• Tel: 858.663.9055
  • SeparatorEmail: info@nsjbio.com
  • Tel: 858.663.9055
  • Email: info@nsjbio.com
Home >> Antibodies >> Human IgG Antibody / IGHG1

Human IgG Antibody / IGHG1 [clone ABHF-9] (RQ4980)

  Catalog No Formulation Size Price (USD)  
Image RQ4980 Antibody in PBS with 0.02% sodium azide, 50% glycerol and 0.4-0.5mg/ml BSA 100 ul 449
Microvalidated Rab Mono Image
Bulk quote request
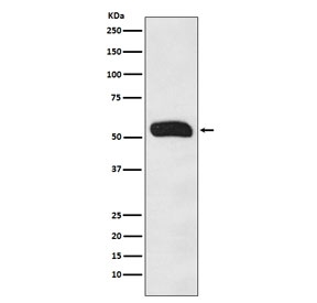
Western blot testing of human plasma lysate with Human IgG antibody. Predicted molecular weight ~50 kDa.
Availability 1-2 weeks
Species Reactivity Human
Format Purified
Host Rabbit
Clonality Rabbit Monoclonal
Isotype Rabbit IgG
Clone Name ABHF-9
Purity Affinity purified
UniProt P01857
Applications Western Blot : 1:500-1:2000
Limitations This Human IgG antibody is available for research use only.
Review this product on BioCompare and get a $20 Amazon gift card

Related Products

Description

Immunoglobulins, also known as antibodies, are membrane-bound or secreted glycoproteins produced by B lymphocytes. In the recognition phase of humoral immunity, the membrane-bound immunoglobulins serve as receptors which, upon binding of a specific antigen, trigger the clonal expansion and differentiation of B lymphocytes into immunoglobulins-secreting plasma cells. [UniProt]

Application Notes

Optimal dilution of the Human IgG antibody should be determined by the researcher.

Immunogen

A synthetic peptide specific to Human IgG / IGHG1 was used as the immunogen for the Human IgG antibody.

Storage

Store the Human IgG antibody at -20oC.

Cross
Bulk Quote Request Form
Name*:
Organization*:
Email*:
Phone Number*:
Catalog No.*:
Comments and Specifics(amount, formulation, etc.)*:
Validation code: Captchapackage Image


Can't read the image? click here to refresh.
    *required field

Your bulk quote request has been submitted successfully!

Please contact us if you have any questions.