• Tel: 858.663.9055
  • SeparatorEmail: info@nsjbio.com
  • Tel: 858.663.9055
  • Email: info@nsjbio.com
Home >> Antibodies >> IDH1 Antibody

IDH1 Antibody (F50422)

  Catalog No Formulation Size Price (USD)  
Image F50422-0.4ML In 1X PBS, pH 7.4, with 0.09% sodium azide 0.4 ml 439
Image
F50422-0.08ML In 1X PBS, pH 7.4, with 0.09% sodium azide 0.08 ml 205
Bulk quote request
Western blot analysis of lysate from (1) HepG2, (2) MCF-7 cell line, (3) human liver and (4) rat liver tissue using IDH1 antibody at 1:1000. Predicted molecular weight ~46 kDa.
Western blot analysis of IDH1 antibody and HepG2 cell line and mouse liver tissue lysate. Predicted molecular weight ~46 kDa.
Confocal immunofluorescent analysis of IDH1 antibody with HepG2 cells followed by Alexa Fluor 488-conjugated goat anti-rabbit lgG (green). DAPI was used as a nuclear counterstain (blue).
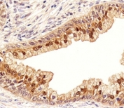
IHC analysis of FFPE human prostate section using IDH1 antibody; Ab was diluted at 1:100.
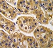
IHC analysis of FFPE human hepatocarcinoma tissue stained with IDH1 antibody
IDH1 antibody flow cytometric analysis of 293 cells (right histogram) compared to a negative control (left histogram). FITC-conjugated goat-anti-rabbit secondary Ab was used for the analysis.
Availability 1-3 business days
Species Reactivity Human, Mouse
Predicted Reactivity Bovine, Rat
Format Purified
Host Rabbit
Clonality Polyclonal (rabbit origin)
Isotype Rabbit Ig
Purity Purified
UniProt O75874
Localization Cytoplasmic, nuclear
Applications Western Blot : 1:1000
Immunofluorescence : 1:10-1:50
IHC (Paraffin) : 1:50-1:100
Flow Cytometry : 1:10-1:50
Limitations This IDH1 antibody is available for research use only.
Review this product on BioCompare and get a $20 Amazon gift card

Related Products

Description

IDH1 belongs to two distinct subclasses. The protein is the NADP(+)-dependent Isocitrate Dehydrogenase found in the cytoplasm and peroxisomes. This protein contains the PTS-1 peroxisomal targeting signal sequence. The presence of this enzyme in peroxisomes suggests roles in the regeneration of NADPH for intraperoxisomal reductions, such as the conversion of 2, 4-dienoyl-CoAs to 3-enoyl-CoAs, as well as in peroxisomal reactions that consume 2-oxoglutarate, namely the alpha-hydroxylation of phytanic acid. The cytoplasmic enzyme serves a significant role in cytoplasmic NADPH production. [Wiki]

Application Notes

Titration of the IDH1 antibody may be required due to differences in protocols and secondary/substrate sensitivity.

Immunogen

A portion of amino acids 116-143 from the human protein was used as the immunogen for this IDH1 antibody.

Storage

Aliquot the IDH1 antibody and store frozen at -20oC or colder. Avoid repeated freeze-thaw cycles.

Cross
Bulk Quote Request Form
Name*:
Organization*:
Email*:
Phone Number*:
Catalog No.*:
Comments and Specifics(amount, formulation, etc.)*:
Validation code: Captchapackage Image


Can't read the image? click here to refresh.
    *required field

Your bulk quote request has been submitted successfully!

Please contact us if you have any questions.