• Tel: 858.663.9055
  • SeparatorEmail: info@nsjbio.com
  • Tel: 858.663.9055
  • Email: info@nsjbio.com
Home >> Antibodies >> ICAM1 Antibody / CD54

ICAM1 Antibody / CD54 [clone 32I16] (FY13020)

  Catalog No Formulation Size Price (USD)  
Image FY13020 Rabbit IgG in phosphate buffered saline, pH 7.4, 150mM NaCl, 0.02% sodium azide and 50% glycerol, 0.4-0.5mg/ml BSA 100 ul 449
Microvalidated Recrabbitmono
Bulk quote request
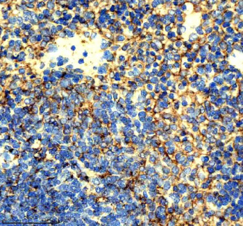
Immunohistochemical staining of ICAM1 using anti-ICAM1 antibody. ICAM1 was detected in a paraffin-embedded section of mouse spleen tissue. Heat mediated antigen retrieval was performed in EDTA buffer (pH 8.0, epitope retrieval solution). The tissue section was blocked with 10% goat serum. The tissue section was then incubated with 1:50 rabbit anti-ICAM1 antibody overnight at 4oC. Peroxidase Conjugated Goat Anti-rabbit IgG was used as secondary antibody and incubated for 30 minutes at 37oC. The tissue section was developed using an HRP secondary and DAB substrate.
Immunohistochemical staining of ICAM1 using anti-ICAM1 antibody. ICAM1 was detected in a paraffin-embedded section of mouse spleen tissue. Heat mediated antigen retrieval was performed in EDTA buffer (pH 8.0, epitope retrieval solution). The tissue section was blocked with 10% goat serum. The tissue section was then incubated with 1:50 rabbit anti-ICAM1 antibody overnight at 4oC. Peroxidase Conjugated Goat Anti-rabbit IgG was used as secondary antibody and incubated for 30 minutes at 37oC. The tissue section was developed using an HRP secondary and DAB substrate.
Western blot analysis of ICAM1 using anti-ICAM1 antibody. Electrophoresis was performed on a 8% SDS-PAGE gel at 80V (Stacking gel) / 120V (Resolving gel) for 2 hours. Lane 1: mouse liver tissue lysates, Lane 2: mouse spleen tissue lysates, Lane 3: mouse kidney tissue lysates, Lane 4: mouse RAW264.7 whole cell lysates. After electrophoresis, proteins were transferred to a nitrocellulose membrane at 150 mA for 50-90 minutes. Blocked the membrane with 5% non-fat milk/TBS for 1.5 hour at RT. The membrane was incubated with rabbit anti-ICAM1 antibody at 1:500 overnight at 4oC, then washed with TBS-0.1%Tween 3 times with 5 minutes each and probed with a goat anti-rabbit IgG-HRP secondary antibody at a dilution of 1:5000 for 1.5 hour at RT. The signal was developed using an ECL Plus Western Blotting Substrate. Predicted molecular weight: ~58 kDa (unmodified), 75-115 kDa (glycosylated).
Availability 2-3 weeks
Species Reactivity Mouse
Format Liquid
Host Rabbit
Clonality Recombinant Rabbit Monoclonal
Isotype Rabbit IgG
Clone Name 32I16
Purity Affinity chromatography
Buffer Rabbit IgG in phosphate buffered saline, pH 7.4, 150mM NaCl, 0.02% sodium azide and 50% glycerol, 0.4-0.5mg/ml BSA.
UniProt P05362
Localization Cell surface
Applications Western Blot : 1:500-1:2000
Immunohistochemistry : 1:50-1:200
Limitations This ICAM1 antibody is available for research use only.
Review this product on BioCompare and get a $20 Amazon gift card

Related Products

Description

ICAM1 antibody detects Intercellular adhesion molecule 1, encoded by the ICAM1 gene. Intercellular adhesion molecule 1 is a cell surface glycoprotein belonging to the immunoglobulin superfamily. It is expressed on endothelial cells, epithelial cells, and immune cells, where it functions as an adhesion receptor binding to integrins such as LFA1 and Mac1. ICAM1 antibody provides researchers with a critical reagent for studying immune cell trafficking, inflammation, and signaling. The protein is upregulated in response to cytokines such as TNF alpha and IL1 beta, making it a marker of inflammation and vascular activation.

Intercellular adhesion molecule 1 plays a central role in leukocyte adhesion and transmigration across endothelial barriers. By binding LFA1 on lymphocytes and neutrophils, ICAM1 facilitates firm adhesion following rolling interactions mediated by selectins. Research using ICAM1 antibody has demonstrated that blockade of this interaction reduces immune cell recruitment, underscoring its role in inflammatory responses. This pathway is particularly important in autoimmune disease, infection, and transplant rejection, where excessive leukocyte infiltration contributes to pathology.

ICAM1 also contributes to signaling pathways that regulate cell survival, apoptosis, and cytoskeletal rearrangements. Engagement of ICAM1 initiates intracellular signaling cascades involving kinases and actin binding proteins. Studies with ICAM1 antibody have revealed that these signals promote endothelial barrier regulation, angiogenesis, and immune synapse formation. Because of these roles, Intercellular adhesion molecule 1 is more than a passive adhesion molecule; it actively shapes cellular communication and tissue dynamics.

In oncology, ICAM1 expression is altered in many cancers. Elevated ICAM1 on tumor cells can promote immune recognition, but in other contexts it facilitates tumor progression and metastasis by enhancing interactions with immune cells and endothelial barriers. Research with ICAM1 antibody has demonstrated that ICAM1 expression correlates with prognosis in melanoma, breast, and pancreatic cancer, making it both a biomarker and potential therapeutic target. Viral pathogens such as rhinoviruses also exploit ICAM1 as a receptor for entry, further highlighting its diverse biological importance.

ICAM1 antibody is applied in western blotting, immunohistochemistry, immunofluorescence, and flow cytometry. Western blotting confirms expression changes under inflammatory stimulation, while immunohistochemistry highlights localization in inflamed tissues and tumors. Flow cytometry with ICAM1 antibody allows quantification of surface expression on immune and endothelial cells. These applications provide critical insight into adhesion biology and immune regulation.

By supplying validated ICAM1 antibody reagents, NSJ Bioreagents supports research into adhesion, immune trafficking, and inflammatory disease. Detection of Intercellular adhesion molecule 1 enables studies of how adhesion molecules regulate communication between immune cells and tissues in both normal physiology and pathology.

Application Notes

Optimal dilution of the ICAM1 antibody should be determined by the researcher.

Immunogen

A synthesized peptide derived from human ICAM1 / CD54 was used as the immunogen for the ICAM1 antibody.

Storage

Store the ICAM1 antibody at -20oC.

Cross
Bulk Quote Request Form
Name*:
Organization*:
Email*:
Phone Number*:
Catalog No.*:
Comments and Specifics(amount, formulation, etc.)*:
Validation code: Captchapackage Image


Can't read the image? click here to refresh.
    *required field

Your bulk quote request has been submitted successfully!

Please contact us if you have any questions.