• Tel: 858.663.9055
  • SeparatorEmail: info@nsjbio.com
  • Tel: 858.663.9055
  • Email: info@nsjbio.com
Home >> Antibodies >> Hydroxyacid oxidase 1 Antibody / HAO1

Hydroxyacid oxidase 1 Antibody / HAO1 (RQ8645)

  Catalog No Formulation Size Price (USD)  
Image RQ8645 0.5mg/ml if reconstituted with 0.2ml sterile DI water 100 ug 449
Bulk quote request
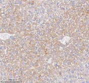
IHC staining of FFPE mouse liver tissue with Hydroxyacid oxidase 1 antibody. HIER: boil tissue sections in pH8 EDTA for 20 min and allow to cool before testing.
IHC staining of FFPE mouse liver tissue with Hydroxyacid oxidase 1 antibody. HIER: boil tissue sections in pH8 EDTA for 20 min and allow to cool before testing.
Western blot testing of 1) rat liver and 2) mouse liver tissue lysate with Hydroxyacid oxidase 1 antibody. Predicted molecular weight ~41 kDa.
Flow cytometry testing of fixed and permeabilized human SiHa cells with Hydroxyacid oxidase 1 antibody at 1ug/million cells (blocked with goat sera); Red=cells alone, Green=isotype control, Blue= Hydroxyacid oxidase 1 antibody.
Availability 1-3 days
Species Reactivity Human, Mouse, Rat
Format Antigen affinity purified
Host Rabbit
Clonality Polyclonal (rabbit origin)
Isotype Rabbit IgG
Purity Antigen affinity chromatography
Buffer Lyophilized from 1X PBS with 2% Trehalose
UniProt Q9UJM8
Applications Western Blot : 1-2ug/ml
Immunohistochemistry (FFPE) : 2-5ug/ml
Flow Cytometry : 1-3ug/million cells
ELISA : 0.1-0.5ug/ml
Limitations This Hydroxyacid oxidase 1 antibody is available for research use only.
Review this product on BioCompare and get a $20 Amazon gift card

Description

Hydroxyacid oxidase (glycolate oxidase) 1 is a protein that in humans is encoded by the HAO1 gene. This gene is one of three related genes that have 2-hydroxyacid oxidase activity yet differ in encoded protein amino acid sequence, tissue expression and substrate preference. Subcellular location of the encoded protein is the peroxisome. Specifically, this gene is expressed primarily in liver and pancreas and the encoded protein is most active on glycolate, a two-carbon substrate. The protein is also active on 2-hydroxy fatty acids. The transcript detected at high levels in pancreas may represent an alternatively spliced form or the use of a multiple near-consensus upstream polyadenylation site.

Application Notes

Optimal dilution of the Hydroxyacid oxidase 1 antibody should be determined by the researcher.

Immunogen

An E.coli-derived human recombinant protein (amino acids K48-I370) was used as the immunogen for the Hydroxyacid oxidase 1 antibody.

Storage

After reconstitution, the Hydroxyacid oxidase 1 Antibody can be stored for up to one month at 4oC. For long-term, aliquot and store at -20oC. Avoid repeated freezing and thawing.

Cross
Bulk Quote Request Form
Name*:
Organization*:
Email*:
Phone Number*:
Catalog No.*:
Comments and Specifics(amount, formulation, etc.)*:
Validation code: Captchapackage Image


Can't read the image? click here to refresh.
    *required field

Your bulk quote request has been submitted successfully!

Please contact us if you have any questions.