• Tel: 858.663.9055
  • SeparatorEmail: info@nsjbio.com
  • Tel: 858.663.9055
  • Email: info@nsjbio.com
Home >> Antibodies >> IA1 Antibody / Insulinoma-associated protein 1 / INSM1

IA1 Antibody / Insulinoma-associated protein 1 / INSM1 [clone INSM1/7992R] (V4819)

  Catalog No Formulation Size Price (USD)  
Image V4819-100UG 0.2 mg/ml in 1X PBS with 0.1 mg/ml BSA (US sourced), 0.05% sodium azide 100 ug 559
Image
V4819-20UG 0.2 mg/ml in 1X PBS with 0.1 mg/ml BSA (US sourced), 0.05% sodium azide 20 ug 259
Image
V4819SAF-100UG 1 mg/ml in 1X PBS; BSA free, sodium azide free 100 ug 559
Microvalidated Recrabbitmono
Bulk quote request
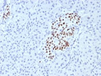
IA1 Antibody / Insulinoma-associated protein 1 (clone INSM1/7992R). Immunohistochemistry analysis of Insulinoma-associated protein 1 (INSM1) in formalin-fixed, paraffin-embedded human pancreas tissue using IA1 antibody (clone INSM1/7992R). Distinct nuclear HRP-DAB staining highlights INSM1-positive endocrine cells within pancreatic islets, consistent with the nuclear localization of this neuroendocrine transcription factor. Surrounding exocrine pancreatic tissue remains largely negative, producing clear contrast between endocrine and non-endocrine compartments. Antigen retrieval was performed by boiling tissue sections in 10 mM Tris with 1 mM EDTA, pH 9, for 20 minutes followed by cooling prior to antibody incubation.
Availability 1-3 business days
Species Reactivity Human
Format Purified
Host Rabbit
Clonality Recombinant Rabbit Monoclonal
Isotype Rabbit IgG, kappa
Clone Name INSM1/7992R
Purity Protein A/G affinity
UniProt Q01101
Localization Nucleus
Applications Immunohistochemistry (FFPE) : 1-2ug/ml for 30 min at RT
Limitations This IA1 antibody is available for research use only.
Review this product on BioCompare and get a $20 Amazon gift card

Related Products

Description

Insulinoma-associated protein 1 (INSM1) is a zinc finger transcription factor encoded by the INSM1 gene and plays a key role in the differentiation and development of neuroendocrine cells. The protein was originally discovered in insulinoma tumors and is widely recognized as a marker of neuroendocrine lineage. IA1 Antibody recognizes this protein, which is also referred to in the literature as Insulinoma-associated protein 1 antibody and INSM1 antibody, and is used to study expression of this transcription factor in endocrine and neuroendocrine cell populations.

INSM1 functions as a transcriptional regulator that controls genes involved in hormone-producing cell differentiation and neuroendocrine lineage specification. During embryonic development, the protein is expressed in progenitor populations that give rise to endocrine tissues including pancreatic islet cells, neuroendocrine cells of the gastrointestinal tract, and certain neuronal lineages. Because INSM1 regulates transcriptional programs required for endocrine cell identity, its expression provides insight into the developmental pathways that generate hormone-secreting cell types.

The INSM1 protein localizes primarily to the nucleus, reflecting its function as a transcription factor. Nuclear localization enables clear identification of INSM1-positive cells when analyzing tissue sections or cellular preparations. In normal adult tissues, expression is typically restricted to specialized neuroendocrine cell populations such as pancreatic islet cells, bronchial neuroendocrine cells, and scattered endocrine cells within gastrointestinal mucosa. These restricted expression patterns make INSM1 a valuable molecular indicator of neuroendocrine differentiation in biological samples.

In tumor biology, INSM1 expression is commonly associated with neuroendocrine neoplasms. Increased levels have been reported in small cell lung carcinoma, pulmonary neuroendocrine tumors, Merkel cell carcinoma, and pancreatic neuroendocrine tumors. Because these tumors often retain transcriptional programs characteristic of neuroendocrine lineage cells, detection of INSM1 can provide useful information about tumor identity and differentiation state.

Large-scale tissue expression studies further illustrate the selective distribution of INSM1 across human tissues. Analysis of diverse normal and cancer samples shows strong expression in neuroendocrine tumors and endocrine cell populations while most non-neuroendocrine epithelial tissues remain largely negative. These patterns highlight the biological specificity of INSM1 and its association with neuroendocrine differentiation pathways.

IA1 Antibody / Insulinoma-associated protein 1 (clone INSM1/7992R) is a recombinant rabbit monoclonal antibody developed to recognize the INSM1 transcription factor in research applications. This reagent supports studies focused on neuroendocrine differentiation, transcriptional regulation in endocrine cell lineages, and the molecular biology of neuroendocrine tumors.

Application Notes

Optimal dilution of the IA1 antibody should be determined by the researcher.

Immunogen

A recombinant partial protein sequence (within amino acids 1-300) from the human protein was used as the immunogen for the IA1 antibody.

Storage

Aliquot the IA1 antibody and store frozen at -20oC or colder. Avoid repeated freeze-thaw cycles.

Alternate Names

INSM1 antibody, Insulinoma-associated 1 antibody, Zinc finger protein INSM1 antibody, Insulinoma-associated transcription factor 1 antibody

Cross
Bulk Quote Request Form
Name*:
Organization*:
Email*:
Phone Number*:
Catalog No.*:
Comments and Specifics(amount, formulation, etc.)*:
Validation code: Captchapackage Image


Can't read the image? click here to refresh.
    *required field

Your bulk quote request has been submitted successfully!

Please contact us if you have any questions.