• Tel: 858.663.9055
  • SeparatorEmail: info@nsjbio.com
  • Tel: 858.663.9055
  • Email: info@nsjbio.com
Home >> Antibodies >> HTR3E Antibody / 5-hydroxytryptamine receptor 3E

HTR3E Antibody / 5-hydroxytryptamine receptor 3E (FY12377)

  Catalog No Formulation Size Price (USD)  
Image FY12377 Adding 0.2 ml of distilled water will yield a concentration of 500 ug/ml 100 ug 449
Bulk quote request
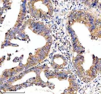
Immunohistochemical staining of HTR3E using anti-HTR3E antibody. HTR3E was detected in a paraffin-embedded section of human colon cancer tissue. Heat mediated antigen retrieval was performed in EDTA buffer (pH 8.0, epitope retrieval solution). The tissue section was blocked with 10% goat serum. The tissue section was then incubated with 2 ug/ml rabbit anti-HTR3E antibody overnight at 4oC. Peroxidase Conjugated Goat Anti-rabbit IgG was used as secondary antibody and incubated for 30 minutes at 37oC. The tissue section was developed using an HRP secondary and DAB substrate.
Western blot analysis of HTR3E using anti-HTR3E antibody. Electrophoresis was performed on a 10% SDS-PAGE gel at 80V (Stacking gel) / 120V (Resolving gel) for 2 hours. Lane 1: rat PC-12 whole cell lysates, Lane 2: mouse RAW264.7 whole cell lysates. After electrophoresis, proteins were transferred to a nitrocellulose membrane at 150 mA for 50-90 minutes. Blocked the membrane with 5% non-fat milk/TBS for 1.5 hour at RT. The membrane was incubated with rabbit anti-HTR3E antibody at 0.5 ug/ml overnight at 4oC, then washed with TBS-0.1%Tween 3 times with 5 minutes each and probed with a goat anti-rabbit IgG-HRP secondary antibody at a dilution of 1:5000 for 1.5 hour at RT. The signal was developed using an ECL Plus Western Blotting Substrate. The expected molecular weight of HTR3E is ~51 kDa.
Availability 1-2 days
Species Reactivity Human, Mouse, Rat
Format Lyophilized
Host Rabbit
Clonality Polyclonal (rabbit origin)
Isotype Rabbit IgG
Purity Immunogen affinity purified
Buffer Each vial contains 4 mg Trehalose, 0.9 mg NaCl, 0.2 mg Na2HPO4.
UniProt A5X5Y0
Localization Cytoplasm, cell membrane
Applications Western Blot : 0.25-0.5ug/ml
Immunohistochemistry : 2-5ug/ml
ELISA : 0.1-0.5ug/ml
Limitations This HTR3E antibody is available for research use only.
Review this product on BioCompare and get a $20 Amazon gift card

Description

The HTR3E antibody targets 5-hydroxytryptamine receptor 3E, a serotonin receptor subunit encoded by the HTR3E gene. This protein belongs to the ligand-gated ion channel family and contributes to the formation of functional 5-HT3 receptor complexes that mediate fast excitatory neurotransmission in the central and peripheral nervous systems. 5-hydroxytryptamine receptor 3E does not form functional homopentamers by itself but modulates receptor properties when co-assembled with other 5-HT3 subunits such as HTR3A. The HTR3E antibody allows researchers to study this modulatory subunit's expression, localization, and physiological roles in serotonergic signaling.

5-hydroxytryptamine receptor 3E influences the biophysical and pharmacological characteristics of heteromeric 5-HT3 receptors. Its inclusion in the receptor complex alters ion conductance, ligand sensitivity, and desensitization kinetics. The HTR3E antibody supports detection of this subunit in intestinal epithelium, brainstem, and enteric neurons, where serotonergic signaling regulates motility, secretion, and sensory transmission. Expression in the gastrointestinal tract suggests a potential role in visceral sensory modulation and nausea control.

Polymorphisms in the HTR3E gene have been linked to irritable bowel syndrome, functional dyspepsia, and other serotonin-related gastrointestinal disorders. The HTR3E antibody facilitates analysis of protein expression in these contexts, helping to clarify the molecular basis of serotonin receptor diversity and disease susceptibility. In the nervous system, 5-hydroxytryptamine receptor 3E expression may fine-tune synaptic activity and contribute to central processing of nausea, anxiety, and emesis. Detection using the HTR3E antibody supports studies on how receptor composition affects neurotransmission and pharmacologic responses to 5-HT3 antagonists used in antiemetic therapy.

Beyond physiology, aberrant expression of 5-hydroxytryptamine receptor 3E has been observed in some cancers, suggesting roles in tumor cell signaling and proliferation. The HTR3E antibody allows evaluation of receptor expression in tumor tissues and cultured cells, supporting research into serotonin-mediated growth regulation. Functional studies continue to explore how HTR3E variants influence receptor pharmacodynamics and sensitivity to drugs such as ondansetron and granisetron.

The HTR3E antibody performs effectively in western blotting, immunofluorescence, and immunohistochemistry. It provides clear membrane and cytoplasmic staining consistent with receptor localization. NSJ Bioreagents provides this antibody with validated specificity and reproducibility for research into serotonergic neurotransmission, gastrointestinal physiology, and receptor pharmacology. By enabling detailed examination of 5-hydroxytryptamine receptor 3E expression and function, the HTR3E antibody advances understanding of serotonin receptor biology and its relevance to neural and digestive system disorders.

Application Notes

Optimal dilution of the HTR3E antibody should be determined by the researcher.

Immunogen

E.coli-derived human HTR3E recombinant protein (Position: V26-R229) was used as the immunogen for the HTR3E antibody.

Storage

After reconstitution, the HTR3E antibody can be stored for up to one month at 4oC. For long-term, aliquot and store at -20oC. Avoid repeated freezing and thawing.

Cross
Bulk Quote Request Form
Name*:
Organization*:
Email*:
Phone Number*:
Catalog No.*:
Comments and Specifics(amount, formulation, etc.)*:
Validation code: Captchapackage Image


Can't read the image? click here to refresh.
    *required field

Your bulk quote request has been submitted successfully!

Please contact us if you have any questions.