• Tel: 858.663.9055
  • SeparatorEmail: info@nsjbio.com
  • Tel: 858.663.9055
  • Email: info@nsjbio.com
Home >> Antibodies >> HtrA3 Antibody

HtrA3 Antibody (F54667)

  Catalog No Formulation Size Price (USD)  
Image F54667-0.4ML In 1X PBS, pH 7.4, with 0.09% sodium azide 0.4 ml 429
Image
F54667-0.08ML In 1X PBS, pH 7.4, with 0.09% sodium azide 0.08 ml 199
Bulk quote request
Western blot testing of rat testis lysate with HtrA3 antibody. Predicted molecular weight ~49 kDa.
Western blot testing of human heart lysate with HtrA3 antibody. Predicted molecular weight ~49 kDa.
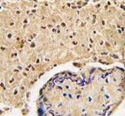
IHC testing of FFPE human placental tissue with HtrA3 antibody. HIER: steam section in pH6 citrate buffer for 20 min and allow to cool prior to staining.
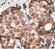
IHC testing of FFPE human breast cancer tissue with HtrA3 antibody. HIER: steam section in pH6 citrate buffer for 20 min and allow to cool prior to staining.
Availability 1-3 business days
Species Reactivity Human, Rat
Format Purified
Clonality Polyclonal (rabbit origin)
Isotype Rabbit Ig
Purity Purified
UniProt P83110
Localization Nuclear, cytoplasmic
Applications Immunohistochemistry (FFPE) : 1:25
Western Blot : 1:500-1:2000
Limitations This HtrA3 antibody is available for research use only.
Review this product on BioCompare and get a $20 Amazon gift card

Related Products

  • Applications : WB
    Reactivity : Human

Description

Insulin-like growth factors (IGFs) stimulate the proliferation and differentiation of a vast number of cell types. The action of the growth factors is mediated and controlled by a complex system of components, including several proteases that cleave the IGF-Binding Proteins. HtrA1 is a 480 aa protein that contains an N-terminus homologous to MAC25 (IGFBP7) with a conserved Kazal-type serine protease inhibitor motif, as well as a C-terminal PDZ domain. Semiquantitative RT-PCR and immunoblot analyses showed an approximately 7-fold increase of PRSS11 in osteoarthritis cartilage compared with controls. HTRA2 is released from mitochondria and inhibits the function of XIAP by direct binding in a way similar to SMAC. Moreover, when overexpressed extramitochondrially, HTRA2 induced atypical cell death, which was neither accompanied by a significant increase in caspase activity nor inhibited by caspase inhibitors, including XIAP. A catalytically inactive mutant of HTRA2, however, did not induce cell death. Suzuki et al. (2001) concluded that HTRA2 is a SMAC-like inhibitor of IAP (inhibitor of apoptosis proteins) activity with a serine protease-dependent cell death-inducing activity.

Application Notes

The stated application concentrations are suggested starting points. Titration of the HtrA3 antibody may be required due to differences in protocols and secondary/substrate sensitivity.

Immunogen

A portion of amino acids 112-144 from the human protein was used as the immunogen for the HtrA3 antibody.

Storage

Aliquot the HtrA3 antibody and store frozen at -20oC or colder. Avoid repeated freeze-thaw cycles.

Cross
Bulk Quote Request Form
Name*:
Organization*:
Email*:
Phone Number*:
Catalog No.*:
Comments and Specifics(amount, formulation, etc.)*:
Validation code: Captchapackage Image


Can't read the image? click here to refresh.
    *required field

Your bulk quote request has been submitted successfully!

Please contact us if you have any questions.