynthetic metabolism.

IDH3B antibody is widely used in metabolism, mitochondrial biology, and enzymology research. It is suitable for western blotting, immunofluorescence, and metabolic profiling assays to detect IDH3B in tissue or cell lysates. This antibody aids in studying mitochondrial energy metabolism, redox regulation, and enzyme complex formation. In disease models, IDH3B serves as a biomarker for mitochondrial dysfunction and altered oxidative metabolism.

Structurally, IDH3B forms part of the IDH3 heterotetramer, contributing to the active site environment through hydrogen-bonding and metal ion coordination. Post-translational modifications, including phosphorylation and acetylation, regulate its catalytic efficiency and protein-protein interactions. NSJ Bioreagents provides IDH3B antibody reagents validated for use in mitochondrial metabolism, redox regulation, and TCA cycle studies.

Application Notes

Optimal dilution of the IDH3B antibody should be determined by the researcher.

Immunogen

E.coli-derived human IDH3B recombinant protein (Position: A32-D362) was used as the immunogen for the IDH3B antibody.

Storage

After reconstitution, the IDH3B antibody can be stored for up to one month at 4oC. For long-term, aliquot and store at -20oC. Avoid repeated freezing and thawing.

Cross
Bulk Quote Request Form
Name*:
Organization*:
Email*:
Phone Number*:
Catalog No.*:
Comments and Specifics(amount, formulation, etc.)*:
Validation code: Captchapackage Image


Can't read the image? click here to refresh.
    *required field

Your bulk quote request has been submitted successfully!

Please contact us if you have any questions.