• Tel: 858.663.9055
  • SeparatorEmail: info@nsjbio.com
  • Tel: 858.663.9055
  • Email: info@nsjbio.com
Home >> Antibodies >> Human IgD Antibody Clone IgD26 / Immunoglobulin D Antibody

Human IgD Antibody Clone IgD26 / Immunoglobulin D Antibody [clone IgD26] (V7860)

  Catalog No Formulation Size Price (USD)  
Image V7860-100UG 0.2 mg/ml in 1X PBS with 0.1 mg/ml BSA (US sourced) and 0.05% sodium azide 100 ug 559
Image
V7860-20UG 0.2 mg/ml in 1X PBS with 0.1 mg/ml BSA (US sourced) and 0.05% sodium azide 20 ug 259
Image
V7860SAF-100UG 1 mg/ml in 1X PBS; BSA free, sodium azide free 100 ug 559
Bulk quote request
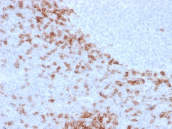
Human IgD Antibody Clone IgD26 immunohistochemistry analysis of human lymph node tissue. Formalin-fixed paraffin-embedded human lymph node tissue stained with Human IgD Antibody Clone IgD26 shows HRP-DAB brown chromogenic staining in B lymphocytes within lymphoid follicles. Positive cells are concentrated in mantle zone regions surrounding germinal centers and display membranous and cytoplasmic staining consistent with Immunoglobulin D expression in mature naive B lymphocytes. Heat induced epitope retrieval was performed by boiling tissue sections in pH 9 10mM Tris with 1mM EDTA for 10-20 minutes followed by cooling prior to antibody incubation.
SDS-PAGE analysis of purified, BSA-free IgD antibody (clone IgD26) as confirmation of integrity and purity.
Availability 1-3 business days
Species Reactivity Human
Format Purified
Host Mouse
Clonality Monoclonal (mouse origin)
Isotype Mouse IgG1, kappa
Clone Name IgD26
Purity Protein G affinity chromatography
UniProt P01880
Applications Immunohistochemistry (FFPE) : 1-2ug/ml
Limitations This human IgD antibody is available for research use only.
Review this product on BioCompare and get a $20 Amazon gift card

Related Products

Description

Immunoglobulin D (IgD) is an antibody isotype expressed primarily on the surface of mature naive B lymphocytes where it functions as part of the B cell receptor complex responsible for antigen recognition and immune activation. IgD is encoded by the IGHD gene and pairs with immunoglobulin light chains to form the membrane-bound receptor present on B cells. Human IgD Antibody Clone IgD26 recognizes Immunoglobulin D and enables detection of IgD-expressing B lymphocytes in research applications examining lymphoid tissues and humoral immune responses.

IgD belongs to the immunoglobulin superfamily and is composed of two delta heavy chains associated with two immunoglobulin light chains, forming a monomeric antibody molecule typical of most immunoglobulin classes. On mature B lymphocytes, membrane-bound IgD is commonly co-expressed with surface IgM and contributes to antigen receptor signaling. Engagement of the IgD-containing receptor complex activates intracellular pathways that regulate B cell activation, proliferation, and differentiation within the adaptive immune system.

In normal human tissues, IgD expression is most prominent in B lymphocytes located in secondary lymphoid organs such as tonsil, lymph node, and spleen. Within lymphoid follicles, IgD-positive B cells are typically enriched in mantle zone regions surrounding germinal centers, reflecting the presence of mature naive B cells prior to class-switch recombination. This characteristic distribution makes IgD immunostaining useful for identifying B cell subsets and evaluating follicular architecture in lymphoid tissues.

Detection of IgD expression can also support research into lymphoid malignancies and immune-related diseases. Immunoglobulin markers such as IgD are frequently used to study B cell lineage and differentiation status in lymphoid neoplasms including certain lymphomas and plasma cell disorders. Evaluation of IgD-positive cells can therefore provide insight into the organization and composition of immune cell populations in both normal and disease-associated tissues.

A mouse monoclonal IgD antibody such as clone IgD26 provides a useful reagent for detecting Immunoglobulin D in research applications focused on B cell biology and lymphoid tissue analysis. Staining patterns typically show membranous and cytoplasmic localization in B lymphocytes consistent with the distribution of IgD as a component of the B cell receptor complex.

Application Notes

Optimal dilution of the Human IgD Antibody Clone IgD26 should be determined by the researcher.

Immunogen

Full length recombinant human IGHD protein was used as the immunogen for the human IgD antibody IgD26.

Storage

Store the human IgD antibody at 2-8oC (with azide) or aliquot and store at -20oC or colder (without azide).

Alternate Names

Immunoglobulin D antibody, IgD antibody, IGHD antibody, IgD heavy chain antibody

Cross
Bulk Quote Request Form
Name*:
Organization*:
Email*:
Phone Number*:
Catalog No.*:
Comments and Specifics(amount, formulation, etc.)*:
Validation code: Captchapackage Image


Can't read the image? click here to refresh.
    *required field

Your bulk quote request has been submitted successfully!

Please contact us if you have any questions.