• Tel: 858.663.9055
  • SeparatorEmail: info@nsjbio.com
  • Tel: 858.663.9055
  • Email: info@nsjbio.com
Home >> Antibodies >> HSV1 Antibody Rabbit Polyclonal / Herpes Simplex Virus Type I

HSV1 Antibody Rabbit Polyclonal / Herpes Simplex Virus Type I (V8341)

  Catalog No Formulation Size Price (USD)  
Image V8341-100UG 0.2 mg/ml in 1X PBS with 0.1 mg/ml BSA (US sourced) and 0.05% sodium azide 100 ug 559
Image
V8341-20UG 0.2 mg/ml in 1X PBS with 0.1 mg/ml BSA (US sourced) and 0.05% sodium azide 20 ug 259
Image
V8341SAF-100UG 1 mg/ml in 1X PBS; BSA free, sodium azide free 100 ug 559
Bulk quote request
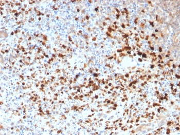
Immunohistochemistry of HSV1 antibody in human cervix tissue. FFPE human cervix sections were subjected to heat-induced epitope retrieval by boiling in pH 9, 10 mM Tris with 1 mM EDTA for 10-20 minutes followed by cooling at room temperature for 20 minutes. The rabbit polyclonal HSV1 antibody was used as the detecting antibody. HRP-DAB brown staining is observed in scattered epithelial and stromal cells, with signal localized predominantly to the nucleus and cytoplasm of positive cells, while surrounding cells show minimal background staining. The staining pattern is consistent with Herpes simplex virus type 1 antigen expression in cervix tissue.
SDS-PAGE analysis of purified, BSA-free HSV1 antibody as confirmation of integrity and purity.
Availability 1-3 business days
Species Reactivity HSV1 (Herpes Simplex Virus 1)
Format Purified
Host Rabbit
Clonality Polyclonal (rabbit origin)
Isotype Rabbit IgG
Purity Protein A affinity chromatography
Localization Nuclear, cytoplasmic
Applications Immunohistochemistry (FFPE) : 1-2ug/ml
Limitations This HSV1 antibody is available for research use only.
Review this product on BioCompare and get a $20 Amazon gift card

Related Products

Description

HSV1 antibody recognizes Herpes simplex virus type 1, an enveloped double stranded DNA virus belonging to the Alphaherpesvirinae subfamily of the Herpesviridae family. HSV1 antibody, also referred to as Herpes simplex virus 1 antibody and HSV-1 antibody in the literature, detects viral proteins expressed during active replication and reactivation. HSV-1 is a neurotropic virus that establishes lifelong latency in sensory ganglia following primary epithelial infection.

After infecting oral and facial mucosal cells, Herpes simplex virus type 1 replicates within the nucleus, producing immediate early, early, and late viral proteins required for genome replication and virion assembly. The virus subsequently enters sensory neurons and travels retrograde to the trigeminal ganglia, where it persists in a latent episomal state. Reactivation results in renewed viral protein synthesis and transport back to peripheral tissues, leading to recurrent lesions. Detection of HSV-1 antigen expression is therefore important for studying both lytic infection and latency models.

The HSV-1 genome encodes multiple structural and regulatory proteins, including envelope glycoproteins such as gB, gC, gD, and gE. Viral proteins may localize to the nucleus or cytoplasm depending on the stage of infection. Because this antibody is produced as a Rabbit Polyclonal reagent, it can recognize multiple viral epitopes, which may enhance sensitivity when detecting diverse or partially processed viral protein forms in infected cells.

HSV-1 infection is associated with orolabial lesions, keratitis, encephalitis, and complications in immunocompromised individuals. In research settings, HSV-1 is widely used as a model system for studying viral latency, neuronal tropism, immune evasion mechanisms, and antiviral therapeutic strategies. An HSV1 antibody supports investigations into viral replication dynamics, host-pathogen interactions, and viral protein expression patterns in infected tissues.

This HSV1 antibody is suitable for research applications focused on viral detection, infection modeling, and molecular analysis of Herpes simplex virus type 1 biology.

Application Notes

Optimal dilution of the HSV1 antibody should be determined by the researcher.

Immunogen

Detergent-solubilized herpes simplex virus (HSV) type 1 infected cells were used as the immunogen for the HSV1 antibody.

Storage

Store the HSV1 antibody at 2-8oC (with azide) or aliquot and store at -20oC or colder (without azide).

Cross
Bulk Quote Request Form
Name*:
Organization*:
Email*:
Phone Number*:
Catalog No.*:
Comments and Specifics(amount, formulation, etc.)*:
Validation code: Captchapackage Image


Can't read the image? click here to refresh.
    *required field

Your bulk quote request has been submitted successfully!

Please contact us if you have any questions.