• Tel: 858.663.9055
  • SeparatorEmail: info@nsjbio.com
  • Tel: 858.663.9055
  • Email: info@nsjbio.com
Home >> Antibodies >> hUPF2 Antibody / RENT2

hUPF2 Antibody / RENT2 (RQ6694)

  Catalog No Formulation Size Price (USD)  
Image RQ6694 0.5mg/ml if reconstituted with 0.2ml sterile DI water 100 ug 449
Bulk quote request
Immunofluorescent staining of FFPE human A431 cells with hUPF2 antibody (green) and DAPI nuclear stain (blue). HIER: steam section in pH6 citrate buffer for 20 min.
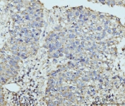
IHC staining of FFPE human appendiceal adenocarcinoma tissue with hUPF2 antibody. HIER: boil tissue sections in pH8 EDTA for 20 min and allow to cool before testing.
IHC staining of FFPE human liver cancer tissue with hUPF2 antibody. HIER: boil tissue sections in pH8 EDTA for 20 min and allow to cool before testing.
Western blot testing of human 1) MCF7, 2) Raji and 3) ThP-1 cell lysate with hUPF2 antibody. Predicted molecular weight ~148 kDa.
Flow cytometry testing of human A549 cells with hUPF2 antibody at 1ug/million cells (blocked with goat sera); Red=cells alone, Green=isotype control, Blue= hUPF2 antibody.
Availability 1-3 business days
Species Reactivity Human
Format Antigen affinity purified
Host Rabbit
Clonality Polyclonal (rabbit origin)
Isotype Rabbit IgG
Purity Antigen affinity purified
Buffer Lyophilized from 1X PBS with 2% Trehalose
UniProt Q9HAU5
Localization Cytoplasmic
Applications Western Blot : 1-2ug/ml
Immunohistochemistry (FFPE) : 2-5ug/ml
Flow Cytometry : 1-3ug/million cells
Immunofluorescence : 5ug/ml
Direct ELISA : 0.1-0.5ug/ml
Limitations This hUPF2 antibody is available for research use only.
Review this product on BioCompare and get a $20 Amazon gift card

Description

Regulator of nonsense transcripts 2 is a protein that in humans is encoded by the UPF2 gene. This gene encodes a protein that is part of a post-splicing multiprotein complex involved in both mRNA nuclear export and mRNA surveillance. mRNA surveillance detects exported mRNAs with truncated open reading frames and initiates nonsense-mediated mRNA decay (NMD). When translation ends upstream from the last exon-exon junction, this triggers NMD to degrade mRNAs containing premature stop codons. This protein is located in the perinuclear area. It interacts with translation release factors and the proteins that are functional homologs of yeast Upf1p and Upf3p. Two splice variants have been found for this gene; both variants encode the same protein.

Application Notes

Optimal dilution of the hUPF2 antibody should be determined by the researcher.

Immunogen

Recombinant human protein (amino acids K200-H651) was used as the immunogen for the hUPF2 antibody.

Storage

After reconstitution, the hUPF2 antibody can be stored for up to one month at 4oC. For long-term, aliquot and store at -20oC. Avoid repeated freezing and thawing.

Cross
Bulk Quote Request Form
Name*:
Organization*:
Email*:
Phone Number*:
Catalog No.*:
Comments and Specifics(amount, formulation, etc.)*:
Validation code: Captchapackage Image


Can't read the image? click here to refresh.
    *required field

Your bulk quote request has been submitted successfully!

Please contact us if you have any questions.