• Tel: 858.663.9055
  • SeparatorEmail: info@nsjbio.com
  • Tel: 858.663.9055
  • Email: info@nsjbio.com
Home >> Antibodies >> IDH1-R132H Antibody / Isocitrate Dehydrogenase

IDH1-R132H Antibody / Isocitrate Dehydrogenase [clone IDH1.R132H/7328R] (V4936)

  Catalog No Formulation Size Price (USD)  
Image V4936-100UG 0.2 mg/ml in 1X PBS with 0.1 mg/ml BSA (US sourced), 0.05% sodium azide 100 ug 559
Image
V4936-20UG 0.2 mg/ml in 1X PBS with 0.1 mg/ml BSA (US sourced), 0.05% sodium azide 20 ug 259
Image
V4936SAF-100UG 1 mg/ml in 1X PBS; BSA free, sodium azide free 100 ug 559
Microvalidated Recrabbitmono
Bulk quote request
IHC staining of FFPE human brain tissue with IDH1-R132H mutation with IDH1-R132H antibody (clone IDH1.R132H/7328R). Inset: PBS used in place of primary Ab (secondary Ab negative control). HIER: boil tissue sections in pH 9 10mM Tris with 1mM EDTA for 20 min and allow to cool before testing.
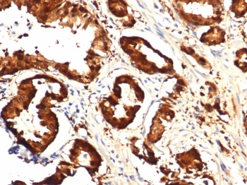
IHC staining of FFPE human prostate tissue with IDH1-R132H mutation with IDH1-R132H antibody (clone IDH1.R132H/7328R). HIER: boil tissue sections in pH 9 10mM Tris with 1mM EDTA for 20 min and allow to cool before testing.
Availability 1-3 business days
Species Reactivity Human
Format Purified
Host Rabbit
Clonality Recombinant Rabbit Monoclonal
Isotype Rabbit IgG, kappa
Clone Name IDH1.R132H/7328R
Purity Protein A/G affinity
UniProt O75874
Localization Cytoplasm, Nucleus
Applications Immunohistochemistry (FFPE) : 1-2ug/ml for 30 min at RT
Limitations This IDH1-R132H antibody is available for research use only.
Review this product on BioCompare and get a $20 Amazon gift card

Related Products

Description

IDH1 R132H antibody binds to IDH1-mutated protein, but does not bind the wild-type IDH1 protein. IDH1 R132H point mutations are frequently seen in World Health Organization grade II and III gliomas and are believed to constitute an early step in tumorigenesis. IDH1 R132H can be used as a diagnostic marker to help differentiate infiltrating gliomas from gliosis, and as a prognostic marker for gliomas and secondary glioblastoma multiforme. IDH1 R132H antibody shows strong cytoplasmic staining and weaker nuclear staining in tumor cells with the R132H-mutated peptide. Diffuse staining of the fibrillary tumor matrix is also seen.

Application Notes

Optimal dilution of the IDH1-R132H antibody should be determined by the researcher.

Immunogen

A recombinant partial protein sequence (within amino acids 1-200) from the human protein was used as the immunogen for the IDH1-R132H antibody.

Storage

Aliquot the IDH1-R132H antibody and store frozen at -20oC or colder. Avoid repeated freeze-thaw cycles.

Cross
Bulk Quote Request Form
Name*:
Organization*:
Email*:
Phone Number*:
Catalog No.*:
Comments and Specifics(amount, formulation, etc.)*:
Validation code: Captchapackage Image


Can't read the image? click here to refresh.
    *required field

Your bulk quote request has been submitted successfully!

Please contact us if you have any questions.